文章最后更新时间:2024-08-12 19:45:08,由春晓健康网负责审核发布,若内容或图片失效,请留言反馈!
免费基因检测,肿瘤基因检测,癌症基因检测,NTRK基因融合检测面向全国患者招募两类癌症患者
提到基因检测,人们想到的靶点或许还停留在EGFR,ALK,BRAC...
自从2018年,全球首款不限癌种的靶向药-拉罗替尼上市以来,又一个“钻石”靶点基因-NTRK迅速的火遍了癌友圈。
之所以称它“钻石”基因,首先是因为它非常罕见,在中国常见的肺癌,乳腺癌,结直肠癌中,只有1%~5%的患者存在这种突变,而一些罕见的癌症,比如婴儿纤维肉瘤和分泌型乳腺癌,存在NTRK融合的频率却高达90%~100%。其次,这款药物对所有存在NTRK融合突变的患者通常都能快速起效,很多晚期患者在使用拉罗替尼后得到了重生,像钻石一样罕见又珍贵。
90~100%的两类癌症存在“钻石”突变
如果说拉罗替尼是一把锁,NTRK基因就是打开这把锁的“生命之钥”,只要有NTRK的融合,相当于是获得免死金牌,打开了通往无进展生存之路的大门。
有两类癌症可谓是不幸中的万幸,能够拿到这把“生命之钥”!因为这种罕见的突变在100%的分泌性(MASC)唾液腺癌,和92%的分泌性乳腺癌中存在,这意味着,几乎所有的分泌性唾液腺癌和分泌性乳腺癌都存在这个突变,一旦检测结果为阳性,使用拉罗替尼治疗,就有希望达到很好的治疗效果!

扩散!免费基因检测,用“特药”的机会来啦
近日,一项针对NTRK融合的成人实体瘤新药临床试验在国内开始招募患者了,由于NTRK基因融合非常罕见,并且非常容易漏检。在此,我们特别面向全国共招募100名分泌性乳腺癌或分泌性唾液腺癌的患者,免费进行基因检测,一旦检测结果为NTRK为阳性,符合用药的入排标准,就有免费入组相关临床试验的机会!
免费临床试验
临床试验主要入选标准(部分):
1)年龄≥18周岁,性别不限;
2)经病理组织学和/或细胞学确诊的局部晚期或转移性恶性实体瘤患者,经标准治疗失败,或无标准治疗,或现阶段不适用标准治疗;(初治晚期患者可以考虑入组,现阶段治疗的患者停药洗脱的也可考虑)
3)既往检测存在NTRK基因融合突变;(NGS为主,FISH和IHC必须明确提到存在NTRK重排)
临床试验主要排除标准(部分):
1)首次使用研究药物前4周内接受过化疗、放疗、大分子靶向治疗、免疫治疗、内分泌治疗等系统性抗肿瘤治疗,除外以下几项:亚硝基脲或丝裂霉素C为首次使用研究药物前6周内,口服氟尿嘧啶类和小分子靶向药物为首次使用研究药物前2周或药物的5个半衰期内(以时间长的为准),有抗肿瘤适应症的中药为首次使用研究药物前2周内;
2)在首次使用研究药物前7天内使用过CYP3A4强抑制剂或者CYP3A4强诱导剂;
3)在首次使用研究药物前4周或已知的研究药物的5个半衰期(以时间短的为准)内接受过其它未上市的临床研究药物或治疗;
4)在首次使用研究药物前4周内接受过主要脏器外科手术(不包括穿刺活检)或出现过显著外伤,或需要在试验期间接受择期手术;
因此,做过基因检测的病友,可以将报告发送至全球肿瘤医生网医学部,我们的专家将为您全面分析检测报告,评估是否能够入组本项临床试验,以及有无新药可以使用。
招募流程:
1.将基因检测报告,诊断报告电子版或拍照发送至doctor.huang@globecancer.com,邮件中留下联系方式,医学部收到报告分析完毕后一个工作日内电话联系。
2.直接登录全球肿瘤医生网医学部咨询相关医生。
3.临床试验中心评估相关病历后联系患者是否能够入组。
免费基因检测
招募对象:
1.经病理组织学和/或细胞学确诊的分泌性乳腺癌;
2.经病理组织学和/或细胞学确诊的分泌性唾液腺癌;
招募名额:
共100名
招募时间:
2020年3月28日-2020年4月20
招募流程:
1.按要求提交组织切片,病理及血液相关检查报告,经医学部评估后符合要求的患者可进行检测;
2.患者将组织切片寄至临床招募中心指定的基因检测机构;
3.检测费用需患者先行垫付给基因检测机构。
如NTRK融合为阳性,成功入组NTRK相关临床试验后由临床试验中心审核后报销检测费用;
如NTRK融合为阴性,经临床招募中心评估后无法入组的患者,由临床试验中心报销检测费用,具体时间由临床试验中心决定。
4.以下情况除外:受试者检测结果为阳性,但其拒绝参加相关临床试验。
注:以上仅为部分招募条件,申请后均需医生仔细评估后判定是否适合。
关于“钻石”靶点--NTRK
NTRK(NeuroTrophin Receptor Kinase)是神经营养因子受体络氨酸激酶,包含NTRK1、NTRK2和NTRK3,这个基因如果和其他的基因发生了融合突变,那么就导致了异常的活性,驱动了肿瘤的发生,比如目前,婴儿纤维肉瘤,先天性中胚层肾病和分泌性乳腺癌都显示出ETV6-NTRK3融合,就是ETV6和NTRK3基因发生了融合,以及米歇尔的肿瘤中出现的TPM3-NTRK1,就是TPM3和NTRK1基因发生了融合。

