文章最后更新时间:2024-08-12 20:02:19,由春晓健康网负责审核发布,若内容或图片失效,请留言反馈!
肺癌kras基因突变怎么治疗,四大KRAS抑制剂来"救命"了
5年前,每当我们看到众多病友们发来的基因检测报告中出现的KRAS靶点,只能遗憾的告诉大家,新药正在研发中,很多病友在绝望的等待中离去....
如今,病友们激动的说,基因检测找到KRAS突变就像是中了彩票,大量的KRAS抑制剂研发成功,纷纷问世,给这些曾经预后极差的患者带来了新的希望!
KRAS曾是最臭名昭著的靶点的之一!近两年,众多新药的问世,打破了KRAS靶点不可成药的魔咒,40年无药可医的“铁树”终于“开了花”!更值得一提的是,除了美国的抗癌新药,国内也有众多的kras抑制剂取得了重大突破,众多曾经处在绝望中的肺癌患者接受全新的药物治疗方案后病灶消退,重新回到了正常生活!
一、5周快速起效!首款KRAS抑制剂AMG-510让晚期肺癌患者完全缓解
“Laurie Seligman依然觉得自己基因检测找到KRAS突变就像是中了彩票。

“如果不是基因检测,我就不会服用这种药物””
61岁的Laurie Seligman 在2018年1月确诊为 3a 期非小细胞肺癌,她接受了多轮化疗和放疗,随后接受了免疫检查点抑制剂 Imfinzi (德瓦鲁单抗维持治疗),幸运的是,Laurie接受治疗后病情得到了缓解。
2020年9月,Laurie的复查显示锁骨淋巴结有转移,这意味着她的病情进展了,她决定做基因检测。幸运的是,Laurie竟然存在 KRAS G12C 突变。
“我很兴奋,因为我对 KRAS 有所了解。听说是G12C亚型,感觉中了彩票!” 她说。
Laurie找到美国非常知名的莫菲特癌症中心专家做了会诊,这位专家带来更大的喜讯,他们正在进行的一项新药临床实验正在招募KRAS G12C 突变类型的晚期非小细胞肺癌患者。
2021年5月,Laurie参加了这款名为 sotorasib (大名鼎鼎的AMG510)的分子靶向治疗剂的临床实验。而就在她做临床试验的检测准备时,2021年5月29日,FDA批准sotorasib 震撼上市!同时,这款药物也有了自己的大名--Lumakras。
Laurie兴奋的说,“再一次,我感觉就像中了彩票!因为我免费的接受了首款上市的KRAS靶向药的治疗!”
2021 年 6 月底Laurie开始服用 Lumakras。
“我的咳嗽似乎在短短两天内就好了,但我以为是心理作用。”她不相信这款药物这么神奇,但两周后,她的咳嗽真的消失了。“很长时间以来,我都无法正常的说话,一直在喘气或剧烈的咳嗽。”
5周后的第一次影像扫描显示肺部肿瘤的大小显着减小。2022年1月,在第三次复查时,医生兴奋的告诉她:“你对这种药物产生了完全的反应!”这意味着,她战胜了Ⅳ期肺癌。
Laurie激动的说“我还是不敢相信,一年前,我的预后很糟糕,现在我正在缓解。我知道这款药物可能随时停止工作。但我知道,未来还会有更多药物-正在临床试验中的药物,会给我全新的选择。”
上面的药物就是大名鼎鼎的AMG-510(Sotorasib,索托拉西布),这款药物经过了30年的心血,终于在2013年被研发成功,成为全球首款进入临床试验,针对KRAS突变有效的“革命性”抗癌药。
2021年5月29日,这款药物获得FDA批准,震撼上市!同时,这款药物也有了自己的大名--Lumakras。原文链接:里程碑!全球首款KRAS靶向药AMG-510(Sotorasib)震撼上市!
二、让晚期肺癌患者重回正常生活!全球第2款KRAS抑制剂即将上市
“尽管还是一名肺癌患者,但他已经通过一款全新的药物回到了正常生活,在1,000 英亩的农场忙碌,照顾动物们。”
Dane和妻子Phyllis 住在美国一个小镇上,有一个农场经营,日子过得幸福安逸。
2018 年 2 月, Dane出现了严重的咳嗽,最终会被确诊为晚期非小细胞肺癌。Dane去了美国排名第一的MD安德森癌症中心接受治疗,化疗、免疫治疗后Dane的病情仍在进展,临床上已经没有更好的治疗方案。
MD安德森的专家为Dane进行了基因检测,发现竟然存在KRAS基因突变。幸运的是,MD安德森的医生告诉Dane,除了AMG-510,他们现在有了攻克这种突变的第2款新药--adagrasib(MRTX-849),Dane几乎是没有任何犹豫的参加了这款药物的临床试验。此后1年,Dane一直接受 MRTX-849的治疗。每次扫描,他都能看到自己的肿瘤大大减少。
Dane说,“除了现在年纪大了一点,我仍然能够做我在癌症之前所做的一切,打理农场,照顾动物们,我要看到我的孙子孙女长大。”
Dane接受治疗的这款在国际上备受瞩目的新型KRAS抑制剂adagrasib(阿达格拉西布,MRTX849),在已经公布的临床实验中显示出了强大的抗癌活性。
好消息是,第二款KRAS G12C抑制剂有望在2022年12月14日上市。更值得国内肺癌病友振奋的是,这款美国的抗癌“特药”已经同步在中国开启临床试验,加快在中国的上市步伐,中国KRAS患者终于等到了希望!
注:做了基因检测的病友可以拿出报告看看一旦存在KRAS突变,可以马上联系全球肿瘤医生网医学部看看是否有机会接受国内新药治疗,看不懂的病友也可以致电全球肿瘤医生网医学部解读报告,还没有进行基因检测的肺癌病友也要考虑出现这些新药靶点的可能,积极进行基因检测,获得更多的治疗机会!
三、90%以上患者肿瘤缩小,KRAS国研药D-1553强势出圈
“史上最难治靶点+脑转移怎么治?国研KRAS药物D-1553强势出圈”
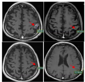
一位晚期肺癌脑转移的患者,脑部病灶已经有20.9mm大,基因检测存在KRAS g12c,接受最新国研药物D-1553治疗后,仅不到9周期,脑部的靶病灶就缩小了一半!

