文章最后更新时间:2024-08-12 19:36:03,由春晓健康网负责审核发布,若内容或图片失效,请留言反馈!
给NK细胞装上"导航",CAR-NK细胞疗法直击胰腺癌、肺癌、结直肠癌的软肋
要说到肿瘤细胞免疫治疗界的扛把子,那非CAR-T疗法莫属!
CAR-T疗法虽好,但是对于大部分患者来说还是望尘莫及。且不说在美国其费用较为高昂,普通人家无法承受。另一个原因在于目前仅有血液肿瘤获批,实体瘤尚在早期研究中。
近两年来,除了CAR-T疗法备受万众瞩目外,另外一种新的癌症细胞疗法——自然杀伤(NK)细胞疗法也逐渐受到关注。研究人员说,NK细胞作为一种细胞抗癌疗法更具潜力,它可能会更安全、更便宜、更快速。
给NK细胞装上"弹头",CAR-NK杀伤力倍增
对于细胞免疫疗法发展比较成熟的血液肿瘤来说,实体瘤才应该是抗癌的“主战场”!虽说是主战场,但是细胞免疫疗法在广阔的实体瘤领域发展可谓是捉襟见肘,举步维艰。如2021年最新的全球癌症数据指出,约90%的癌症发病率都是由实体瘤引起,但关于实体瘤的细胞治疗临床试验却很少(实体瘤占40%,且大部分处于早期阶段)。为此,CAR-T细胞疗法取得的成功激发了人们对用CAR基因修饰NK细胞来增强其杀肿瘤能力的热情。
CAR-NK就是利用基因工程给NK细胞加入一个能识别肿瘤细胞,并且同时激活NK细胞杀死肿瘤细胞的嵌合抗体。2020年,CAR-NK免疫细胞治疗曾被权威学术期刊《自然-医学》纳入度生物医学领域的十代瞩目进展之一。

图为构建CAR-NK细胞免疫疗法的过程
CAR-NK细胞比CAR-T细胞具有多个优势
01、与CAR-T细胞不同,CAR-NK细胞保留了通过其天然受体识别和靶向肿瘤细胞的内在能力,从而通过CAR-NK靶向治疗时,肿瘤细胞能够逃脱杀伤的可能性降低。
02、CAR-NK细胞在数天至数周内不会发生免疫排斥反应。因此,它们在许多CAR-T临床试验中均未表现出相同的安全问题,例如没有细胞因子释放综合征的困扰。
03、NK细胞不需要严格的HLA匹配,并且没有引起移植物抗宿主病的潜力,这却是CAR-T细胞免疫疗法一种重要的风险。
想寻求NK细胞疗法或CAR-NK细胞疗法及其他国内外治疗新技术帮助,且经济条件允许的情况下,患者可以先将病历提交至无癌家园医学部进行初步评估。
大放异彩,CAR-NK疗法在实体瘤中的成就不容小觑
1、创新CAR-NK疗法FT536获FDA批准用于临床试验
2022年1月10日,Fate Therapeutics公司宣布,美国FDA已批准FT536的新药临床研究(IND)申请。FT536是一款经过多重工程修饰、诱导多能干细胞(iPSC)衍生的“即用型”嵌合抗原受体(CAR)自然杀伤(NK)细胞疗法。

