抗癌指南 肺癌 胃癌 结直肠癌 食道癌 乳腺癌 肝癌 胰腺癌 卵巢癌 宫颈癌 肾癌 膀胱癌 脑瘤 肉瘤 前列腺癌 黑色素瘤 妇科肿瘤 头颈癌 儿童肿瘤 淋巴瘤

临床试验要一直住院吗 抗癌指南

抗癌指南临床试验要一直住院吗

临床试验要一直住院吗临床试验是否需要住院临床试验是否需要住院取决于试验的具体设计和要求,不同的试验有不同的要求和程序。以下是一些常见情况:短期临床试验:某些临床试验只需要患者短期住院,以便进行特定的治疗或监测。例如,某些药物试验可能需要患者住院数天,接受药物治疗并进行相关检查。长期临床试验:有些试验可能需要患者在试验期间长期住院。这通常是因为治疗方法涉及复杂

第二代泛TRK抑制剂Zurletrectinib(ICP-723)疾病控制率高达100% 抗癌指南

抗癌指南第二代泛TRK抑制剂Zurletrectinib(ICP-723)疾病控制率高达100%

第二代泛TRK抑制剂Zurletrectinib(ICP-723)疾病控制率高达100%100%接受治疗的晚期患者肿瘤控制稳定,超过60%患者肿瘤显著缩小甚至消失,国研新一代“不限癌种”靶向药成为NTRK阳性肿瘤患者抗癌新希望!在抗癌的道路上,科学家们从未停止过探索的脚步。近两年,研究人员发现首个不区分癌种的可用药基因--NTRK,一种导致多种成人和儿童恶性

肿瘤电场治疗,电场疗法TTFields联合免疫检查点抑制剂实现中位总生存期提升8个月 抗癌指南

抗癌指南肿瘤电场治疗,电场疗法TTFields联合免疫检查点抑制剂实现中位总生存期提升8个月

肿瘤电场治疗,电场疗法TTFields联合免疫检查点抑制剂实现中位总生存期提升8个月提到电场疗法,相信很多人都不陌生,操作简单,副作用低,只需随身佩戴,就能昼夜不断地消灭癌细胞,理论上不管什么病理分型,不管什么基因突变,只要给患者加上这层看不见摸不着的“电网”,就能达到治疗的目的。图电场疗法治疗进展就在昨日,再次传来好消息,2023年美国临床肿瘤学会(ASC

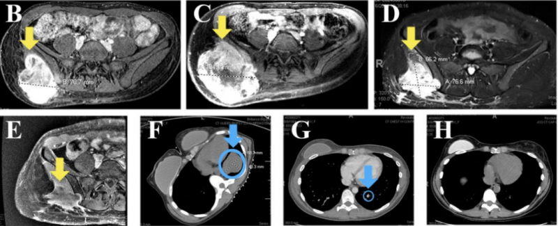
硫酸拉罗替尼胶囊疗效,16公分巨大肿瘤完全清除,肺转移消失,这款传奇抗癌药拉罗替尼临床试验招募正在进行中 抗癌指南

抗癌指南硫酸拉罗替尼胶囊疗效,16公分巨大肿瘤完全清除,肺转移消失,这款传奇抗癌药拉罗替尼临床试验招募正在进行中

硫酸拉罗替尼胶囊疗效,16公分巨大肿瘤完全清除,肺转移消失,这款传奇抗癌药拉罗替尼临床试验招募正在进行中当检测出NTRK基因融合时,无论什么类型的癌症,无论肿瘤有多大,无论是否出现转移,拉罗替尼已经让全球各地的患者看到了肿瘤消退的“奇迹”。16公分巨大肿瘤完全清除,肺转移消失!传奇抗癌药为晚期癌症患者带来救赎2021年夏天,35岁的M女士因为右侧胯部疼痛肿胀

中国NTRK基因融合癌症发病率及特征数据出炉 抗癌指南

抗癌指南中国NTRK基因融合癌症发病率及特征数据出炉

中国NTRK基因融合癌症发病率及特征数据出炉近日,针对全球首个被批准的不限癌种靶向治疗药物靶点--NTRK融合,中国的研究团队发布了此靶点的癌症发病率及基因特征,为临床治疗提供更可靠的数据支持!NTRK基因已成为全球最火的抗癌靶点之一,因为这是目前在全球首个被发现的不区分癌种的可用药基因,也是所有癌症病友们都应该检测的泛癌种“钻石”靶点!针对这一靶点已上市的

2023年上半年美国抗癌抗肿瘤新药获批概况 抗癌指南

抗癌指南2023年上半年美国抗癌抗肿瘤新药获批概况

2023年上半年美国抗癌抗肿瘤新药获批概况2023年上半年美国获批上市的新药结直肠癌--图卡替尼2023年1月19日,FDA批准全新组合疗法tucatinib (图卡替尼,Tukysa)联合曲妥珠单抗上市,治疗HER2 阳性结直肠癌 (CRC) 成人患者!白血病/淋巴瘤--zanubrutinib2023 年 1 月 19 日,美国食品药品监督管理局 (FD