这款药物就是由益方生物自主开发的一款新型,高效口服的KRAS G12C抑制剂D-1553。最新的数据显示:接受各种剂量治疗的患者中,总客观缓解率(ORR )为37.8% (28/74) ,疾病控制率(DCR)高达91.9% (68/74)!这意味着超过90%的患者病灶有不同程度的缩小。
更值得振奋的是,D-1553已经正式在国内启动临床研究,针对KRAS G12c突变的各类实体瘤患者。如肠癌、胰腺癌、胆管癌、子宫内膜癌及卵巢癌都有很高的KRAS G12C突变率,甚至是已经接受过其他KRAS抑制剂治疗后耐药的患者,已有大量病友通过全球肿瘤医生网医学部申请成功入组。
四、疾病控制率100%!国研KRAS新药JAB21822带来新希望
JAB-21822是中国药业自主研发的 1 类小分子抗肿瘤药,开发用于治疗 KRAS G12C 突变的晚期实体瘤患者,有望成为潜在的同类最佳项目。2021年5月27日获得中国国家药品监督管理局药品审评中心批准在国内开展临床试验,目前已有大量KRAS G12C 突变的患者通过全球肿瘤医生网顺利入组。
在2022年ASCO大会上公布的最新数据显示,53位KRAS G12C 突变的实体瘤患者接受了不同剂量的JAB-21822治疗。
结果显示:在每日400毫克和每日800毫克的剂量组中,非小细胞肺癌患者的客观缓解率(ORR)和疾病控制率(DCR)分别是70%(7/10)和100%(10/10)。
铁树开花!KRAS肺癌患者终于有救了
随着过去十年更新的靶向疗法的出现,我们现在终于有了用靶向药物治疗 KRAS 突变的新选择。通过结合 KRAS 的直接抑制剂和下游抑制剂,该领域正在进入一个激动人心的创新临床试验时代,有可能改善这种突变患者的结果并提高其生存率。
好消息是,除了已上市和即将上市的KRAS抑制剂,我国的新药研发水平正以前所未有的速度迈向世界前列!针对KRAS突变的众多新药研发如均在如火如荼地进行当中,如D-15531、JAB-21822等给曾经无药可治的患者带来了春天,想寻求新方案及其他国内外治疗新技术帮助,且经济条件允许的情况下,可提交病历至全球肿瘤医生网医学部初步评估。希望这些国研新药早日获批,落地医保,造福更多国内的肺癌患者。
(注:请将基因检测报告,诊断报告电子版或拍照发送至doctor.huang@globecancer.com,邮件中留下联系方式,或直接致电医学部,医学部收到报告分析完毕后一个工作日内电话联系,为您全面分析检测报告,匹配能够入组的临床试验,以及有无新药可以使用)





发表评论