文章最后更新时间:2024-08-12 19:35:47,由春晓健康网负责审核发布,若内容或图片失效,请留言反馈!
CAR-NK细胞疗法,CARNK治疗12年化疗失败、干细胞移植后复发的患者,最终让患者完全缓解
经过长达12年的化疗失败,干细胞移植后又复发,错过了CAR-T治疗,这么多年的不同尝试让B细胞淋巴瘤患者 JC Cox并没有气馁,最终一款名为CAR-NK的细胞疗法让他获得了完全缓解,战胜了癌症!现在,研究人员正在探索如何将这种治疗扩展到更多的癌症患者和癌症类型。
今天,无癌家园小编就给大家讲述下这位重获新生的癌症幸运儿的抗癌故事吧!
长达12年的化疗失败,干细胞移植后复发,他感觉天塌了
要不是患了癌症,JC Cox大概一辈子都不知道自己居然如此有毅力,他居然能在十几年里接受了十几种不同的癌症治疗。
他的噩梦最初出现在2006年,作为空调和供暖技术员的他往常都从事长时间的工作,然而在这一年他开始失去动力,下班回家后不吃晚饭只想立即上床睡觉。他痛苦地回忆道:“哪怕是到了早上,我还是很累!”
但是勤奋的JC Cox坚持不懈,直到有一天,他几乎无法呼吸,不得已他拉响警报前往急诊室就医。
在医院,医生发现JC Cox的胸腔中积聚了淋巴液,并且溢出到他的一个肺部,导致其塌陷,在抽取5加仑多余的液体后,连同他来自肿胀淋巴结的组织一起送到实验室进行分析。
当结果出来时,他惊呆了!滤泡性淋巴瘤!它属于非霍奇金氏淋巴瘤,是B细胞淋巴瘤中较常见的类型,最常见表现是无痛性淋巴结肿大,典型表现是多部位淋巴组织侵犯。
“我以为我感染了病毒,”现年66岁的JC Cox忧愁地说道:“我从未想过会得癌症。”
得知消息后,JC Cox和他的妻子凯西发誓要与癌症搏斗!“我们绝不会退缩,”凯西说。“我们准备不惜一切代价。”
JC Cox的治疗开始于6个周期的化疗,这让他缓解了13个月,但是癌症又复发了。然后他又忍受了三轮大剂量化疗,这不仅消灭了他的癌细胞,还消灭了他许多健康血细胞,使他容易受到感染。
为了补充化疗破坏的健康细胞,他接受了干细胞移植。从他的骨髓中收集后来发育成健康血细胞的未成熟细胞并注入他的血液中。治疗持续了四个月,但癌症又复发了。来回反复的治疗,让JC Cox的信心一点点消磨,他觉得天快塌了!

