文章最后更新时间:2024-08-12 19:37:25,由春晓健康网负责审核发布,若内容或图片失效,请留言反馈!
第二代ROS1/NTRK双靶点药物Taletrectinib(AB-106、DS-6051b)中国数据燃爆2021年ASCO
近年来,靶向和免疫药物势如破竹的研发和上市,让肺癌的治疗步入了黄金时代。
在2021年6月7日的ASCO大会上,第二代广谱抗癌药Taletrectinib(DS-6051b / AB-106)公布了最新的用于ROS1融合阳性非小细胞肺癌患者的二期临床试验数据,引起了巨大的轰动。
疾病控制率100%!ROS1阳性非小细胞肺癌患者将迎来新希望
这项代号为TRUST的Ⅱ期临床研究是上海市肺科医院肿瘤科主任周彩存教授牵头,联合国内33家中心,旨在评估下一代ROS1抑制剂Taletrectinib治疗中国ROS1融合阳性NSCLC患者的有效性和安全性。因此,对于国内的患者来说意义重大!
而这项研究的惊艳数据也燃爆了ASCO!
截止2021年4月8日,共有15例未经过克唑替尼治疗和5例接受过克唑替尼治疗的ROS1融合阳性非小细胞肺癌患者进入TRUST试验组开展治疗,并接受过至少2次肿瘤评估(研究者评估),结果如下:
未经过克唑替尼治疗的患者中(n=15):客观缓解率(ORR)为93%(14/15),疾病控制率(DCR)为93%(14/15);

曾接受过克唑替尼治疗的患者(n=5):客观缓解率(ORR)为60%(3/5);疾病控制率(DCR)为100%(5/5)。5例患者中,3例患者ROS1 G2032R耐药突变阳性,且都有肿瘤缩小的表现;这意味着Taletrectinib能够有效的对抗一代ROS1抑制剂产生的耐药问题,给耐药的患者提供了全新的治疗选择。

Taletrectinib安全性可控,主要表现为胃肠道不良事件和可逆的AST、ALT升高。
(注:目前这项临床试验扔在招募中,做了基因检测的病友可以拿出报告看看,一旦存在ROS1融合,可以马上联系全球肿瘤医生网医学部4006667998申请是否有机会接受新药治疗,看不懂的病友也可以致电全球肿瘤医生网医学部解读报告。)

上海肺科医院肿瘤科主任周彩存教授
“Taletrectinib的安全性和疗效性数据为ROS1融合阳性的肺癌患者带来了希望。Taletrectinib在未经克唑替尼治疗的患者中所展现的疗效令人印象特别深刻,在经过克唑替尼治疗的患者中,尽管患者例数有限,但目前5例受试者都有获益表现。”值得一提的是,大会上还分享了两例患者的治疗案例,非常振奋人心:
1、强效抗脑转

一位49岁的男性患者,确诊为ROS1阳性非小细胞肺癌,既往接受了化疗和克唑替尼的治疗后病情进展,出现脑转移。接受Taletrectinib(600mg,QD)治疗后迅速出现响应,第6周的影像学检查显示脑部转移病灶明显缩小,达到部分缓解状态(PR)。
2、有效克服克唑替尼耐药

一位38岁的女士确诊为CD74-ROS1融合阳性非小细胞肺癌,之前接受过化疗和克唑替尼的治疗,但是出现了一种新的耐药突变ROS1 G2032,患者接受Taletrectinib(600mg,QD)治疗,在第7周时,肺部肿瘤迅速缩小,评效为部分缓解(PR),目前该患者仍在接受治疗中。
新一代ROS1/NTRK双靶点抑制剂Taletrectnib
Talectrectinib代号为DS-6051b/AB-106,是一款新型、有效、选择性高的下一代ROS1和NTRK双靶点小分子抑制剂,可穿越血脑屏障。
它长这个样子:

单看化学结构式并没有什么特别,然而这款新药在临床中却有非常显著的优势:
1、双靶点:对ROS1及NTRK1-3具有高效抑制作用;
2、安全性好,应答率高,有效持续时间长,带给病人更长的无疾病进展生存期;
3、对克唑替尼治疗失败的ROS1阳性非小细胞肺癌患者(主要耐药位点ROS1 G2032R同样具有高效抑制作用)及脑转移患者也有效;
4、不限癌种,有ROS1或NTRK融合突变就可适用,是新一代广谱抗癌药,有潜力与国际领先的上市明星产品Larotrectinib (拉罗替尼,LOXO-101)、Entrectinib (恩曲替尼, RXDX-101)及在研产品Repotrectinib (TPX-0005)相媲美。
非小细胞肺癌:
其中,有一名患有ROS1 + 的晚期非小细胞肺癌患者,在接受克唑替尼和色瑞替尼治疗后出现耐药并发生肝转移,基因检测后发现存在CD74-ROS1融合,每天接受一次1,200 mg taletrectinib的治疗后,患者达到部分缓解。

