文章最后更新时间:2024-08-12 19:50:28,由春晓健康网负责审核发布,若内容或图片失效,请留言反馈!
但对于复发性,转移性或持续性宫颈癌,想要达到好的治疗 效果并不容易。在晚期阶段,宫颈癌的化疗效果不佳,很少能达到持久的缓解或无进展生存。
目前,研究人员认为LN-145--自 体肿瘤浸润淋巴细胞(TIL)研究疗法是一种值得期待的疗法。可能是复发,转移或持续性难治性宫颈癌患者的潜在治疗选择。宫颈癌的传统一线治疗方法是手术或铂类化疗,联合或不联合放疗,但当患者进展时,往往没有很好的治疗方案。
如果FDA批准,TIL治疗可能是另 一种治疗选择。目前为患者做的其他一切都是为了缓解,通常只是为了延长患者的生命。
完全消退!宫颈癌患者接受TIL疗法完全缓解!
在美国国立卫生研究院(NIH) 领导的研究中,TIL治疗产生持久的反应,包括转移性宫颈癌的完全消退。该研究中有9名女性中有3名有响应,包括2名完整响应(CR)和1名部分回应。客观反应率为33%,在NIH的试验中,没有发生与细胞输注有关的毒性发生。
一名患有转移性鳞状细胞癌并接 受了多种联合化疗方案,包括顺铂,长春新碱和博来霉素,然后用吉西他滨加顺铂联合放疗。随后发现转移,包括主动脉旁,双侧肺门,颅下和髂骨部位(图1A和1C)。治疗后,她在所有疾病部位都完全消退(图1A和1C)。
另一患者患有转移性腺癌。她的 原发性肿瘤对化放疗无效。随后转移到更多的腹膜后淋巴结和肝脏表面,在TIL治疗前,她在腹膜后,腹壁,旁系,肝旁和盆腔部位有肿瘤进展(图1B和1d)。在治疗后,出现完全的临床缓解(图1B和1d)。
LN-145在转移性或复发性宫颈癌患者中的应用
目前,一项II期多中心研究正在 评估TILs(LN-145)对宫颈或宫颈腺癌复发或转移性鳞状细胞癌患者的安全性和有效性(NCT03108495)。
LN-145是一种过继性细胞转移免 疫疗法,与其他细胞免疫疗法不同,TILs疗法不是从患者血液中提取免疫细胞,而是从患者切除的肿瘤中提取T细胞并扩增,随后回输到患者体内。
TIL由T淋巴细胞组成,可识别并 杀死患者的癌细胞。而研究人员认为,取自肿瘤的淋巴细胞更具杀伤癌细胞的活性,因为它们更可能与自体肿瘤细胞反应。然而,免疫抑制性肿瘤微环境限制了它们的数量和活性,降低了它们有效攻击癌细胞的能力.将更有效的TIL供应LN-145注入患者体内,可 以激活对肿瘤细胞的防御。
什么是肿瘤浸润淋巴细胞及工作原理
过继性T细胞疗法--TIL细胞疗法 是由免疫界泰斗Rosenberg及其团队开创的新方法。
资料显示,老爷爷今年已经78岁 了,是世界著名的癌症学和免疫学专家。
Rosenberg认为,癌细胞入侵时 ,自身的免疫系统会试图打败体内蔓延的肿瘤。
过去三十年间,他和他的团队一 直在致力做一件事情:如何发现并放大“打败”工作做得最好的那部分免疫系统细胞。
TIL(Tumorinfiltrating lymphocytes)指肿瘤浸润的淋巴细胞。在手术切除的肿瘤组织中,大部分是肿瘤细胞,也有少部分淋巴细胞。这些淋巴细胞中有部分是针对肿瘤特异性突变抗原的T细胞,是能够杀伤肿瘤细胞的,但是由于一些原因(比如肿瘤微环境和PD-1),他们的功能受到了抑 制,不能在肿瘤组织中有效的杀伤肿瘤细胞。但是,科学家通过一些体外培养方法把这些肿瘤组织中的某类型的淋巴细胞富集起来,再回输给患者,就能够发挥抗肿瘤作用,而且联合PD-1效果会更好。
研究团队确定患者病例中特定的 突变后,利用突变信息找到能够最有效瞄准这些突变的T细胞,最后提取出专门患者肿瘤中细胞突变的T细胞。
这些免疫细胞经过体外培养后, 重新注入到患者体内。同时,研究团队联合使用了免疫增强药物白细胞介素2和另一种“明星抗癌药”PD-1抑制剂Keytruda,Keytruda即属于另一种免疫疗法免疫检查点阻断,在某些癌症中有显著的效果。
基于上述操作过程,该新疗法被 认为是为患者“量身定制”。
在该试验中研究的肿瘤浸润淋巴 细胞(TIL)疗法是一种名为LN-145的研究性免疫疗法。
TIL来自患者自身的免疫细胞, 称为淋巴细胞,特别是T淋巴细胞,可识别并可能杀死患者自身的癌细胞。这些细胞中有一些可以进入并穿透现有的癌性肿瘤,被称为肿瘤浸润性淋巴细胞(TIL)。然而,由于各种原因,癌性肿瘤的免疫抑制环境限制了它们的数量和活性,这降低了它们有效攻 击癌症的能力。
在该临床试验中研究的TIL疗法 (LN-145)是通过从患者体内取出的癌性肿瘤样本中分离出患者自身发生的TIL而得到的。在从肿瘤中提取TIL后,将它们在实验室中倍增,直到获得数十亿的TIL。在收到TIL之前,患者接受预处理疗法以减少患者体内残留的癌症的免疫抑制环境。然后通过静脉 内输注。患者在TIL输注后立即接受多达6剂白细胞介素2(IL-2),来支持患者体内TIL的生长和激活。
流程:手术切除肿瘤。
- 从肿瘤样本提取TIL,在三周内扩增产生数十亿的TIL。
- 患者开始一周的预处理治疗以准备接受TIL。
- TIL产品作为一次性疗法施用,随后施用多达6个剂量的IL-2以支持患者体内TIL疗法 的生长和活化。
宫颈肿瘤的数据显示,TILs数量 较多的患者的5年生存率增加。
TIL疗法在其他癌症中的应用
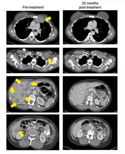
晚期乳腺癌接受治疗22个月后,这名患者的肿瘤(黄色箭头)消失得无影无踪
(图片来源:《Nature Medicine》)
转移性结直肠癌患者肿瘤患者经过TIL细胞疗法治疗后,7个肺部的转移灶在几周后都变小乃至消失!
研究中的主要结果
晚期胆管癌肝转移的患者,术后出现双肺多发转移,经过TIL细胞疗法治疗后已经被临床无进展生存了!
免疫肿瘤学的潜力刚刚开始实现。 揭开更多的冰山将会更加详细地了解如何控制免疫反应,以及将将这些治疗手段用于临床获得益处。每天我们能看到更多的进展,我们相信这 种治疗方法将在未来几年取得重大突破,让我们共同期待。
参考资料:
https://www.onclive.com/sponsored/til-therapy-may-provide-secondline-option-for-cervical-cancer?log=f
cancer.gov/about- cancer/treatment/types/targeted-therapies/targeted-therapies-fact-sheet





发表评论