抗癌指南 肺癌 胃癌 结直肠癌 食道癌 乳腺癌 肝癌 胰腺癌 卵巢癌 宫颈癌 肾癌 膀胱癌 脑瘤 肉瘤 前列腺癌 黑色素瘤 妇科肿瘤 头颈癌 儿童肿瘤 淋巴瘤

牛晓辉:2014年骨肿瘤NCCN指南更新与解读 胰腺癌

胰腺癌牛晓辉:2014年骨肿瘤NCCN指南更新与解读

在7月4日的第八届中国肿瘤内科大会上,北京积水潭医院骨肿瘤科的牛晓辉教授了解读了2014年骨肿瘤NCCN指南。美国国家综合癌症网络(National Comprehensive Cancer Network, NCCN)是一个非盈利性组织,到2014年4月份,增加到25个癌症中心。从1995年开始,NCCN开始制定肿瘤临床指南,10多年来,通过反复更新,年

Claudin18.2(CLDN18.2)靶点阳性率超过50%,CLDN18.2靶向药为胰腺癌靶向治疗带来新希望 胰腺癌

胰腺癌Claudin18.2(CLDN18.2)靶点阳性率超过50%,CLDN18.2靶向药为胰腺癌靶向治疗带来新希望

Claudin18.2(CLDN18.2)靶点阳性率超过50%,CLDN18.2靶向药为胰腺癌靶向治疗带来新希望胰腺癌在所有癌症当中,发病率并不算高,但死亡率非常惊人。2020年发布的数据,胰腺癌的新发病例数排名在15,但死亡病例数排名9,两者之间的比值(死亡病例数/新发病例数)接近0.94,是预后最差的恶性肿瘤。胰腺癌预后差、治疗困难,一方面在于它本身的特

靶向质谱分析法可鉴别胰腺囊肿良恶性 胰腺癌

胰腺癌靶向质谱分析法可鉴别胰腺囊肿良恶性

瑞典哥德堡大学Jabbar等报告,仅依据3个囊肿液生物标志物的靶向质谱分析法可高度准确地鉴别和评估胰腺囊肿发展为胰腺癌的可能性。值得开展其他研究证实该实验方法是否可及时辅助诊断癌症,成功干预以及预防癌症。(J Clin Oncol. 2017年11月22日在线版)影像学中胰腺囊性病变很常见,约半数是胰腺癌病变。因此,准确而特异性的诊断对于患者正确治疗而言至关

胰腺癌患者服用这种靶向药竟出现意想不到的奇迹! 胰腺癌

胰腺癌胰腺癌患者服用这种靶向药竟出现意想不到的奇迹!

在2015年秋天,44岁的年轻人Doron Broman被诊断患有胰腺癌 - 并且惊讶地发现他的胰腺癌已经转移到肝脏上一个大肿瘤。 面对只有几个月的生存期,Broman决定将把有限的时间用在正确的地方。Broman在44岁被诊断患有转移性胰腺癌他是位于迈阿密的房地产开发商,家在波士顿,在网上进行研究之后,决定在Dana-Farber接受治疗。他的医生Kimm

Trends系列综述:神经系统居然也参与肿瘤生长 胰腺癌

胰腺癌Trends系列综述:神经系统居然也参与肿瘤生长

癌细胞依靠环绕它们的健康细胞维持生命。肿瘤重新“铺设”血管滋养自己,分泌干扰免疫反应的化学物质。并且,根据最近的研究,癌细胞甚至可以为自己的利益操纵神经元。这种模式不仅适用于脑癌,也适用于前列腺癌、皮肤癌、胰腺癌和胃癌。斯坦福大学的神经科学家在2月份的Trends in Cancer的综述中介绍了肿瘤如何利用神经信号。        该综述介绍了神经系统在调

胰腺癌免疫治疗新研究结果,10年存活率1%的胰腺癌,可以用免疫疗法改善治疗效果 胰腺癌

胰腺癌胰腺癌免疫治疗新研究结果,10年存活率1%的胰腺癌,可以用免疫疗法改善治疗效果

胰腺癌免疫治疗新研究结果,10年存活率1%的胰腺癌,可以用免疫疗法改善治疗效果众所周知,胰腺癌是消化道常见恶性肿瘤之一,在所有的胰腺恶性肿瘤中, 胰腺导管腺癌占90%以上,其5年生存率不足5%, 其中间充质 PDAC 亚型的预后尤其差,即使是最强的联合化疗也不能改善不良的临床结果。但是科学家在近期的研究中发现了,使用免疫疗法可以改善这一亚型胰腺癌的治疗效果。

及早发现这些胰腺癌的症状可以挽救生命 胰腺癌

胰腺癌及早发现这些胰腺癌的症状可以挽救生命

胰腺位于胃后,帮助消化食物,并将其转化为能量。产生胰岛素并调节体内维持葡萄糖(血糖)水平的激素。众所周知,有几位名人死于胰腺癌,包括史蒂夫乔布斯,帕特里克斯韦兹和卢西亚诺帕瓦罗蒂,并且在2018年8月16日,艾瑞莎富兰克林也死于这种疾病。预计2018年美国将有55,440人被诊断患有胰腺癌。 约翰霍普金斯大学医学院的胰腺肿瘤学家Valerie Lee医师表示