在接受淋巴瘤治疗期间,JC Cox(左)和他的兄弟 Gary 合照
(图源MD安德森癌症中心,侵删)
疾病转化为弥漫性大B细胞淋巴瘤,但错过了CAR-T治疗,最终遇到CAR-NK
在没有治疗选择的情况下,JC Cox的医生给他推荐了一种名为ipilimumab 的免疫治疗药物的临床试验 ,商品名为Yervoy。该药物训练免疫系统发现并攻击癌细胞。但在一些患者中,这种药物也会攻击健康细胞,造成严重的副作用。
这正是发生在JC身上的事情。他发高烧,陷入昏迷,最终接受了生命支持。
“他终于康复了,我们松了一口气,”凯西回忆道。“但我丈夫迫切需要更好的选择。”
糟糕的是,2017年,JC 的滤泡性淋巴瘤转化为弥漫性大B细胞淋巴瘤,这是一种更具侵袭性的疾病。他忍受了几次积极的化疗,但一次只能阻止癌症几周。他深知这是一场癌症和自己的比赛,而癌症正在获胜。
那时,JC 正在等待一项名为 嵌合抗原受体 (CAR) T 细胞疗法的开创性癌症新疗法的临床试验。从患者的血液中提取抗病 T 细胞并带到实验室,科学家们在那里为它们注入一种名为 CAR 的特殊受体,该受体与癌细胞上的某些蛋白质结合。大量CAR-T细胞在实验室中增殖,然后注入患者体内以寻找、粘附和杀死癌细胞。但当时CAR-T胞疗法获得了美国食品和药物管理局 (FDA) 的批准,而 JC仍在等待名单上。这意味着临床试验不再需要接受新患者。
那真是一个糟糕的时机,JC再次陷入治疗困境。
天无绝人之路,CAR-NK疗法最终让他完全缓解!战胜了癌症
这时一项新的临床试验CAR-NK疗法正在启动,与最近批准的CAR-T细胞疗法类似,新的临床试验将 CAR 添加到自然杀伤细胞(NK胞)中。这些抗癌细胞不负众望,潜伏在体内,率先对受损或受压的组织做出反应。它们能够识别和杀死癌细胞。
“NK 细胞非常擅长及早识别癌细胞并摧毁它们,但癌症可以发展出躲避免疫系统的方法,” 医学博士Katy Rezvani说道,“给NK细胞装上“弹头”CAR,使之成为CAR-NK细胞,能够扩展其先天的抗癌能力。”
一个供体可以制造多剂量的CAR-NK细胞,然后这些细胞可以用于治疗多个患者。
由于其独特的特性,CAR-NK细胞有可能提前制造、冷冻和储存,并立即提供给任何有需要的患者。
JC 参加了临床试验,成为世界上第8位接受 CAR-NK细胞治疗的人。2018年4月,仅仅30天后,在分析他的后续扫描时,医生告诉他已经没有癌症了。
JC参与的临床试验结果于 2020年2月发表在《新英格兰医学杂志》上。Rezvani和她的团队在临床试验中用CAR-NK细胞治疗了11名患者。
包括 JC在内的7名患者实现了完全缓解,这意味着癌症的所有体征和症状都消失了,1名患者为部分缓解。
“虽然这是一项小型研究,而且我们的随访时间相对较短,但我们对有希望的结果感到非常满意,”Rezvani 说。“我们将继续在更广泛的临床试验中研究 CAR-NK细胞,我们希望这将成为许多有需要的患者的新治疗选择。”
该疗法没有引起明显的副作用 ——这也是CAR-NK疗法的另一个优势。
“从我的治疗中反弹是惊人的,”JC 说。“就像我从来没有生过病一样。”
给NK细胞装上"弹头",CAR-NK杀伤力倍增
上述抗癌故事中,JC Cox最后抗癌成功所采用的疗法就是CAR-NK疗法。
CAR-NK是利用基因工程给NK细胞加入一个能识别肿瘤细胞,并且同时激活NK细胞杀死肿瘤细胞的嵌合抗体。嵌合抗原受体能显著提高NK细胞疗效特异性。这个思路和CAR-T的构建类似:CAR包括胞外的识别结构域(如scFv)识别肿瘤特异性抗原;一个跨膜结构域,和一个胞内信号结构域(CD3ζ 链)可以诱导NK细胞的活化。

