文章最后更新时间:2024-08-12 19:48:10,由春晓健康网负责审核发布,若内容或图片失效,请留言反馈!
肿瘤浸润淋巴细胞TIL细胞治疗,TIL细胞疗法,TIL细胞免疫治疗,TIL细胞免疫疗法
什么是肿瘤浸润淋巴细胞
在癌症的早期阶段,免疫系统试图通过动员淋巴细胞的特殊免疫细胞来攻击肿瘤。淋巴细胞具有识别和攻击肿瘤流量的能力,并深入肿瘤。这些细胞被称为肿瘤浸润淋巴细胞(TIL),是由免疫界泰斗Rosenberg及其团队发现的。
肿瘤浸润淋巴细胞的抗癌原理是什么
Rosenberg认为在手术切除的肿瘤组织中,大部分是肿瘤细胞,也有少部分淋巴细胞。这些淋巴细胞中有部分是针对肿瘤特异性突变抗原的T细胞,是深入到敌军内部打击能力最强的免疫细胞,但是由于一些原因(比如肿瘤微环境和PD-1),他们的功能受到了抑制,不能在肿瘤组织中有效的杀伤肿瘤细胞。但是,科学家通过一些体外培养方法把这些肿瘤组织中的某类型的淋巴细胞富集起来,再回输给患者,就能够发挥抗肿瘤作用,而且联合PD-1效果会更好。
癌症抑制和逃避的终极解决方案--TIL技术
TIL技术治疗各类癌症的效果究竟如何?
01、黑色素瘤
高度突变的黑素瘤肿瘤是免疫治疗的 目标。C-144-01是一项2期临床试验,招募已被诊断患有IIIc期或IV期转移性黑色素瘤的患者。患者必须接受至少一次全身治疗,包括免疫检查点抑制剂,如果BRAF突变阳性,则必须接BRAF抑制剂。
该临床试验旨在确定TIL治疗疗法LN-144是否安全有效地治疗转移性黑色素瘤(帮助患者延长寿命和/或减缓癌症进展)。
在报道的66例晚期黑色素瘤患者的试验中,结果显示肿瘤体积减少了81%,包括2例完全缓解,23例部分缓解和28例病情稳定。更引人注目的是,患有PD-L1阴性的患者也有响应,这说明对免疫检查点抑制剂无效的患者仍能获益于TIL疗法。

02、头颈鳞状细胞癌
C-145-03是2期临床试验,招募患有复发性和/或转移性HNSCC的患者,其已接受至少一种先前的全身免疫疗法和/或化学治疗的治疗。
初步数据显示,试验中的8名患者中有3名患者的肿瘤大小减少了30%。
03、宫颈癌
第二阶段innovaTIL-04(C-145-04)积极的试验的数据,摘要数据显示,晚期宫颈癌患者的TIL治疗总体反应率(ORR)为44%。
在2019年2月4日的数据截止时,有27名可评估的患者。
结果显示:
44%(12名)的患者有效果,包括1名完全应答,9名部分应答和2个未确认的部分应答;
疾病控制率为89%;
中位随访时间为3.5个月,12例患者中有11例持续应答;
没有任何严重的副作用发生。
值得振奋的是,基于此临床试验的惊艳数据,FDA批准LN-145用于晚期宫颈癌突破性治疗,因为,在化疗期间或之后进展的宫颈癌患者的治疗选择有限,之前报道的晚期宫颈癌化疗或免疫治疗二线治疗的应答率仅在4%-14%之间。而这款新型的非常安全的细胞免疫疗法为晚期宫颈癌患者带来了44%的应答率,并且在一些患者中表现出持久的应答效果,研究人员表示这种治疗方式可以实现长期疾病控制的希望。希望这款疗法能尽快获批上市。
04、实体肿瘤
IOV-COM-202是一项2期临床试验,招募已被诊断为组织学证实的不可切除或转移性黑色素瘤(队列1),头颈部复发或转移性鳞状细胞癌(队列2),或复发或转移的患者非小细胞肺癌(队列3)。
临床试验旨在确定Iovance研究性TIL治疗(LN-144 / LN-145)是否安全有效地治疗不可切除/转移性黑色素瘤,复发/转移性HNSCC和NSCLC(帮助患者活得更长和/或更慢降低癌症进展),暂未公布临床结果。
TIL技术的治疗流程

