文章最后更新时间:2024-08-12 20:02:30,由春晓健康网负责审核发布,若内容或图片失效,请留言反馈!
EGFR基因突变的肺腺癌抗癌成功案例
提到非小细胞肺癌的EGFR突变,大家首先想到的可能是“常见”、“疗效好”等描述。事实上,对于大部分EGFR突变的非小细胞肺癌患者来说靶向治疗的效果确实如此,但也仍然有一小部分患者,很难得到最好的治疗。
除了EGFR外显子19缺失(ex19del)和外显子21 L858R替换以外的EGFR突变都被定义为“罕见突变”,其中约一半为外显子20插入,也就是我们经常提到的ex20ins。在这类突变的患者当中,接受现有的EGFR抑制剂、包括其中的第三代药物奥希替尼治疗,仅有极少量患者能够获益。
这一次,基因药物汇将主要为大家讲述这一类“难治”的EGFR亚型的常用治疗方案。在今天的案例当中,一位“幸运儿”通过奥希替尼治疗缓解,另一位患者则是尝试了针对ex20ins突变的新药,同样长期缓解。
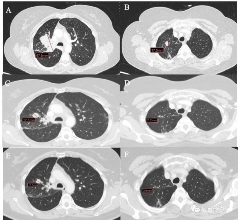
罕见突变"幸运儿",完全缓解超过2年
一位64岁的女性,有吸烟史(30包年),最初于2016年1月确诊为Ⅱb期肺腺癌。这位患者接受了右上肺叶切除手术,接受了顺铂+长春瑞滨的辅助化疗,但于2018年11月复发。
此时的基因检测结果提示,患者的常见EGFR突变、ROS1以及ALK均为阴性,但存在一种不常见的EGFR突变(外显子 20 D770 N771 insG)。患者要求接受不良事件风险低的治疗方案,最后选择了奥希替尼治疗。
患者从2019年2月开始用药,至2019年5月几乎达到了完全缓解。至2021年5月最后随访时,患者仍然没有任何进展的迹象!

新药挽救生命,疗效持续超过8个月
另一位49岁的女性患者,罹患Ⅳ期肺腺癌,且测试存在EGFR ex20ins阳性,为EGFR P772_H773insPNP和TP53共突变。
患者从2018年7月开始接受卡铂+培美曲塞治疗,4个周期后继续使用培美曲塞维持治疗1年。至2019年7月患者复查CT时发现肺部和淋巴结进展,于是接受了Amivantamab(JNJ-6372,JNJ-61186372)的治疗,再次达到临床缓解,持续了9个月。
至2020年5月,患者出现了严重的背痛症状,CT检查显示骨骼与淋巴结进展。患者接受了姑息性放疗,以及多西他赛+尼达尼布(Nintedanib)方案治疗,但提示了疾病进展。
此后患者接受了Mobocertinib(TAK-788)的临床试验,达到了临床缓解,症状显著改善。至结果发布时,患者的疗效已经持续了超过8个月。

"续命"两个多月,就满足了吗
EGFR阳性的转移性非小细胞肺癌患者,不论是否是敏感EGFR突变,能够选择的方案无非也就这么几类:第一、二代EGFR抑制剂,第三代EGFR抑制剂,化疗,抗血管生成抑制剂方案,PD-1抑制剂方案。除此以外,新药当中的EGFR/c-MET“双抗”,以及一些新结构的EGFR抑制剂等,属于获取难度稍微大一些的新方案,普及性尚不够高。
但是这些方案,对于非敏感EGFR突变的患者来说疗效又如何呢?
在非敏感EGFR突变当中,大约50%左右(部分统计研究结果)为EGFR外显子20插入(ex20ins)突变。以ex20ins突变为例。这部分突变的患者接受阿法替尼(一款第二代EGFR抑制剂)治疗,整体缓解率8.7%,中位无进展生存期2.7个月;中国的现实世界研究结果也显示,患者接受各代EGFR抑制剂治疗的中位缓解持续时间为2.9个月,甚至不如化疗的6.4个月。
只有极少数EGFR ex20ins亚型的病例报道,患者能够从靶向治疗当中获益。例如,一名携带EGFR A767_S768insSVA的患者,接受阿法替尼治疗,维持了25个月的疾病稳定;一名携带EGFR A767delinsASVD的患者接受阿法替尼治疗,达到了部分缓解,无进展生存7.4个月;一名携带EGFR S768_D770dup的患者对奥希替尼治疗有响应,无进展生存超过5个月;一名EGFR ex20ins(N771delinsKG)的患者,接受阿法替尼治疗,无进展生存10个月……
但对于超过半数的ex20ins患者来说,靶向治疗方案的效果,仅仅是“续命”了两个多月。
两个多月的无进展生存,就足够了吗?
一些新药、新方案的问世,扭转了这样的困境。
有想尝试新药新疗法的患者可以联系在线客服了解更多更详细的情况。





发表评论