一期临床试验是什么:揭开医学研究的第一道门 抗癌指南

抗癌指南一期临床试验是什么:揭开医学研究的第一道门

一期临床试验是什么:揭开医学研究的第一道门1、一期临床试验的初步理解在癌症研究的进程中,临床试验发挥着至关重要的作用,在我们对抗癌症的行动中,一期临床试验成为了探索新药物、新治疗方法安全性的重要环节。这是阶段性临床试验的开端,在这一阶段我们会评估新的治疗方法在人体中的安全性、抗癌性以及最合适的给药方式和剂量。2、小组集结:一期临床试验的参与者一期临床试验通常

治疗型KRAS突变癌症疫苗ELI002用于治疗后6人半年后无癌生存,死亡风险降低86% 抗癌指南

抗癌指南治疗型KRAS突变癌症疫苗ELI002用于治疗后6人半年后无癌生存,死亡风险降低86%

治疗型KRAS突变癌症疫苗ELI002用于治疗后6人半年后无癌生存,死亡风险降低86%近年来,免疫疗法的登场,揭开了一种全新的治疗策略。肿瘤发展的先决条件是欺骗人体的免疫功能,使肿瘤细胞不被当作攻击对象。我们的身体每天都会产生癌细胞,而个别细胞不会形成肿瘤,被免疫系统及时清除了。那么,到底有没有什么方法唤醒患者的免疫细胞呢?在这种情况下,细胞免疫疗法和肿瘤疫

临床试验分几期,透视临床试验的四个阶段 抗癌指南

抗癌指南临床试验分几期,透视临床试验的四个阶段

临床试验分几期,透视临床试验的四个阶段一、揭秘Ⅰ期临床试验Ⅰ期临床试验的底色可以被描绘为一场跨越人体与药物之间的探秘之旅,此阶段主要涵盖初步的临床药理学、人体安全性评价试验以及药代动力学试验,取决于耐受性试验和药代动力学试验的结果,我们将得到关于药物在人体中的吸收、分布、代谢以及消除等重要信息,这是确定最初治疗策略的重要依据。在该阶段,研究人员严格遵守相关治

新型癌症疫苗ELI-002治疗后,6名KRAS肠癌、胰腺癌患者肿瘤消失 抗癌指南

抗癌指南新型癌症疫苗ELI-002治疗后,6名KRAS肠癌、胰腺癌患者肿瘤消失

新型癌症疫苗ELI-002治疗后,6名KRAS肠癌、胰腺癌患者肿瘤消失6名癌症患者在接受6个月的新型疫苗治疗后肿瘤全部消失,达到完全缓解(CR)!癌症疫苗或将开启免疫治疗的新时代,为更多实体瘤患者带来生存突破!KRAS是最常见的致癌基因之一,存在于90%的胰腺癌中,30-40%的结肠癌中,15-20%的肺癌中(大多为非小细胞肺癌)。作为最早被发现的肺癌驱动基

电场疗法联合免疫疗法帮助肺癌患者重燃长存希望 抗癌指南

抗癌指南电场疗法联合免疫疗法帮助肺癌患者重燃长存希望

电场疗法联合免疫疗法帮助肺癌患者重燃长存希望戴个“头套”,通上电就能治疗癌症,你可能会嗤之以鼻,别开玩笑了!这岂不是天方夜谭?当然不是!这就是黑科技“肿瘤电场疗法”的治疗手段!电场疗法电场疗法(TTFields)最早是有以色列理工学院的荣誉教授尤兰姆·帕耳提医生(Dr. Yoram Palti)在2001年研发出的,一种用低强度电场治疗脑瘤的新疗法。 这种疗

肿瘤免疫治疗是怎么治疗的 抗癌指南

抗癌指南肿瘤免疫治疗是怎么治疗的

肿瘤免疫治疗是怎么治疗的肿瘤免疫治疗是一种运用免疫学原理和方法,激活体内免疫细胞,增强机体抗肿瘤免疫应答,特异性地清除肿瘤微小残留病灶、抑制肿瘤生长的治疗方法。由于其副作用小、治疗效果明显,肿瘤免疫治疗逐渐成为未来肿瘤治疗的发展方向,被称为继手术、放疗和化疗之后的第四大肿瘤治疗技术。免疫系统与肿瘤的关系人体的免疫系统是一个复杂的防御网络,具有区分“自我”和“

CLDN18.2(Claudin 18.2)靶向药Zolbetuximab(IMAB362)大型3期试验达主要终点,该药可以显著降低患者死亡风险 抗癌指南

抗癌指南CLDN18.2(Claudin 18.2)靶向药Zolbetuximab(IMAB362)大型3期试验达主要终点,该药可以显著降低患者死亡风险

CLDN18.2(Claudin 18.2)靶向药Zolbetuximab(IMAB362)大型3期试验达主要终点,该药可以显著降低患者死亡风险Zolbetuximab(IMAB362)是一类针对Claudin 18.2靶点的单克隆抗体药物。在目前所有被批准进入临床试验的靶向Claudin18.2药物中,研发进度最快的也是Zolbetuximab。2023年