FT536表达一种特异性靶向I类主要组织相容性复合体(MHC)相关蛋白A和B(MICA/MICB)α3结构域的新型CAR。
MICA和MICB属于应激蛋白,在许多实体瘤上高水平表达。癌细胞经常通过MICA/B的α1和α2结构域的蛋白水解脱落来逃逸免疫细胞识别。此前有研究发现,靶向MICA/B的α3结构域的抗体能够特异性地阻止MICA/B脱落,恢复NK细胞介导的免疫力。
此次FT536获批临床应用,表明MICA和MICB正在成为广泛的实体瘤中令人兴奋的癌症免疫疗法靶标,而FT536也代表了一种靶向这些应激诱导配体的新型治疗策略。关于此款疗法的多中心I期临床试验开展的肿瘤类型包括:晚期非小细胞肺癌、结直肠癌、头颈癌、胃癌、乳腺癌、卵巢癌和胰腺癌。
2、"现货型"CAR-NK疗法向"癌王"胰腺癌发起进攻
2022年1月6日,在国际胃肠病领域权威杂志《Gastroenterology》刊登了希望之城国家医学中心和细胞疗法创新公司CytoImmune Therapeutics合作开发的重磅研究,研究结果显示,以前列腺干细胞抗原(PSCA)为靶点的“现成”的CAR-NK疗法能够显著抑制胰腺癌。
这款被称为CYTO NK-203的治疗方法,是一种现成的同种异体 CAR-NK 细胞疗法,源自脐带血,并具有提高 NK 细胞安全性和杀伤功效的一种潜在的疗法。
CYTO NK-203在人类转移性胰腺癌小鼠模型中效果显著,在小鼠体内持续存活超过90天,显著延长其寿命,且未显示出治疗相关毒性,这项临床前研究支持该疗法在今年进入人体临床试验。
研究团队认为这种CAR-NK疗法对胰腺癌治疗充满希望,原因有两个:首先,该疗法基于精准医学方法,靶向胰腺癌患者的特殊靶点——PSCA;这是一种免疫疗法,使用工程化的人类自然杀伤细胞,被改造为专门攻击癌细胞。
此外,由于前列腺干细胞抗原(PSCA)在胃癌、前列腺癌中也同样高表达,因为这款CAR-NK细胞疗法同样对胃癌和前列腺癌的治疗充满希望。
3、国内首个"现货型"CAR-NK临床试验获药监局批准
2021年11月11日,国家药监局药品审评中心通过了一款我国自主研发的针对“晚期上皮性卵巢癌治疗的靶向间皮素(Mesothelin,MSLN)嵌合抗原受体NK细胞(CAR-NK)注射液”(简称:CAR-NK注射液)的临床试验申请。
据无癌家园获悉,此款产品是国内首例“现货型”异体来源的CAR-NK产品。这也标志着我国的免疫细胞药物治疗实体瘤的研究迈入了新的里程碑!

卵巢癌为妇科第二大肿瘤,有70%的卵巢癌患者被诊断时已是晚期。在过去的10年间,我国卵巢癌发病年龄越来越年轻,发病率增长30%,死亡率增加18%。其在妇科恶性肿瘤中5年生存率最低,仅为39%,5年复发率最高,达到70%。
尽管卵巢癌肿瘤细胞减灭术及以铂类为基础的术后化疗延长了患者生存期,但约60%患者接受一线化疗方案后会复发。目前除了PARP抑制剂能够满足30%~40%有基因突变的患者外,目前临床上没有更好的药物及疗法来满足临床需求。
此款CAR-NK疗法的研发有利于提高卵巢癌的治疗效果和改善患者生活质量。而且“现货型”的产品可进行标准化批量生产,从而扩大治疗机会,减少治疗成本,临床普及性较高。
物美价廉,NK-CAR-iPSC-NK 细胞有效击退卵巢癌
2018年6月18日,来自加利福尼亚大学圣地亚哥医学院(UCSD)和明尼苏达大学的研究人员在《Cell Stem Cell》发表了研究报告,他们研究出的一种名为NK-CAR-iPSC-NK细胞,可以说是物美价廉,不仅能有效地击退卵巢癌,同时还不会产生与CAR-T类似的毒副作用。
此次试验中研究人员利用基因改造工程,对体细胞导入外源基因强行把体细胞改造成了多能干细胞(iPSC)有了iPSC就相当于有了生产车间和原料,可以源源不断地批量生产NK细胞,也不用受限于单个患者,可以广泛使用。
但是光有了iPSC-NK细胞不足以打败癌细胞。NK细胞表面也有一个控制开关,一旦打开就会阻止NK细胞攻击其他细胞。癌细胞正是利用这点,一旦NK细胞来攻击它,就会打开开关,大大减弱了NK细胞的活力。
因此,研究人员找到了一种NK92细胞,它先天缺陷,没有这个开关。以它为基础,再装上特异性识别肿瘤的嵌合抗原受体CAR4,(GPS 2.0升级版)进一步加强了识别和杀伤癌细胞的能力。
随后,研究人员准备了一群卵巢癌异种移植的小鼠模型,准备测试CAR -NK细胞和其他版本的NK细胞以及CAR-T细胞的抗肿瘤活性和毒副作用。与其他版本的NK细胞相比,CAR-NK细胞简直是呈现出压倒性的优势。
【肿瘤负荷】 在为期49天的实验期间,注射CAR-NK细胞的四只小鼠体内的肿瘤负荷显著减小。在注射的第7天,第一只小鼠的肿瘤负荷几乎看不见。