图为构建CAR-NK细胞免疫疗法的过程
CAR-NK细胞比CAR-T细胞具有多个优势
01、与CAR-T细胞不同,CAR-NK细胞保留了通过其天然受体识别和靶向肿瘤细胞的内在能力,从而通过CAR-NK靶向治疗时,肿瘤细胞能够逃脱杀伤的可能性降低。
02、CAR-NK细胞在数天至数周内不会发生免疫排斥反应。因此,它们在许多CAR-T临床试验中均未表现出相同的安全问题,例如没有细胞因子释放综合征的困扰。
03、NK细胞不需要严格的HLA匹配,并且没有引起移植物抗宿主病的潜力,这却是CAR-T细胞免疫疗法一种重要的风险。
想寻求CAR-NK细胞疗法及其他国内外治疗新技术帮助的患者可以先将病历提交至无癌家园医学部进行初步评估。
有效率73%!CD19 CAR-NK对白血病和淋巴瘤效果显著
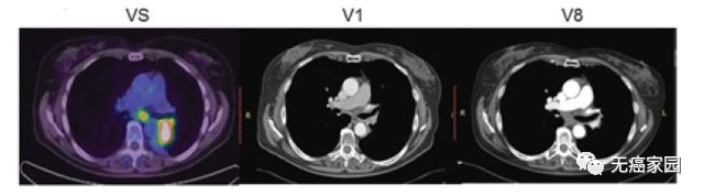
上述抗癌故事的主人公JC Cox所参加的试验结果曾发表在《新英格兰医学杂志》上。在参与该研究的11名患者中,有8名(73%)对治疗有反应,其中7名达到了完全缓解!5名有反应的患者继续接受缓解后治疗。没有患者出现细胞因子释放综合征或神经毒性。这意味着他们在中位随访13.8个月时无疾病迹象。
CD19 CAR-NK细胞疗法起效快,输注后1个月内就有明显反应,并且输注后1年这些细胞依然持续存在。MD安德森干细胞移植与细胞疗法教授凯蒂·雷兹瓦尼博士表示:“这项临床试验的结果喜人,接下来将开展进一步的临床研究,探索同种异体脐血来源的CAR-NK细胞疗法的安全性和有效性。”
这是一种新型的疗法,首先需要从脐带血库中存储的脐带血中分离出NK细胞,并对它们进行基因工程改造,引入可识别癌细胞表面靶标的CAR。这些CAR NK细胞回输给患者。
与CAR-T疗法相比,其最大的优势在于不会引起移植物抗宿主病(GVHD),这是一种在CAR-T疗法中常见的由供体T细胞攻击受体中的健康细胞引起的破坏性疾病。由于NK细胞不会引起GVHD,因此可以将它们从供体提供给接受者,而无需进行匹配。这意味着您可以从一个供体中制备多个剂量的CAR NK细胞来治疗多个患者, 从诊断到癌症治疗的时间大大缩短。

图为患者的治疗情况(图片来自NEJM)
大放异彩,CAR-NK疗法在实体瘤中的成就不容小觑
1、创新CAR-NK疗法FT536获FDA批准用于临床试验
2022年1月10日,Fate Therapeutics公司宣布,美国FDA已批准FT536的新药临床研究(IND)申请。FT536是一款经过多重工程修饰、诱导多能干细胞(iPSC)衍生的“即用型”嵌合抗原受体(CAR)自然杀伤(NK)细胞疗法。

FT536表达一种特异性靶向I类主要组织相容性复合体(MHC)相关蛋白A和B(MICA/MICB)α3结构域的新型CAR。
MICA和MICB属于应激蛋白,在许多实体瘤上高水平表达。癌细胞经常通过MICA/B的α1和α2结构域的蛋白水解脱落来逃逸免疫细胞识别。此前有研究发现,靶向MICA/B的α3结构域的抗体能够特异性地阻止MICA/B脱落,恢复NK细胞介导的免疫力。
此次FT536获批临床应用,表明MICA和MICB正在成为广泛的实体瘤中令人兴奋的癌症免疫疗法靶标,而FT536也代表了一种靶向这些应激诱导配体的新型治疗策略。关于此款疗法的多中心I期临床试验开展的肿瘤类型包括:晚期非小细胞肺癌、结直肠癌、头颈癌、胃癌、乳腺癌、卵巢癌和胰腺癌。
2、"现货型"CAR-NK疗法向"癌王"胰腺癌发起进攻
2022年1月6日,在国际胃肠病领域权威杂志《Gastroenterology》刊登了希望之城国家医学中心和细胞疗法创新公司CytoImmune Therapeutics合作开发的重磅研究,研究结果显示,以前列腺干细胞抗原(PSCA)为靶点的“现成”的CAR-NK疗法能够显著抑制胰腺癌。