胰腺癌靶向治疗,KRAS抑制剂为胰腺癌患者带来新希望 胰腺癌

胰腺癌胰腺癌靶向治疗,KRAS抑制剂为胰腺癌患者带来新希望

胰腺癌靶向治疗,KRAS抑制剂为胰腺癌患者带来新希望胰腺癌被人们称作“癌王”,因其超高的治疗难度以及恶性程度而令人闻风丧胆。美国国家癌症院的统计数据中,晚期胰腺癌患者的五年生存率,仅有2.9%,为常见癌症中最低。这一次,基因药物汇将带大家一起了解一个在胰腺癌靶向治疗当中发展较快、效果比较值得期待的靶点,KRAS。在KRAS抑制剂问世之前,临床上已经在尝试各种

胰腺癌电场治疗,电场疗法治疗胰腺癌可以有效抑制肿瘤细胞分裂 胰腺癌

胰腺癌胰腺癌电场治疗,电场疗法治疗胰腺癌可以有效抑制肿瘤细胞分裂

胰腺癌电场治疗,电场疗法治疗胰腺癌可以有效抑制肿瘤细胞分裂电场设备用于胰腺癌治疗大约30%的患者被诊断出患有局部晚期肿瘤。很多因为血管受累,无法进行手术。正在研究的针对局部晚期疾病患者的一种新方式称为电场疗法。这是一种低强度的交变电场,旨在破坏癌细胞的快速分裂过程,而不会破坏正常细胞。西雅图癌症护理联盟胰腺癌专科诊所主任兼肿瘤学副教授医学肿瘤学家安德鲁·科维

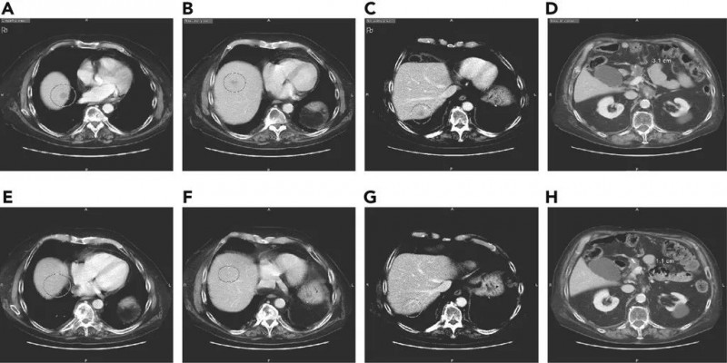
Claudin18.2 CART疗法CT041治疗胰腺癌肿瘤病灶完全消失或大幅缓解 胰腺癌

胰腺癌Claudin18.2 CART疗法CT041治疗胰腺癌肿瘤病灶完全消失或大幅缓解

Claudin18.2 CART疗法CT041治疗胰腺癌肿瘤病灶完全消失或大幅缓解肿瘤病灶完全消失或大幅缓解,CT041挑战胰腺癌效果惊艳2023年9月21日,科济药业宣布该公司自主研发的靶向Claudin18.2的CAR-T细胞CT041治疗转移性胰腺癌的两个病例报告已发布在9月9日的《血液学与肿瘤学杂志》期刊上。值得一提的是,这两则典型病例很具有代表性,

免疫治疗正在进行二十余种肿瘤临床试验 胰腺癌

胰腺癌免疫治疗正在进行二十余种肿瘤临床试验

本文撰文:王守业文字编辑:毛冬蕾本文来源:研发客 原标题:免疫肿瘤药的三大梯队近日,《人民日报》刊发《做全球最好的抗癌新药》文章,大篇幅报道国内创新型制药企业百济神州公司(下称百济)及其创始人王晓东博士。这在政府媒体以宣传本土新药创制为主题还不多见。该报道披露了百济在研新药的临床试验进展:已有3个靶向型小分子新药在澳大利亚完成I期临床试验,所看到的疗效和副

胰腺癌治疗,胰腺癌新疗法、新技术、新治疗方案让患者生存期翻倍 胰腺癌

胰腺癌胰腺癌治疗,胰腺癌新疗法、新技术、新治疗方案让患者生存期翻倍

胰腺癌治疗,胰腺癌新疗法、新技术、新治疗方案让患者生存期翻倍在所有的癌症中,胰腺癌是最令人望而生畏的癌症之一。因为晚期胰腺癌的五年生存率仅为2.9%,是所有常见癌症中最低的,而早期胰腺癌患者虽然有机会通过手术切除病灶,但不幸的是,大部分患者都在接受手术后一年复发,由于疾病复发率高,因此即使是早期可切除疾病的患者,5 年生存率最多也只有 20%,临床上迫切需要

重大突破!不手术、不化疗 "养"它就能杀死癌细胞! 胰腺癌

胰腺癌重大突破!不手术、不化疗 "养"它就能杀死癌细胞!