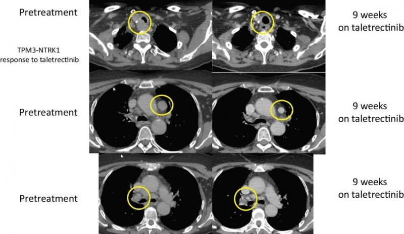
甲状腺癌:
另一位患者是晚期甲状腺癌,手术后接受了化学放疗,放射性I-131,索拉非尼,以及PD-1的临床试验,后经过Foundation One CDx检测到存在TPM3-NTRK1 融合,参加了taletrectinib的临床试验,截止到文献发表,这名幸运的患者持续缓解时间已经长达33.4个月,将近3年。

神经内分泌癌:
此外,在数据截止时,两名神经内分泌患者仍在接受治疗,一名患者已接受taletrectinib治疗,每日一次400 mg,持续47.2个月,将近四年!另一名患者接受800 mg,每天一次,持续41.4个月!
关于葆元医药
葆元生物医药科技(杭州)有限公司 (“葆元医药”) 是一家专注于开发新型肿瘤疗法的临床阶段生物医药公司。葆元医药总部位于中国杭州,在北京上海均设有办事处,并且在美国纽约设有一家子公司。葆元医药的管理团队在临床开发方面富有一系列成功经验,目前正在全球范围内开发三个临床阶段的肿瘤领域的管线。
好消息!Taletrectinib国内临床招募正式开始
目前,taletrectinib已经在日本和美国完成了1期临床试验,用于治疗含有ROS1或NTRK融合基因实体瘤患者。好消息是,2020年3月,该药在中国获得批准开展两项新的临床研究,针对携带ROS1融合基因的NSCLC,以及携带NTRK融合基因的不分瘤种的实体瘤患者的二期临床试验,这意味着,国内的患者也有机会免费接受国际抗癌新药的治疗。
试验题目:AB-106治疗携带ROS1融合基因的局部进展或全身转移的晚期非小细胞肺癌(NSCLC)的一项Ⅱ期、多中心、单臂、开放的研究
试验类型:单臂试验
试验分期:Ⅱ期
纳入标准(部分):
1、年龄≥18岁,男性或女性;
2、ECOG评分0~1分,预期生存期>6个月;
3、局部进展或全身转移性晚期非小细胞肺癌,Ⅲb期或Ⅲc期或Ⅳ期患者,ROS1突变阳性;
4、详细纳入及排除标准可咨询全球肿瘤医生网医学部。
申请流程:
需要申请临床试验的患者需将基因检测报告、病理报告提交至全球肿瘤医生网医学部进行初步评估,我们的专家将为您全面分析解读检测报告、推荐新药及用药方案,并匹配适合入组的临床试验项目。
注:请将基因检测报告、诊断报告电子版或清晰照片发送至doctor.huang@globecancer.com,邮件中留下联系方式,医学部收到报告分析完毕后一个工作日内电话联系。
需要提醒大家的是,即使是标准治疗方案失败,也可以尝试进行基因检测,一旦存在ROS1,NTRK1、NTRK2或者NTRK3基因融合,就可以尝试这些特效的广谱抗癌药。做过基因检测的病友,可以将报告发送至全球肿瘤医生网医学部申请,我们的专家将为您全面分析检测报告,匹配能够入组的临床试验,以及有无新药可以使用。
目前已经上市的多款广谱抗癌药:拉罗替尼,恩曲替尼,LOXO-292等仍在国内的招募仍在进行,由国内肿瘤领域权威的几家医院率先开展。以前这些美国研发上市的抗癌新药对于国内的患者来说遥不可及,近两年随着国家的重视,加快了各类抗癌药物研发上市的审批速度,让更多国外的新药好药,也能造福国内的癌症患者。希望这款药物能尽快在国内完成临床试验,顺利上市,造福患者。
参考资料:
https://www.prnasia.com/story/321333-1.shtml





发表评论