近年来,随着医学临床研究的深入,人们发现大约60%~80%的胰腺癌表达前列腺干细胞抗原(PSCA),除了胰腺癌,胃癌和前列腺癌等实体肿瘤同样高表达前列腺干细胞抗原(PSCA)。
为了寻找更有效和创新的实体瘤治疗方法,CytoImmune与City of Hope合作开发了一种针对PSCA的嵌合抗原受体(CAR),用于转导到人类自然杀伤 (NK)细胞中。研究团队选择了构建PSCA-CAR,此外还敲入了分泌性IL-15,维持NK细胞的存活。

CYTO NK-203试验流程这款被称为CYTO NK-203的治疗方法,是一种现成的同种异体 CAR-NK 细胞疗法,源自脐带血,并具有提高 NK 细胞安全性和杀伤功效的一种潜在的疗法。
CYTO NK-203在人类转移性胰腺癌小鼠模型中效果显著,在小鼠体内持续存活超过90天,显著延长其寿命,且未显示出治疗相关毒性,这项临床前研究支持该疗法在今年进入人体临床试验。
研究团队认为这种CAR-NK疗法对胰腺癌治疗充满希望,原因有两个:首先,该疗法基于精准医学方法,靶向胰腺癌患者的特殊靶点——PSCA;这是一种免疫疗法,使用工程化的人类自然杀伤细胞,被改造为专门攻击癌细胞。
此外,由于前列腺干细胞抗原(PSCA)在胃癌、前列腺癌中也同样高表达,因为这款CAR-NK细胞疗法同样对胃癌和前列腺癌的治疗充满希望。
3、国内首个"现货型"CAR-NK临床试验获药监局批准
2021年11月11日,国家药监局药品审评中心通过了一款我国自主研发的针对“晚期上皮性卵巢癌治疗的靶向间皮素(Mesothelin,MSLN)嵌合抗原受体NK细胞(CAR-NK)注射液”(简称:CAR-NK注射液)的临床试验申请。
据无癌家园获悉,此款产品是国内首例“现货型”异体来源的CAR-NK产品。这也标志着我国的免疫细胞药物治疗实体瘤的研究迈入了新的里程碑!

卵巢癌为妇科第二大肿瘤,有70%的卵巢癌患者被诊断时已是晚期。在过去的10年间,我国卵巢癌发病年龄越来越年轻,发病率增长30%,死亡率增加18%。其在妇科恶性肿瘤中5年生存率最低,仅为39%,5年复发率最高,达到70%。
尽管卵巢癌肿瘤细胞减灭术及以铂类为基础的术后化疗延长了患者生存期,但约60%患者接受一线化疗方案后会复发。目前除了PARP抑制剂能够满足30%~40%有基因突变的患者外,目前临床上没有更好的药物及疗法来满足临床需求。
此款CAR-NK疗法的研发有利于提高卵巢癌的治疗效果和改善患者生活质量。而且“现货型”的产品可进行标准化批量生产,从而扩大治疗机会,减少治疗成本,临床普及性较高。
4、1年生存率翻一倍,CAR-NK疗法在实体瘤中疗效暴增
近期,《临床肿瘤研究》杂志发布了一项针对肺癌的2期临床试验。热休克蛋白70(Hsp70)在70%左右的中晚期肺癌中高表达,NK细胞在体外先用Hsp70激活,相当于在体外先让NK细胞与未来的敌人先遭遇、先“结仇”,然后回输给病人,让NK细胞在体内正式与癌细胞殊死搏斗——这样一种在体外先用抗原肽刺激、赋予NK细胞一定特异性的作法,是近年来研究的热点。
这项临床试验一共入组了16例III期非小细胞肺癌患者,一组接受传统的放化疗综合治疗,一组接受放化疗联合Hsp70预激的NK细胞回输治疗。
结果显示:Hsp70预激的NK细胞回输治疗,配合传统的放化疗,可以将1年的生存率从33%翻倍到67%,初步结果振奋人心。
接下来,小编展示联合疗法中一个典型的成功案例,如图所示:治疗1~2个月后复查,肺部肿瘤完全消失,并且疗效已经保持了18个月。

