文章最后更新时间:2024-08-12 19:48:50,由春晓健康网负责审核发布,若内容或图片失效,请留言反馈!
细胞免疫疗法,免疫细胞疗法,细胞免疫疗法治疗,肿瘤细胞免疫疗法,什么是细胞免疫疗法
乳腺癌细胞免疫疗法治疗案例
2018年6月《自然》子刊《Nature Medicine》刊登了美国国立癌症研究所(NCI)的Steven A. Rosenberg教授的一项重磅研究。一名罹患晚期转移性乳腺癌的患者,在经过自身免疫细胞的治疗后,全身的肿瘤竟消失得无影无踪!这也是T细胞免疫疗法首次成功应用于晚期乳腺癌!
这位49岁的女性乳腺癌患者,已经发展到了晚期阶段,对多种疗法都产生了耐受。在这种无药可治、无计可施的状态下,患者参与了这项细胞疗法的临床试验。研究人员们先对她的肿瘤进行了测序,并在乳腺癌细胞里找到了62种不同的突变。然后,研究人员们在她的肿瘤里寻找肿瘤浸润性、能识别肿瘤特异抗原的T细胞。

分离出这些T细胞后,研究人员立刻开始分析,免疫细胞能否识别这名乳腺癌患者的特有突变。分析的结果并不是很乐观。在62种突变里,这些T细胞仅能识别其中4种。科学家们对它们进行大量扩增,再输回到患者体内。在扩增T细胞的期间,这名患者也用上了免疫检查点抑制剂,将免疫系统的状态调整至 。

图片来源:《Nature Medicine》
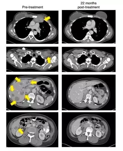
当900亿个免疫细胞被输入患者体内后,奇迹出现了。6个月后,患者的肿瘤突变负荷锐减一半。22个月后,借助影像学观察,所有肿瘤都消失了!

▲22个月后,这名患者的肿瘤(黄色箭头)消失得无影无踪(图片来源:《Nature Medicine》)
近年来,美国、日本和德国等医疗水平领先的国家,都在癌症细胞免疫治疗方面取得了突破性的进展!
什么是细胞免疫治疗
细胞免疫治疗疗法,是通过采集人体自身免疫细胞,经过体外培养,使其数量成千倍增多,靶向性杀伤功能增强,然后再回输到人体来杀灭血液及组织中的病原体、癌细胞、突变的细胞,打破免疫耐受,激活和增强机体的免疫能力,兼顾治疗和保健的双重功效。细胞因子诱导的杀伤细胞(CIK)疗法、树突状细胞(DC)疗法、API生物免疫治疗、DC+CIK细胞疗法、自然杀伤细胞(NK)疗法和DC-T细胞疗法等。
生物细胞免疫治疗的四大优势
1. 运用正常人赖以生存而肿瘤患者表达较低的生物细胞因子调动机体自身的免疫力量达到抗肿瘤作用,与放疗和化疗相比,副作用很小;
2. 通过主动免疫能够激发全身性的抗肿瘤效应,作用范围更加广泛,特别适用于多发病灶或有广泛转移的恶性肿瘤;
3. 采用分子靶向药物进行治疗,目标明确,对肿瘤细胞以外的正常细胞无影响,对不宜进行手术的中晚期肿瘤患者,能够明显遏制肿瘤的进展,延长患者生命。
4. 联合手术、放疗、化疗等治疗方式,可以更为精准地消除残余肿瘤细胞,防止癌症的复发和转移,提升患者生存质量,同时延长生存期。
细胞免疫治疗的适应症有哪些
(1).手术后患者,可防止肿瘤转移复发;
(2).无法进行手术、放疗、化疗的中晚期患者;
(3).放疗、化疗失败的患者;
(4).放疗或化疗后患者的综合治疗;
(5).骨髓移植后或化疗缓解后的白血病患者;
(6).癌性胸、腹腔积液患者。
生物细胞免疫治疗的禁忌症
(1).孕妇或者正在哺乳的妇女;
(2).T细胞淋巴瘤患者;
(3).不可控制的严重感染患者;
(4).对IL-2等生物制品过敏的患者;
(5).艾滋病患者;
(6).晚期肿瘤造成的恶病质、外周血象过低患者。
想进一步了解抗癌新药资讯或申请专家咨询及加入医患交流群,可在线咨询或者拨打电话()进行咨询。





发表评论