文章最后更新时间:2024-08-12 19:18:11,由春晓健康网负责审核发布,若内容或图片失效,请留言反馈!
日本WT1疫苗WT1-DC横扫多类癌症实现抗癌新突破
据韩媒报道,Vigencell获得韩国食品药品安全部(简称“食药监部”)额外批准,用于急性髓系白血病的治疗。
Vigencell在2007~2013年间,进行了针对急性髓系白血病患者单一WT1肿瘤抗原的临床试验,其无复发生存率为71%,5年复发率为0%。
此后开发的下一代T细胞疗法——VT-Tri(1)-A,不仅可以攻击单一抗原WT1,还可同时攻击急性髓性白血病癌细胞所拥有的三种常见肿瘤抗原靶点,即WT1、Survivin、TERT。该药于去年7月完成了1期临床试验,在符合治疗条件的患者中,未发现与治疗相关的严重不良反应或剂量限制性毒性(DLT)。2期临床试验将在三星首尔医院、首尔圣母医院、汝矣岛圣母医院等7家机构进行,目前正在招募患者。
走进全球公认理想抗原——WTI
WT1全称为“Wilms'Tumor gene 1”,是胚胎发育所必需的一种多功能转录因子,由德国科学家于1990年率先发现,可作为肿瘤抑制剂或癌基因,通过激活或抑制基因来调节细胞的生长、凋亡和分化,在许多类型的癌症中都有表达。
WT1抗原在正常组织中低水平表达,但在多种血液恶性肿瘤及实体瘤中高表达,尤其在肺癌和胰腺癌中的表达率超过90%,故被美国国家癌症研究所列为癌症疫苗中的理想靶点,并在75个恶性肿瘤抗原有效性的排名中,位列第一。
日本WT1树突状细胞疫苗——"定制版"癌症抗原疫苗
在临床实践中,WT1通常用作日本树突状细胞疫苗的常用抗原。WT1树突状细胞疫苗(WT1-DC)可通过激活癌症特异性CD8细胞、NK细胞,来改善免疫谱,降低肿瘤标志物,并抑制癌症进展,延长总生存期;还可与分子靶向药物联合使用,诱导ADCC(抗体依赖的细胞介导的细胞毒性作用),预防癌症复发,改善远期预后。
与以往的树突状疫苗不同,日本WT1-DC是根据人类白细胞抗原(HLA)的检测结果,将适合患者的WT1肽,掺入由患者血液培养的树突状细胞中,从而制备与患者HLA相容的、行之有效的“定制版”疫苗。对该项技术感兴趣的癌友们,可以咨询医学部,了解治疗的详细情况。
WT1-DC在肿瘤治疗中"大放异彩"
WT1在多种肿瘤中高表达,因此,既可用于血液肿瘤的治疗,也可用于实体瘤的治疗。日本科学家Miwa早在1992年,就发现WT1在血液肿瘤中表达增高;美国FDA于2018年,授予瑞士SELLAS公司研发的一款靶向WT1的肿瘤疫苗——galinpepimut-S(GPS),治疗多发性骨髓瘤的资格。除血液肿瘤外,WT1-DC也可用于治疗肺癌、肝癌、胃癌、乳腺癌等多种实体瘤。
肺癌伴全身转移患者,接受WT1-DC联合化疗后,肿瘤缩小且症状缓解

▲截图源自“Cureus”
知名医学杂志《Cureus》刊载了一篇“采用WT1-DC治疗复发性和多发性肺癌全身转移”的报道。一位69岁患“右肺中叶IV期鳞状细胞癌”的男性患者,同时伴双侧肾上腺转移、多发性肝转移、多发性骨转移,无法接受手术和放疗,故给予WT1树突状细胞疫苗(WT1-DC)联合化学药物(卡铂AUC6+紫杉醇)治疗。
结果显示,WT1-DC改善了患者免疫系统,并可长期维持化疗的显著效果。患者在接受WT1-DC治疗后,白细胞总数减少,中性粒细胞百分比降低,淋巴细胞百分比增加,N/L比(中性粒细胞对淋巴细胞比率)降低,C反应蛋白(CRP)降低,但CEA(癌胚抗原)持续升高。在联合应用多西他赛+雷莫芦单抗后,CEA值降低至5.9。
在治疗第254~577天,患者N/L比值始终保持在低水平,平均为3.27;淋巴细胞百分比保持相对有利,平均为21.0%;肿瘤自第254天开始缩小。
在治疗第479天,PET-CT显示,除右肺直径为1.0cm的转移病灶和肝脏直径为1.7cm的转移病灶外,未见其他异常表现。且患者临床状况良好,体能状态为1,可正常生活。
图1 全身PET-CT对比