5、采用靶向NKG2D的CAR-NK细胞治疗结直肠癌,安全且可行
在2020年一篇广州医科大学的硕士学位论文中,我国研究学者采用靶向NKG2D的CAR-NK细胞治疗结直肠癌患者,其初步疗效值得肯定,且具有安全性。
本研究中,采用局部输注 NKG2Dp CAR-NK的方式治疗了3 例转移性结直肠癌患者。前两例患者腹腔输注低剂量 CAR-NK 细胞后,可观察看腹水生成量减慢以及腹水样本中肿瘤细胞的数量急剧减少。第三例肝转移瘤患者采用超声引导下瘤内经皮注射和腹腔内灌注方式输注 CAR-NK细胞后,多普勒超声可见肝部肿瘤快速缩小,正电子发射断层扫描(PET-CT)提示经治疗的肝病灶为完全代谢反应。3 例患者在治疗过程中均无出现3级或以上的不良事件。

第3例患者多普勒超声成像显示局部注射 CAR-NK 细胞降低肝转移病灶肿瘤负荷

CAR-NK 细胞治疗后肝转移病灶 PEC-CT 结果对比图
(患者肝Ⅵ段的最大氟脱氧葡萄糖(FDG)摄取值从 8.2 降至 0.14,经评估为完全代谢缓解)
本项研究结果初步显示 NKG2D mRNA CAR-NK细胞局部输注治疗转移性结直肠癌患者具有安全性和可行性,为肿瘤免疫治疗提供了一种新的策略。
除了上述提到的国内外临床研究外,CAR-NK细胞还对胶质母细胞瘤和神经母细胞瘤、肝癌等的疗效颇佳,特异性识别和高效杀伤乳腺癌肿瘤细胞,对多发性骨髓瘤疗效显著。
NK细胞治疗临床研究进行中
CAR-NK细胞疗法是一个很有前途的临床研究领域,对某些癌症患者具有良好的安全性和初步疗效。与CAR-T细胞相比,CAR-NK细胞具有自己独特的优点,但仍面临着一些挑战。这些挑战包括细胞增殖的改善,使细胞毒性的激活更有效,以及最终找到NK细胞的最佳重建方法。相信解决好这些问题,基于NK细胞优秀的抗肿瘤血统,极有可能在CAR修饰的武装下为肿瘤治疗带来新的突破。
目前,无论是中国、日本还是美国,NK细胞培养技术都已经非常成熟。想了解的患者可以致电无癌家园医学部,提交病历并由专业医生为您进行评估。
鉴于CAR-T的成功、CAR-NK的快速发展,将CAR工程技术沿袭用于其他类型免疫细胞的工程化改造引起了研究者们极大的兴趣。
根据这种基因工程技术,CAR-NKT、CAR-巨噬细胞(CAR-M)、CAR-Treg、CAR-γδT等异军突起,在肿瘤的免疫治疗中展现出广阔的前景。之前无癌家园小编就给各位癌友们介绍过以CAR技术为核心的各大新型细胞疗法的研究进展。
总之,小编坚信,在未来将会有越来越多的细胞免疫技术和药物联合使用的试验不断涌现,只要不放弃任何一点希望,攻克癌症指日可待!
参考文献
https://www.mdanderson.org/newsroom/cd19-car-nk-cell-therapy-achieves-73-percent-response-rate-in-patients-with-leukemia-and-lymphoma.h00-159379578.html





发表评论