免疫治疗是目前癌症治疗最前沿的技术,以PD-1为代表的免疫治疗进展,为癌症患者带来了希望,了解免疫治疗请点击 MORE 来源:央视财经张明徽,免疫学博士、副研究员、硕士生导师;清华大学医学中心细胞治疗研究所所长,九三学社清华大学委员会副主委。2005全国百篇优秀博士论文获得者,CFDA新药审评中心新药审评专家。在国际上率先建立了NKT的大规模扩增方法,发现

倪泉兴教授:多种策略攻克“癌中之王” 胰腺癌

胰腺癌倪泉兴教授:多种策略攻克“癌中之王”

胰腺肝胆肿瘤多学科综合诊治团队首席专家:倪泉兴复旦大学附属肿瘤医院胰腺肿瘤外科教授,主任医师,博士生导师复旦大学胰腺病研究所所长,复旦大学胰腺肿瘤研究所名誉所长,复旦大学附属肿瘤医院终身教授,复旦大学附属肿瘤医院胰腺肝胆外科荣誉教授、名誉主任。胰腺在人体中的位置深、紧靠后腹壁,其周围簇拥着许多重要的血管,一旦被肿瘤“侵袭”,手术难度加大,往往难以切除。早期

如何预防胰腺癌复发,基于mRNA的个体化新抗原特异性免疫疗法Autogene Cevumeran(BNT122)和树突疫苗可以有效预防胰腺癌复发 胰腺癌

胰腺癌如何预防胰腺癌复发,基于mRNA的个体化新抗原特异性免疫疗法Autogene Cevumeran(BNT122)和树突疫苗可以有效预防胰腺癌复发

如何预防胰腺癌复发,基于mRNA的个体化新抗原特异性免疫疗法Autogene Cevumeran(BNT122)和树突疫苗可以有效预防胰腺癌复发几十年来,癌症疫苗已经成为免疫疗法的一种形式,通过刺激或恢复人体自身的免疫系统,来防止癌症发展或杀灭现有的肿瘤。提起mRNA技术可能更多人感觉到陌生,其实这种技术的初衷是为了研发抗癌疫苗,新冠疫苗就是在研发癌症疫苗过

胰腺癌治疗,多种胰腺癌治疗新技术、新方法、新疗法合力防治胰腺癌 胰腺癌

胰腺癌胰腺癌治疗,多种胰腺癌治疗新技术、新方法、新疗法合力防治胰腺癌

胰腺癌治疗,多种胰腺癌治疗新技术、新方法、新疗法合力防治胰腺癌近年来,帕瓦罗蒂、沈殿霞、乔布斯等重量级名人相继因为胰腺癌去世,不得不引起大众的广泛关注。就连小编也曾遇到过朋友询问亲属患有胰头癌后,到底有没有新治疗药物或技术能够提高生存期。那么今天小编就来介绍下这个被称为“万癌之王”的胰腺癌到底有多凶险,以及应该采取何种方式来预防胰腺癌的复发,最大限度地延长患

胰腺癌患者不可不知的世界BIDMC胰腺癌中心! 胰腺癌

胰腺癌胰腺癌患者不可不知的世界BIDMC胰腺癌中心!

胰腺癌是常见的恶性程度很高的消化系统肿瘤,其在世界范围内的发病率呈逐年上升趋势,病死率已跃居所有肿瘤的前五位。据报道,美国年发病达42470例,年死亡35240例,居死亡相关病因第五位。在我国,胰腺癌总体五年生存率仍徘徊在5%左右,取代肝癌成为“癌中之王”。 国际领先的胰腺癌治疗中心--BIDMC胰腺癌中心 贝斯以色列女执事医疗中心(以下简称“贝斯以色列”

胰腺癌五大经典征兆 胰腺癌

胰腺癌胰腺癌五大经典征兆

胰腺癌是一种危害程度极高的恶性肿瘤,胰腺癌不同时期会有不同的征兆。虽然胰腺癌很难在早期被确诊,但是如果对于胰腺癌的征兆有一定的了解,则有利于自检,而后尽早就医,为治疗争取时间,胰腺癌征兆主要表现为以下五个方面,如果一旦发现自己身体出现两个以上的症状时,则务必引起重视,尽早去医院检查以排除胰腺癌:    胰腺癌经典征兆一   上腹部不适及隐痛  上腹部不适及隐

胰腺癌基因检测,胰腺癌靶向治疗,胰腺癌靶向药物助患者突破生存绝境 胰腺癌

胰腺癌胰腺癌基因检测,胰腺癌靶向治疗,胰腺癌靶向药物助患者突破生存绝境

胰腺癌基因检测,胰腺癌靶向治疗,胰腺癌靶向药物助患者突破生存绝境胰腺癌是最令人望而生畏的癌症之一,根据PanCAN(美国胰腺癌专业网站)公布的数据,胰腺癌预计2020年将成为继肺癌发病的第二大癌症。整体五年生存率仅为9%。想想曾经在美国叱咤风云,享受顶级医疗资源的乔布斯都未能幸免,可想这种癌症的难治性。近年来,基因检测作为精准治疗的基础,在肺癌、乳腺癌的治疗