图为各组小鼠各时间段肿瘤负荷情况比较
【存活率】 其他版本的NK细胞在第80天,甚至第40天的时候就出现了明显的下降。而CAR-NK细胞一直到第100天才消失殆尽。

图为各组小鼠细胞存活时间比较
【抗肿瘤活性】 与CAR-T细胞比较,CAR-NK细胞的抗肿瘤活性旗鼓相当。

图为各组小鼠各时间段抗肿瘤活性比较
4、采用靶向NKG2D的CAR-NK细胞治疗结直肠癌,安全且可行
在2020年一篇广州医科大学的硕士学位论文中,我国研究学者采用靶向NKG2D的CAR-NK细胞治疗结直肠癌患者,其初步疗效值得肯定,且具有安全性。
本研究中,采用局部输注 NKG2Dp CAR-NK的方式治疗了3 例转移性结直肠癌患者。前两例患者腹腔输注低剂量 CAR-NK 细胞后,可观察看腹水生成量减慢以及腹水样本中肿瘤细胞的数量急剧减少。第三例肝转移瘤患者采用超声引导下瘤内经皮注射和腹腔内灌注方式输注 CAR-NK细胞后,多普勒超声可见肝部肿瘤快速缩小,正电子发射断层扫描(PET-CT)提示经治疗的肝病灶为完全代谢反应。3 例患者在治疗过程中均无出现3级或以上的不良事件。

第3例患者多普勒超声成像显示局部注射 CAR-NK 细胞降低肝转移病灶肿瘤负荷

CAR-NK 细胞治疗后肝转移病灶 PEC-CT 结果对比图
(患者肝Ⅵ段的最大氟脱氧葡萄糖(FDG)摄取值从 8.2 降至 0.14,经评估为完全代谢缓解)
本项研究结果初步显示 NKG2D mRNA CAR-NK细胞局部输注治疗转移性结直肠癌患者具有安全性和可行性,为肿瘤免疫治疗提供了一种新的策略。
5、1年生存率翻一倍,CAR-NK疗法在实体瘤中疗效暴增
近期,《临床肿瘤研究》杂志发布了一项针对肺癌的2期临床试验。热休克蛋白70(Hsp70)在70%左右的中晚期肺癌中高表达,NK细胞在体外先用Hsp70激活,相当于在体外先让NK细胞与未来的敌人先遭遇、先“结仇”,然后回输给病人,让NK细胞在体内正式与癌细胞殊死搏斗——这样一种在体外先用抗原肽刺激、赋予NK细胞一定特异性的作法,是近年来研究的热点。
这项临床试验一共入组了16例III期非小细胞肺癌患者,一组接受传统的放化疗综合治疗,一组接受放化疗联合Hsp70预激的NK细胞回输治疗。
结果显示:Hsp70预激的NK细胞回输治疗,配合传统的放化疗,可以将1年的生存率从33%翻倍到67%,初步结果振奋人心。
接下来,小编展示联合疗法中一个典型的成功案例,如图所示:治疗1~2个月后复查,肺部肿瘤完全消失,并且疗效已经保持了18个月。

6、晚期非小细胞肺癌患者采用改良CAR-NK治疗后,肿瘤显著缩小
一项于2022年5月3日发表于《Cell Transplantation》上的研究中,报道了采用改良后的CAR-NK疗法治疗晚期非小细胞肺癌患者的病例分析。
国内研究者们首先在体外验证了CCCR-NK92细胞对肺癌细胞系的杀伤作用,最后,在人肺癌NOG小鼠皮下异种移植模型中进行了动物实验,用 CCCR-NK92 细胞处理的小鼠的肿瘤体积明显小于对照组,在实验小鼠中未观察到明显的毒副作用。
此后,他们设计了一项II期临床试验来评估CCCR-NK92 细胞疗法的疗效和安全性。
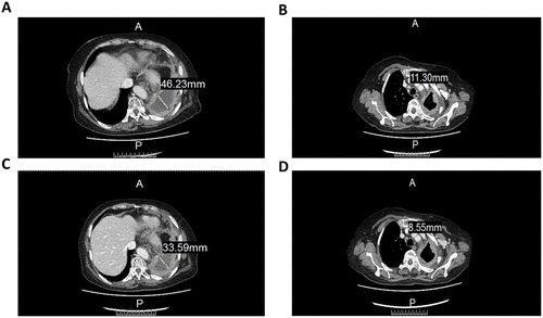
2017年2月2日,69岁的女性患者被确诊为非小细胞肺癌,影像结果显示颅内转移,而基因检测显示 Exon-19 19-del 突变和 T790 突变,以及肺组织中 PD-L1 表达≥1%。她第一次服用吉非替尼 3 个月。然而,由于疾病进展,她改用奥希替尼 10 个月。之后,她因颅内转移于 2018 年 7 月 13 日接受了头部放疗。3个月后给予靶向治疗药物和局部放疗,然后于2018年9月27日进行评估。她因害怕副作用拒绝化疗。考虑到她的条件合适,她参加了包含用于 NSCLC 的 CCCR-NK92 细胞的临床试验。
经3周期的治疗后,CT图像显示细胞疗法在治疗肿瘤方面具有一定的疗效。具体来说,左肺包裹的胸腔内液体从46.22mm减少到 33.59mm(图 2A ~2C),而前气管-后腔静脉间质区域的淋巴结从11.3mm减少到8.55mm(图2B~2D)。