关于这个靶点的治疗,近两年也是肿瘤领域的研发热点,除了拉罗替尼(Larotrectinib)是第一款FDA批准的不分年龄和癌种类型针对NTRK融合的广谱TRK抑制剂,还有2019年上市的恩曲替尼,以及针对一代LOXO-101耐药研发的二代NTRK抑制剂loxo-195,都是抑制酪氨酸激酶的活性!TRK家族蛋白是酪氨酸激酶,如果能抑制激酶活性,就能抑制癌症生长。
因此,想使用这些“无进展生存系”神药有个硬性条件,必须通过基因检测证实存在NTRK1、NTRK2或NTRK3融合基因的局部晚期或转移性恶性肿瘤。注意只能是融合,NTRK突变或扩增都不适合。
NTRK融合分泌性唾液腺癌治疗案例
2014年,61岁的Keith Taggart被诊断为罕见的唾液腺癌,在经历了多次手术之后,他的病情开始超乎想象的迅速进展,癌症开始在体内蔓延,CT显示肺,肝和肾中有肿瘤,他已经完全被癌症吞噬了。紧接着医生告诉他,他现在的第一选择是化疗,可以多活三四个星期。这意味着他的生存期只剩下一个月左右了,Keith第一次意识到自己和死神的距离这么近,他的意志瞬间被摧毁。
第二个选择是一项新的靶向药的临床试验,在成功入组后,Keith开始每天两次服用一种叫做Larotrectinib的靶向药,让人无法想象的是,仅仅4天后,Keith的颈部,面部和胸部的肿瘤缩小了大半,以至于他已经摸不到了。一个月后的CT扫描显示,除一个肿瘤外,其他所有肿瘤均消失。仅剩的那个也缩小了65%!并且随着时间的流逝,它不断缩小。现在他已经恢复健康。

