文章最后更新时间:2024-08-12 19:15:42,由春晓健康网负责审核发布,若内容或图片失效,请留言反馈!
拉罗替尼效果怎么样,拉罗替尼(LOXO-101)帮患者成功抗癌6年,更多的拉罗替尼临床试验招募正在进行中
当你看到Anna时,一定会被她的欢乐和笑容所感染。没有人能想到,这个9岁的,在学校活力四射,喜欢芭比和唱歌的漂亮女孩在3岁时曾被医生诊断为“无法可治”的恶性癌症。如今,她已成功战胜癌症6年,重新回到正常的生活,在学校和操场上放声大笑和奔跑。

9岁的Anna定期回到医院复查,没有疾病迹象
成功抗癌6年!新型靶向药物让她战胜"无法可治"的恶性癌症
2017年,3岁的Anna感到胳膊好像受伤了导致她无法入睡,她的父母带她去医院做了检查,X光结果显示没有异常,医生说她也许只是不想睡觉。但是,Anna的疼痛越来越强烈,甚至已经无法正常活动,这让父母引起了警惕,马上带她去医院做了进一步检查。结果令Anna的父母无法接受,MRI显示她的右臂上竟然长了一个肿瘤,并且包裹着右臂的神经。
更糟的是,当时没有医生知道该如何治疗Anna,因为肿瘤的位置既不能手术,又不能放疗,这些治疗都有可能造成神经损伤,让Anna的右臂瘫痪。冒着极大的风险做了活检,病理诊断为肉瘤,但具体是哪种亚型不得而知,因此没有任何治疗方案可用,只能用一些药物缓解手臂的剧烈疼痛。而Anna的病情也在迅速进展,她的右臂已经完全无法正常使用了。Anna的父母陷入了绝望。
抱着最后一线希望,医生用穿刺的组织进行了全基因组测序,尝试寻找概率极低的可用的靶向治疗方案。但当结果出来的那一刻,医生兴奋的告诉Anna的父母,她有救了!检查报告显示Anna存在NTRK融合,这是一种非常罕见的突变类型,可以驱动多达20种癌症发生,当时世界范围内并没有几个医生知道。
幸运的是,在全球知名的美国丹娜法伯癌症研究所,有一款代号为LOXO-101(larotrectinib,拉罗替尼)新药的临床试验正在进行,能敲除由 TRK 融合产生的蛋白质,大幅击退癌症。根据目前的临床试验的结果,这款药物已经创造了无数重生的奇迹,很多检测到NTRK融合的患儿都对药物有良好的响应。
由于Anna命悬一线,在48小时内,经过多方努力,她顺利入组了在波士顿丹娜法伯癌症研究院,史蒂芬·杜波依斯(Steven DuBois)博士领导的这项新药临床试验。

果然,这款药物再次显示出“神奇”的抗癌效果。在开始接受拉罗替尼治疗后,Anna的肿瘤开始迅速缩小,在进行了3年的临床试验后,她的病情稳定。与传统疗法相比,该药的副作用极小。
现在,Anna已经9岁,成功战胜癌症6年,只需要定期去医院随访。
Anna的父母在接受采访时激动地说,这款药物挽救了女儿的性命,并且给了他正常的童年,让她可以在充满笑声的学校和操场快乐成长。(注:为保护患者隐私,文中均使用化名)
拉罗替尼震撼上市,为全球癌症患者创下生存"奇迹"
2018年,全球首个不区分肿瘤来源用于初始治疗的靶向药-拉罗替尼(Vitrakvi ®,larotrectinib,下文统称拉罗替尼)震撼上市,让整个医疗界和癌友圈沸腾,这在肿瘤治疗史上是一个振奋人心的里程碑。自此,无论多么罕见难治的癌症类型,无论长在什么部位,无论是否扩散...对于存在NTRK融合的患者来说,拉罗替尼是一款可能改变生死的新药。
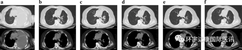
中国--Ⅳ期非小细胞肺癌
国内IV期肺癌患者徐女士,基因检测显示NCOR2-NTRK1融合,成功入组拉罗替尼在国内的临床试验,成为了国内首批吃螃蟹的幸运儿,免费接受这款药物的治疗,每年剩下了超260万的治疗费!更惊喜的是,这款药物真的让她创造了生存的奇迹!2020年3月,治疗6个月时,CT扫描显示徐女士的部分病灶明显缩小甚至消失了!截至文献发表时,徐女士依然接受拉罗替尼的治疗,状态良好。(注:为保护患者隐私,文中均为化名)