▲截图源自“Cureus”,版权归原作者所有,如无意中侵犯了知识产权,请联系我们删除
图片A(诊断时的全身PET-CT):示右下肺原发肿瘤,伴多发性双侧肺内转移、双侧肾上腺转移、多发性肝转移、多发性骨转移。
图片B(治疗第479天的全身PET-CT):示右肺有2个小转移(直径为1.0cm),肝脏有1个小转移(直径为1.7cm)。
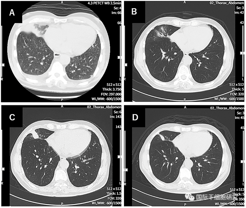
图2 胸部CT图像对比

▲图片源自“Cureus网站”,版权归原作者所有,如无意中侵犯了知识产权,请联系我们删除
图片A(诊断时的CT图像):示原发性右下肺癌,伴左右胸腔积液。
图片B(治疗第114天的CT图像):示原发病灶几乎消失。
图片C(治疗第213天的CT图像):示原发病变存在一定程度的复发。
图片D(治疗第338天的CT图像):示原发性、复发性病变缩小。
WT1-DC治疗胶质母细胞瘤1期研究结果喜人,MRI示肿瘤缩小
胶质母细胞瘤是常见的恶性原发性脑瘤,约占中枢神经系统肿瘤的14.5%,约占恶性中枢神经系统肿瘤的48.6%。目前主要以外科手术、放疗、化疗等治疗手段为主,虽然治疗方式较多,但肿瘤复发率仍然较高,5年的整体生存率仅为7%,因此,迫切需要开发新的治疗方法,以改善患者的预后。
《Journal of Neurosurgery》发表了一篇日本信州大学医学院开展的“WT1致敏的树突细胞疫苗,治疗复发性、恶性胶质瘤的安全性和有效性研究”的1期试验研究。
该试验选取10例(女7例,男3例)经标准治疗后复发、对放化疗抵抗且疾病持续进展的脑胶质瘤(包括6例恶性胶质瘤、2例间变性星形细胞瘤、间变性少突胶质细胞瘤和星形细胞瘤各1例)患者,分别给予改良的WT1肽脉冲DC疫苗(7例患者)、肿瘤裂解物脉冲DC疫苗(2例患者)、WT1脉冲DC疫苗+肿瘤裂解物脉冲DC疫苗(1例患者)。
结果显示,5例接受WT1脉冲DC疫苗接种的患者病情稳定,其中,2例患者的神经系统检查结果有所改善,MRI图像显示肿瘤缩小。除注射部位出现1~2级红斑外,未发生严重不良事件。
小编有话说
WT1作为关键基因的调控因子,在很多癌症中广泛表达,据美国国家癌症研究所报道,WT1在癌症中的表达率、免疫原性和临床疗效方面表现良好。因此,WT1可用作日本树突状细胞疫苗治疗的常用抗原。而日本既是率先批准使用免疫疗法的国家之一,也是唯一将再生医疗立法的国家,并相继研发了多款世界领先的免疫治疗手段,比如树突状细胞(DC)疫苗、融合细胞疗法等。其中,日本WT1-DC不仅能诱导针对原发性肿瘤的免疫应答,还能诱导针对转移性肿瘤的免疫应答,该技术目前正在日本进行医保临床试验,有望为更多癌症患者带来新的希望。
最后小编温馨提示,随着抗癌研究的不断深入,癌症逐渐进入综合治疗的时代,目前比较理想的治疗方式是在权威医院传统治疗(如手术、放疗、化疗)的基础上,再结合患者自身的经济情况,辅助免疫细胞治疗(如WT1-DC、NK细胞疗法)、电场治疗等新型治疗方式,以达到巩固传统治疗效果、降低肿瘤复发风险、提高患者生存质量、延长生存期等目的。想寻求日本WT1树突细胞疫苗或国内外其他抗癌新技术帮助的患者,可以先将病历、近期检查结果等提交至医学部,进行初步评估。
参考资料
[1]https://pharm.edaily.co.kr/news/read?newsId=03089766635778168&mediaCodeNo=257
[2]https://www.newsprime.co.kr/news/article/?no=620183
[3]Nagai H,et al.WT1 Dendritic Cell Vaccine Therapy Improves Immune Profile and Prolongs Progression-Free Survival in End-Stage Lung Cancer[J].Cureus,2023,15(10).
https://www.cureus.com/articles/193305-wt1-dendritic-cell-vaccine-therapy-improves-immune-profile-and-prolongs-progression-free-survival-in-end-stage-lung-cancer#!/
[4]van Amerongen RA,et al.WT1-specific TCRs directed against newly identified peptides install antitumor reactivity against acute myeloid leukemia and ovarian carcinoma. J Immunother Cancer.2022 Jun;10(6):e004409. doi: 10.1136/jitc-2021-004409.
https://www.ncbi.nlm.nih.gov/pmc/articles/PMC9214430/
[5]Sener U,et al.Immunotherapy in glioblastoma:current approaches and future perspectives[J].International Journal of Molecular Sciences,2022, 23(13):7046.
https://www.mdpi.com/1422-0067/23/13/7046





发表评论