7、CAR-NK细胞对于胶质母细胞瘤和神经母细胞瘤疗效颇佳
胶质母细胞瘤由于其高侵袭性和易转移性,是致死性原发性恶性肿瘤之一。神经母细胞瘤是一种神经内分泌肿瘤,是儿童最常见的颅外实体瘤。NK92细胞已被开发用于体外治疗胶质母细胞瘤和神经母细胞瘤。
研究表明,利用ErbB2(起源于与禽类骨髓红细胞增多症病毒有关的ERB-B基因)-CAR 或EGFR(表皮生长因子受体)-CAR修饰NK92细胞可治疗胶质母细胞瘤,GD2(二唾液酸神经节苷脂)-CAR-NK92细胞则被用于治疗神经母细胞瘤,均取得较好的疗效。
8、CAR-NK细胞特异性识别和高效杀伤乳腺癌肿瘤细胞
乳腺癌是女性最常见的癌症。使用CAR修饰的NK92细胞广泛用于乳腺癌免疫治疗,将为广大乳腺癌患者带来希望。
大量研究表明,用抗人表皮生长因子受体2(HER2)-CAR(CD28-CD3ζ)修饰的NK细胞和NK92细胞株均表现出特定的抗肿瘤活性,能够特异性识别且高效杀伤 HER2+的肿瘤细胞。
而EGFR-CAR-NK92细胞系配合溶瘤性单纯疱疹病毒1(oHSV-1)将有希望治疗癌细胞已转移至大脑的EGFR阳性乳腺癌。
CAR-NK细胞治疗前景广阔,未来可期
除了在抗癌方面的较强杀伤力外,大家可能鲜少知道在2020年新冠肺炎最初肆虐的时候,有研究利用CAR-NK细胞疗法开发治疗新冠肺炎,例如国内临床团队利用自行合作研制的、源于脐带血的 NKG2D-ACE2 CAR-NK在防治新冠肺炎上取得了积极的疗效。重庆市公共卫生医疗救治中心曾采用此疗法治疗5例新冠肺炎患者(危重型2例,普通型3例),已全部治愈出院。在治疗过程中,原有的发热、肺炎等临床症状能更快地缓解,同时继发感染也能得到较好的控制。
CAR-NK细胞疗法是一个很有前途的临床研究领域,对某些癌症患者具有良好的安全性和初步疗效。与CAR-T细胞相比,CAR-NK细胞具有自己独特的优点,但仍面临着一些挑战。这些挑战包括细胞增殖的改善,使细胞毒性的激活更有效,以及最终找到NK细胞的最佳重建方法。相信解决好这些问题,基于NK细胞优秀的抗肿瘤血统,极有可能在CAR修饰的武装下为肿瘤治疗带来新的突破。
鉴于CAR-T的成功、CAR-NK的快速发展,将CAR工程技术沿袭用于其他类型免疫细胞的工程化改造引起了研究者们极大的兴趣。
根据这种基因工程技术,CAR-NKT、CAR-巨噬细胞(CAR-M)、CAR-Treg、CAR-γδT等异军突起,在肿瘤的免疫治疗中展现出广阔的前景。之前无癌家园小编就给各位癌友们介绍过以CAR技术为核心的各大新型细胞疗法的研究进展。
总之,小编坚信,在未来将会有越来越多的细胞免疫技术和药物联合使用的试验不断涌现,只要不放弃任何一点希望,攻克癌症指日可待!





发表评论