《柳叶刀》重磅:新生婴儿用药8周完全清除肿瘤
美国加利福尼亚大学旧金山分校医学中心报道了一例特殊的患者-刚出生确诊为癌症的女婴,经过Vitrakvi的治疗,8周病灶全部消退的案例,并发表在全球顶级期刊《THE LANCET》(柳叶刀)上,引起了轰动。

全球第一位参加拉罗替尼的幸运儿,成功打败Ⅳ期癌症
晚期肉瘤幸存者M女士是全世界第一位参加Vitrakvi临床试验的幸运儿。在接受治疗之前,“我坐在轮椅上,每小时吸5升氧气,几乎无法连续呼吸,我快要死了,”她说。“接受拉罗替尼治疗六个星期后,我去骑马了。肿瘤就这样奇迹般消失了。”
化疗耐药陷入绝境!拉罗替尼让肿瘤“戏剧性”消退
化疗后陷入绝境的癌症患儿,在接受一款全新药物的治疗后,肿瘤“戏剧性”消退!专家说,未来,这些儿童肿瘤患者可以不再需要化疗,这款药物已经创下众多奇迹。
这样的案例数不胜数....
(注:做了基因检测的病友可以拿出报告看看,一旦存在这种罕见的“钻石”靶点NTRK融合,可以马上提交给全球肿瘤医生网医学部咨询是否有机会接受新药治疗,看不懂的病友也可以提交报告进行解读。)
"传奇"抗癌药拉罗替尼已上市,国内多中心启动临床
值得所有中国病友们振奋的是,2022年4月13日,全球首个不区分肿瘤来源的广谱靶向药-larotrectinib(硫酸拉罗替尼胶囊,Vitrakvi ®,下文统称拉罗替尼)终于获得中国国家药品监督管理局批准正式上市,用于治疗患有NTRK基因融合的局部晚期或转移性实体瘤的成人和儿童患者!
更庆幸是,中国的癌症患者迎来了好时代!目前拉罗替尼针对成人实体瘤和儿童实体瘤的两项试验仍在国内进行临床招募,已经有大量NTRK融合的患者通过全球肿瘤医生网医学部成功入组并接受抗癌新药治疗,成功逆转了病情,我们希望有更多的病友知道这个好消息,有更多的病友能够获益于这些新型的抗癌药物,战胜癌症!
除了拉罗替尼,还有多款美国及中国自主研发的NTRK抑制剂正式在国内获批开展临床试验。

申请方式:
1.点击在线咨询
2.请将基因检测报告,诊断报告电子版或拍照发送至doctor.huang@globecancer.com,邮件中留下联系方式,医学部收到报告分析完毕后一个工作日内电话联系。
3.直接致电全球肿瘤医生网医学部咨询。
以前这些美国研发上市的抗癌新药对于国内的患者来说遥不可及,近两年随着国家的重视,加快了各类抗癌药物研发上市的审批速度,相信这些效果好的抗癌药都会加快在我国上市和纳入医保的步伐,让更多的百姓获益,让我们共同期待吧!
参考资料:
【1】Hong D, et. al. Larotrectinib long-term efficacy and safety in adult patients (pts) with tropomyosin receptor kinase (TRK) fusion cancer. ASCO Annual Meeting 2023 E-Poster. Abstract 3141.
【2】Lin, J, et. al. Long-term efficacy and safety of larotrectinib in patients with tropomyosin receptor kinase (TRK) fusion lung cancer. ASCO Annual Meeting 2023 E-Poster. Abstract 9056.
【3】Cabanillas M, et. al. Larotrectinib (laro) long-term efficacy and safety in patients (pts) with tropomyosin receptor kinase (TRK) fusion thyroid carcinoma (TC). ASCO Annual Meeting 2023 E-Poster. Abstract 6091.
https://www.alexslemonade.org/20-years/changing-status-quo-kids-cancer-one-fda-approval-time





发表评论