文章最后更新时间:2024-08-12 19:17:30,由春晓健康网负责审核发布,若内容或图片失效,请留言反馈!
恩曲替尼治疗效果怎么样,来看看这个治疗案例
手术16年后,晚期癌症患者M先生的肿瘤复发并且初夏肺部转移,化疗无效...幸运的是,在接受了美国抗癌药恩曲替尼治疗后仅6个月,原发病灶和肺部转移灶全部消失,达到完全缓解!目前M先生已持续缓解长达30个月,重新回到了正常生活!
治疗6个月肿瘤全部消失!革命性抗癌药拯救晚期复发转移患者
2001年,刚参加工作没多久的M先生发现自己的左侧脸颊和耳朵附近出现了一个肿块,去医院检查后发现竟然是一种罕见但发展迅速的恶性肿瘤--腮腺癌(涎腺癌中发生率最高的一种恶性肿瘤)。
幸运的是发现的及时,肿瘤还没有出现转移,可以进行根治性切除。于是,M先生接受了左腮腺全切除术并清扫了左颈部淋巴结,手术后为了清除残存的癌细胞,又接受了放疗,治疗结束后M先生顺利的康复了,很快重新回到了正常生活。
就在M先生认为癌症早已远离自己的时候,2017年春天,M先生再次摸到左侧腮腺令人恐惧的肿块,他知道癌症回来了!
去医院进行详细的检查后证实,腮腺癌局部复发,更糟的是出现了颈淋巴结转移,医生说已经没有手术机会了。M先生接受了化疗来控制这种发展迅速的恶性肿瘤,不幸的是,治疗无效,M先生的复发的肿瘤明显增多并且还出现了肺部的转移。
为了寻找更有效的靶向和免疫治疗方案,医生对M先生的肿瘤组织标本进行了全基因组测序,结果出来后,医生兴奋的告诉M先生他有救了!
他的基因幸运的存在一种罕见的突变类型--ETV6-NTRK3融合基因,针对这一靶点已上市的拉罗替尼和恩曲替尼数据都非常鼓舞人心,很多患者接受治疗后重返正常生活。
M先生也因为存在这一钻石靶点顺利接受了全新抗癌药物恩曲替尼的治疗。
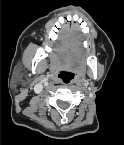
2019年初,M先生开始服用恩曲替尼。在治疗前,他左侧腮腺的肿瘤已经有橘子那么大(7公分),并且肿瘤已经破溃,需要始终缠着纱布。在恩曲替尼治疗2个月后,病灶以肉眼可见的速度显著缩小。更让大家惊喜的是,在治疗后6个月的复查结果显示,M先生腮腺的病灶已经完全消失了,同时,肺部的转移灶也全部消失,评效达到完全缓解(CR)!




截至医生发表这个神奇的案例时,M先生已经持续接受治疗30个月,并且持续保持完全缓解并继续接受恩曲替尼治疗。
(注:为保护患者隐私,文中均使用化名,病情及治疗经过略有删减,想查看原文献的可以点击文末链接。)
目前恩曲替尼的临床试验还在进行,有想参加或者了解这款药的患者可以点击在线咨询了解具体情况。





发表评论