新鲜肿瘤组织通过手术从患者体内分离。
肿瘤样本被运送到GMP设施,在那里TIL被分离并繁殖,在三周内产生数十亿TIL。
患者开始一周的预处理治疗以准备接受TIL.TIL产品作为一次性疗法施用,
患者在TIL输注后立即接受多达6剂白细胞介素2(IL-2),来支持患者体内TIL的生长和激活。
研究团队首先会确定患者病例中特定的突变,之后利用突变信息找到能够最有效瞄准这些突变的T细胞,最后提取出专门患者肿瘤中细胞突变的T细胞。
这些免疫细胞经过体外培养后,重新注入到患者体内。同时,研究团队联合使用了免疫增强药物白细胞介素2和另一种“明星抗癌药”PD-1抑制剂Keytruda,Keytruda即属于另一种免疫疗法免疫检查点阻断,在某些癌症中有显著的效果。基于上述操作过程,该新疗法被认为是为患者“量身定制”。

该研究的治疗流程(图片来源:《Nature Medicine》)
TIL疗法治疗案例
01、宫颈癌
在美国国立卫生研究院(NIH)领导的研究中,TIL治疗产生持久的反应,包括转移性宫颈癌的完全消退!
一名患有转移性鳞状细胞癌并接受了多种联合化疗方案,包括顺铂,长春新碱和博来霉素,然后用吉西他滨加顺铂联合放疗。随后发现转移,包括主动脉旁,双侧肺门,颅下和髂骨部位(图1A和1C)。治疗后,她在所有疾病部位都完全消退(图1A和1C)。
另一患者患有转移性腺癌。她的原发性肿瘤对化放疗无效。随后转移到更多的腹膜后淋巴结和肝脏表面,在TIL治疗前,她在腹膜后,腹壁,旁系,肝旁和盆腔部位有肿瘤进展(图1B和1d)。在治疗后,出现完全的临床缓解(图1B和1d)。

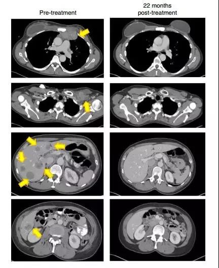
02、乳腺癌
《自然医学》在线发表的研究:一位乳腺癌晚期患者已对其他治疗无反应,经过TIL免疫治疗后病灶竟奇迹般完全消除了,这是T细胞免疫疗法首次成功应用于晚期乳腺癌。

22个月后,这名患者的肿瘤(黄色箭头)消失得无影无踪(图片来源:《Nature Medicine》)
03、结直肠癌
转移性结直肠癌患者肿瘤患者经过TIL细胞疗法治疗后,7个肺部的转移灶在几周后都变小乃至消失!

04、胆管癌
晚期胆管癌肝转移的患者,术后出现双肺多发转移,经过TIL细胞疗法治疗后已经被临床无进展生存了!

如何接受TILs细胞免疫治疗
最后,要告诉大家的好消息是,FDA已经授予肿瘤浸润淋巴细胞(TIL)治疗方法LN-145为突破性的治疗指定,这是用于实体瘤的细胞免疫疗法首次获此殊荣,相信距离上市也仅是时间问题,一旦FDA批准,这将是首款用于实体瘤的细胞免疫疗法,将给癌症患者带来巨大的生存获益,让我们拭目以待。疾病控制率89%!首个迎战实体瘤的细胞免疫疗法获FDA突破性疗法称号!
免疫肿瘤学的潜力刚刚开始实现。揭开更多的冰山将会更加详细地了解如何控制免疫反应,以及将将这些治疗手段用于临床获得益处。每天我们能看到更多的进展,我们相信这种治疗方法将在未来几年取得重大突破,让我们共同期待。
目前,这款新型的免疫疗法暂未上市,但在全球范围内开展了多项针对各类实体肿瘤(非小细胞肺癌,结直肠癌,卵巢癌,黑色素瘤...)的临床试验,想参加的患者可以登录全球肿瘤医生网医学部咨询入组信息()。





发表评论