前一秒即将吞没他的肿瘤,就像变魔术般被变走了。随后的两年,Keith的体内再未发现肿瘤。
NTRK融合分泌性乳腺癌治疗案例
分泌性乳腺癌是一种罕见的乳腺癌(BC)组织学亚型,具有独特的病理特征,通常属于三阴性乳腺癌谱图,但却有比较明确的基因突变特征。具体说来,在这种癌症的细胞中,染色体上有两个地方发生了互换,导致了两个基因的融合,产生了一个叫做ETV6-NTRK3的融合基因,这种基因突变是乳腺分泌性癌的特征之一。临床上对这种癌症的诊断通常就是通过组织病理检查和对ETV6-NTRK3融合基因的检测来进行的。
2018年11月,有一种新批准的抗癌药在美国获批上市,这种新型药物每年可以帮助成千上万的分泌性乳腺癌患者,它就是全球首个不区分肿瘤来源用于初始治疗的靶向药--Vitrakvi ®(拉罗替尼,larotrectinib,下文统称拉罗替尼)。
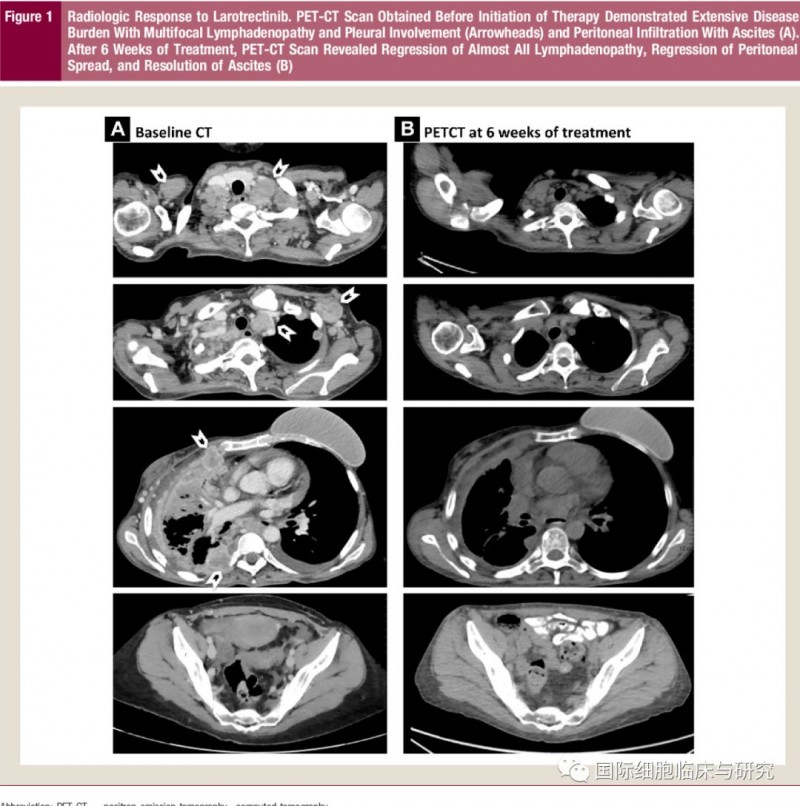
据《临床乳腺癌》杂志报道了一篇关于具有ETV6-NTRK3融合表达初次接受化疗的成人患者采用拉罗替尼治疗的临床研究,经6周治疗后患者PETCT显示肿瘤已消散大半。此外文章中还提及,乳腺分泌癌的肿瘤组织中超过90%的细胞都携带ETV6-NTRK3融合基因。所以,针对这种融合基因的靶向药物——拉罗替尼,对治疗分泌性乳腺癌有非常好的治疗效果。

图为患者治疗前CT及拉罗替尼治疗6周后PETCT对比图
NTRK融合基因突变患者的“无进展生存”之路
十年前,或许还没有几个人知道NTRK这个基因,即便有这个突变,医生也只能说,目前没有治疗价值。
没人能想到,在美国康涅狄格州斯坦福德,最初全职雇员只有13人的一个不起眼的小制药公司Loxo Oncology,研发出了如今震惊世界的广谱传奇抗癌药物LOXO-101。
这家公司从成立初期就以开发用于癌症治疗的小分子靶向药物新药为主,只不过当时知道NTRK,RET,BTK这些靶点的人寥寥无几。
而从2016年12月18日,Loxo oncology 公司的TRK抑制剂Larotrectinib(LOXO-101,拉罗替尼)首次在ESMO大会亚洲一期试验中展示对TRK融合肿瘤显示的持久抗肿瘤活性,就震惊了肿瘤界,这款药物最大的特点就是不限癌症种类,可以说对各类实体肿瘤都具有划时代的意义。
2018年11月,这款新药在万众期待下被FDA提前批准上市,也有了自己掷地有声的大名-VITRAKVI,用于治疗患有NTRK基因融合的局部晚期或转移性实体瘤的成人和儿童患者,改写了肿瘤治疗史。
同时,一款针对LOXO-101耐药的药物LOXO-195在临床试验中。
2019年8月,FDA批准恩曲替尼(Rozlytrek)治疗NTRK基因融合阳性的晚期复发实体瘤的成人和儿童患者,以及ROS1阳性非小细胞肺癌(NSCLC)患者。
未来,随着科技的进步,将有更多的药物研发出来,有NTRK融合的患者将有更多的治疗选择和“无进展生存”希望,我们期待中国也能自主研发这类抗癌特药,将会惠及到更多的中国老百姓。更期盼人类最终完全攻克癌症的那一天!
参考资料:https://www.royalmarsden.org/difference-you-make/drug-trial-transformed-charlottes-health
https://pulse.seattlechildrens.org/different-cancers-same-drug-new-trial-targets-common-genetic-pathway-in-tumors/
https://www.semanticscholar.org/paper/Rapid-Response-to-Larotrectinib-(LOXO%E2%80%90101)-in-an-Landman-Ilouze/be1f60e3cc370bd37ce3f9ac8bf534484dc345f3





发表评论