癌症为什么会复发转移,如何预防癌症复发转移 抗癌指南

抗癌指南癌症为什么会复发转移,如何预防癌症复发转移

癌症为什么会复发转移,如何预防癌症复发转移癌症复发和转移是癌症治疗过程中,绕不开的难题。通常而言,癌症治疗后的1~3年是复发或转移的高峰期,约80%的患者会在此阶段出现转移或复发;而治疗第4~5年,复发概率会逐年下降;尤其是治疗5年后,癌症复发风险会大大降低,但仍然不可掉以轻心。要知道,即便是几个残存的癌细胞,也有可能再次无限增殖。因此,抗癌是一场持久的攻坚

肿瘤癌症治疗费用一般要多少钱,患者如何科学抗癌,如何少走弯路 抗癌指南

抗癌指南肿瘤癌症治疗费用一般要多少钱,患者如何科学抗癌,如何少走弯路

肿瘤癌症治疗费用一般要多少钱,患者如何科学抗癌,如何少走弯路据统计,全球每年约有1270万癌症新发病例,随着抗癌新药及新技术的不断涌现,癌症治愈率逐步提高。但由于癌症治疗周期长、检查频率高等原因而产生的高昂的治疗费用,仍然让很多患者及其家庭背上沉重的负担。据《柳叶刀》2016年一项调查显示,中国治疗胃癌、肺癌等6种常见癌症的人均年治疗费用约6.8万元,但当年

肿瘤免疫治疗是怎么治疗的 抗癌指南

抗癌指南肿瘤免疫治疗是怎么治疗的

肿瘤免疫治疗是怎么治疗的肿瘤,这个令人谈之色变的“绝症”,在传统治疗手段下往往束手无策,然而,随着科学技术的不断发展,一种名为“免疫治疗”的新型治疗方法,为癌症患者带来了新的希望。免疫治疗,顾名思义,就是利用人体自身的免疫系统来对抗肿瘤,与传统的手术、放疗、化疗等直接杀伤肿瘤细胞的方法不同,免疫治疗更像是“借力打力”,通过激活、增强或修复免疫系统,使其能够识

揭秘一二三四期临床试验,新药上市前的必经之路 抗癌指南

抗癌指南揭秘一二三四期临床试验,新药上市前的必经之路

揭秘一二三四期临床试验,新药上市前的必经之路新药的研发和上市是一个复杂而漫长过程,为了确保药物的安全性、有效性和药代动力学指标,新药在上市之前必须经过严格的试验,其中一二三四期临床试验是关键的步骤。本文将全面介绍这些临床试验的内容、目的和重要性,帮助读者了解新药研发的全过程。一、I期临床试验(Phase I):初步确定药物的临床药理学及人体安全性1.1 试验

热门的抗体偶联ADC药物靶点Trop-2,成为多类难治癌症的"救星"靶点 抗癌指南

抗癌指南热门的抗体偶联ADC药物靶点Trop-2,成为多类难治癌症的"救星"靶点

热门的抗体偶联ADC药物靶点Trop-2,成为多类难治癌症的"救星"靶点这类靶点一度被视为“去化疗”的希望——包括三阴性乳腺癌、小细胞肺癌、尿路上皮癌以及靶向治疗耐药的非小细胞肺癌等在内,很多难治癌症的患者都能够检测到Trop-2的表达,使用这一靶点的药物治疗,能够获得超越化疗的疗效。目前,Trop-2是抗体-药物偶联物(抗体偶联药物,ADC)的热门靶点之一

免疫细胞NK疗法:未来癌症治疗的新星 抗癌指南

抗癌指南免疫细胞NK疗法:未来癌症治疗的新星

免疫细胞NK疗法:未来癌症治疗的新星近年来,随着生物技术的飞速发展,免疫细胞NK疗法逐渐崭露头角,成为了抗癌领域的新星,它以其独特的作用机制、高效的杀伤能力和广泛的应用前景,吸引了全球医学界的目光。本文将全面介绍免疫细胞NK疗法的原理、特点、作用机制以及临床研究进展,以期为癌症患者带来新的治疗希望。一、免疫细胞NK疗法的原理与特点免疫细胞NK疗法,全称为自然

临床试验受试者安全吗:了解受试者的权益与保护 抗癌指南

抗癌指南临床试验受试者安全吗:了解受试者的权益与保护

临床试验受试者安全吗:了解受试者的权益与保护是的,临床试验受试者的安全是得到严格保障的。在医药研究领域,临床试验是一项审慎而严谨的活动,旨在评估新药的安全性、有效性和耐受性。《药物临床试验质量管理规范》(GCP)以及《赫尔辛基宣言》都强调受试者的安全和权益是临床试验的首要考虑。接下来我们将深入讨论临床试验如何保障受试者的权益和安全。伦理审查和知情同意:保护受