文章最后更新时间:2024-08-12 20:00:03,由春晓健康网负责审核发布,若内容或图片失效,请留言反馈!
想象把自己缩小到足够小来到细胞表面,你会发现这有些类似地球的表面。靠近表层的脂肪和脂质,像是草和灌木。蛋白质在高于灌木,像是橡树或棕榈。但是当你区分高大的蛋白质和低矮的脂质时,你会发现装饰这些分子的物质--糖。
癌细胞具有甜蜜的外表,在癌细胞外侧的表面蛋白糖链(图示为黄色)可以使肿瘤细胞免受免疫攻击,并使免疫系统变得恍惚迟钝。
如果蛋白质是树木,那么糖链就是从树枝上摇曳的苔藓,也可能是棕榈叶的大叶子。 斯坦福大学化学家Carolyn Bertozzi说:“细胞表面是糖。 “他们是病毒,细菌和其他细胞看到并接近目标细胞时首先触碰到的物质。”
附着于细胞表面蛋白质和脂质的糖通常具有精细的结构。 在这些结构中编码的信息有助于细胞识别彼此,并在几乎每个组织和器官系统中传递信息。 然而,与生命的其他构建模块相比,如蛋白质,脂质和核酸等- 糖的研究黯然失色。 Bertozzi说,大多数糖是如此复杂,许多科学家不了解基本生物学的能力。
不只是Bertozzi,她是一小群科学家中的一个,他们的职业生涯将毕生沉浸在对糖链的研究中。 他们的一些研究已经导致了对癌症治疗的新见解:操纵肿瘤细胞表面的糖有可能研发令人兴奋的新一类癌症药物。
目前关于抗击癌症的热点集中在免疫治疗 - 唤醒身体防御攻击肿瘤的药物。 这些疗法着重于阻断蛋白质相互作用,抑制免疫系统。 这种治疗帮助数千名一度无法无进展生存的癌症患者,包括前总统吉米·卡特,他在2015年和2016年接受了晚期黑素瘤治疗。
表面张力
癌细胞具有与免疫细胞相关的表面蛋白质和糖,以使免疫细胞对癌症的反应缓解。 目前的免疫治疗是阻止肿瘤细胞上的PD-L1蛋白(浅绿色)和T细胞上的PD-1蛋白(茶绿色)之间的相互作用,以唤醒免疫系统攻击肿瘤。 新的治疗方法可以靶向肿瘤上的唾液酸糖(橙色),阻止与天然杀伤细胞以及其他先天免疫细胞上的糖结合。

PD-1(茶绿色)是T细胞上的蛋白质。 如果肿瘤蛋白PD-L1(浅绿色)与其结合,则T细胞会放过肿瘤。
阻断肿瘤上的蛋白质或免疫细胞上的蛋白质,可以唤醒T细胞来攻击肿瘤。
唾液酸结合免疫球蛋白样凝集素家族(紫色)在免疫细胞上,如天然杀伤(NK)细胞。 如果唾液酸(橙色)结合Siglecs,NK细胞会无法识别肿瘤。
新的疗法可以通过修剪肿瘤表面的唾液酸或阻止Siglecs来唤醒自然杀伤(NK)细胞。
但是到目前为止,这些称为检查点抑制剂的药物只能对抗某些癌症,如黑素瘤,肾癌和非小细胞肺癌,而不是所有患者。并且,据估计仅有10%至20%的癌症患者有改善。
潜在新一代的免疫治疗旨在靶向细胞表面糖而不是蛋白质。研究人员希望这些新方法能够使唤醒免疫系统完全不同的部分来对抗癌症。目前的蛋白质靶向免疫治疗激活了杀伤T细胞--一部分具有侵入记忆和特定威胁能力的后天免疫系统。
另一方面,糖类靶向药物会唤醒先天免疫系统的细胞,如天然杀伤细胞,NK细胞和巨噬细胞。先天免疫细胞还有助于保护身体免受异物伤害,不论流感病毒或已癌变的细胞,先天免疫系统比T细胞更快地起作用,但是特异性反应较弱。这两个系统是互补的。
聪明的伪装
知道如何攻击需要免疫细胞来区分自身与异物的关系,而糖起着关键的作用。 一种称为唾液酸的表面糖,将身体的细胞标记为“自我”。唾液酸具有一系列生物功能 - 它们的作用至关重要。
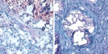
癌组织具有额外的糖(染色蓝色),其与天然杀伤细胞上的蛋白Siglec-9结合,并且使免疫反应停止。 左图显示乳腺癌组织; 右显示前列腺癌。
Bertozzi在“免疫学杂志”上发表了一篇论文,在这项研究中,研究人员将唾液酸从肿瘤细胞表面剥离后,发现自然杀伤细胞起效并攻击癌症。对研究人员而言,这种联系是惊人的:唾液酸似乎可以保护肿瘤免受免疫系统的损害。
不可预测的多样性
Varki说,糖区分肿瘤与正常细胞的表面分子的能力远远超出蛋白质。 所以你会认为他们是更容易研发药物的目标。 但事实上麻烦的是糖
比蛋白质难以研究。

合成唾液酸(绿色)粘附到癌细胞的表面,为研究人员提供了一种测试调节糖水平对免疫细胞活性的影响的方法。
糖是生物世界的“黑暗物质”,Varki说。 他们“影响一切,但几乎没有人研究他们”。
另一个检查点
为了进一步研究问题,糖如唾液酸只是肿瘤细胞表面条形码的一部分。 其他成分如蛋白质也会告诉免疫细胞是否进行攻击或继续前进。 好消息是,目前的免疫治疗通过破坏某些蛋白质来唤醒免疫细胞以抵抗癌症。 Bertozzi和其他人认为他们可以应用类似的策略来靶向细胞表面的糖。
基于蛋白质的免疫治疗通过使免疫细胞上的细胞“关闭”开关失效起作用。 一次切换涉及在T细胞表面上称为PD-1的蛋白质。 当PD-1锁定在肿瘤细胞上的蛋白质PD-L1上时,T细胞被关闭,不再攻击癌细胞。
Siglecs对PD-1起着相似的作用,但主要是天然杀伤细胞和巨噬细胞而不是T细胞。肿瘤细胞上的唾液酸就像PD-L1一样工作。正如现有的免疫治疗药物阻断PD-1一样,可以想象设计新的治疗方法来阻止Siglecs,使得先天免疫细胞不会被关闭。
但是阻止太多免疫系统的关闭开关可能是危险的。他们有一个重要的工作:防止可能触发自身免疫性疾病的过度T细胞活动。
只要肿瘤细胞穿着厚厚的唾液酸,免疫细胞就不会碰它了。 “如果你可以脱掉那些糖,免疫系统可以看到癌细胞真正的东西。
Bertozzi说,很可能其他的糖也形成屏障来屏蔽肿瘤细胞免受免疫攻击。将这些见解转化为实际的治疗方法,将需要生物学家深入研究。Bertozzi:“我们正在进入这一阶段。”
这篇文章出现在2017年4月1日的“科学新闻”杂志上。





发表评论