抗癌指南 肺癌 胃癌 结直肠癌 食道癌 乳腺癌 肝癌 胰腺癌 卵巢癌 宫颈癌 肾癌 膀胱癌 脑瘤 肉瘤 前列腺癌 黑色素瘤 妇科肿瘤 头颈癌 儿童肿瘤 淋巴瘤

胰腺癌的手术方式有哪些 胰腺癌

胰腺癌胰腺癌的手术方式有哪些

胰腺癌的手术方式有哪些胰腺癌是一种高度恶性、高侵袭性且预后极差的肿瘤,发病率呈逐年上升趋势,胰腺位置隐匿,周围毗邻大血管、胃、十二指肠等重要脏器,而且在发病早期便常常会出现淋巴结浸润和血管、神经侵犯,诸多原因造成胰腺癌手术治疗成为最具挑战的高难度手术之一。那么,胰腺癌的手术方式有哪些呢?传统开腹手术传统开腹手术是治疗胰腺癌的经典手术方式,尤其适用于胰头癌和壶

第五代射波刀肝癌精准放疗直通车 胰腺癌

胰腺癌第五代射波刀肝癌精准放疗直通车

肝癌的立体定向放射治疗(SBRT)是一种局部治疗肝癌的新方法。SBRT陡峭的放射剂量梯度提供了较为适形的等剂量曲线分布,与传统的放射治疗技术及三维适形放射治疗技术相比,可将更高的照射剂量更安全、更精确的照射至肝癌病灶区,同时正常肝组织及病灶临近器官则接受较低的照射剂量,从而提供一种更安全、更有效的治疗选择。第五代射波刀是国内目前最为先进的立体

都想消灭癌王!能诱发胰腺癌的这些基因你测过吗 胰腺癌

胰腺癌都想消灭癌王!能诱发胰腺癌的这些基因你测过吗

inkMacSystemFont, " helvetica="" sans="" yahei="">15px; letter-spacing: 1px;">由美国临床肿瘤学会(ASCO)召集的专家小组会议,建议对患有胰腺癌的患者进行遗传性综合征风险评估,这有助于提高胰腺癌诊断可能性。会议1px;">还为那些应该接受检测的患有胰腺癌家族史的患者制定了基因检测

如何预防胰腺癌复发,治疗胰腺癌新疗法、新技术有哪些 胰腺癌

胰腺癌如何预防胰腺癌复发,治疗胰腺癌新疗法、新技术有哪些

如何预防胰腺癌复发,治疗胰腺癌新疗法、新技术有哪些著名演员巴戈因胰腺癌去世2022年2月17日据媒体报道,我国台湾著名演员巴戈于2月16日因胰腺癌去世,享年67岁。演员巴戈被很多内地观众熟知主要是在电视剧《回家的诱惑》中饰演林品如父亲“林守成”。此外,他还曾参演了《我们与恶的距离》《终极一班》等电视剧。图为巴戈据悉,其家人透露他每三个月做一次体检,仍不幸罹患

胰腺癌治疗取得重大突破 胰腺癌

胰腺癌胰腺癌治疗取得重大突破

科学家宣布治疗胰腺癌获得重大突破, 通过实验室的发现,为胰腺癌治疗找到了新的希望。英国格拉斯哥大学的研究人员确认了四种胰腺癌的亚型,每一种亚型都具有自己独特的临床特征以及不同的生存期结果。目前,胰腺癌在西方国家是排名第四位的癌症死因,预计未来十年中它将成为排名第二位的最常见肿瘤。这项新的研究成果发表在《自然》杂志上,四种胰腺癌类型分别为鳞状细胞型、胰腺祖细胞

胰腺癌手术治疗及胰腺癌术后恢复注意事项 胰腺癌

胰腺癌胰腺癌手术治疗及胰腺癌术后恢复注意事项

胰腺癌手术治疗及胰腺癌术后恢复注意事项胰腺癌手术治疗胰腺癌进展快,综合治疗是王道胰腺癌是一个全身疾病,从治疗方法上来看,手术和放疗都是局部治疗,只有药物治疗是全身治疗,多学科 (手术、化疗、放疗等) 综合治疗在所有肿瘤治疗中都很重要,胰腺癌也不例外。局限在胰腺、没有转移的胰腺癌主要是手术;化疗、放疗或者物理治疗也是胰腺癌重要的治疗方式。胰腺癌手术后大部分病人

胰腺癌新突破,靶向药联合免疫治疗药物晚期胰腺癌6个月无进展生存率59.6% 胰腺癌

胰腺癌胰腺癌新突破,靶向药联合免疫治疗药物晚期胰腺癌6个月无进展生存率59.6%

胰腺癌新突破,靶向药联合免疫治疗药物晚期胰腺癌6个月无进展生存率59.6%胰腺癌,继肝癌之后被冠以“癌症之王”的称号的癌症。一方面,由于胰腺的位置在身体较为深处的部位,发病隐匿,常规的检查很难在早期发现胰腺癌,很多患者往往确诊就是晚期;另一方面,当前胰腺癌缺乏有效的治疗手段,这导致确诊后很难进行有效治疗,5年生存率很低。在美国,胰腺癌的5年生存率也不到10%

震惊!发现胰腺瘤中的细菌让化疗药物吉西他滨失效 胰腺癌

胰腺癌震惊!发现胰腺瘤中的细菌让化疗药物吉西他滨失效

2017年9月17日-针对化疗药物有时并不有效的原因,我们如今有一种新的解释:细菌。在一项新的研究中,来自美国和以色列的研究人员描述了他们的发现:某些细菌能够在人胰腺瘤内发现到。这一发现进一步证实这些细菌中的一些含有一种让被用来治疗多种癌症(包括胰腺癌)的常见药物失效的酶。通过以癌症模式小鼠为研究对象,他们证实在化疗的基础上进行抗生素治疗可能显著地优于单纯的

挑战“癌王”!晚期转移性胰腺癌将迎来新药 胰腺癌

胰腺癌挑战“癌王”!晚期转移性胰腺癌将迎来新药

胰腺癌是最致命的癌症之一。根据PanCAN(美国胰腺癌专业网站)公布的数据,预计2020年将成为继肺癌发病的第二大癌症,整体五年生存率仅为9%!在分子靶向免疫药物呈井喷式研发上市的今天,FDA已经批准了上百种各类癌症的靶向及免疫药物,而至今为止,胰腺癌都没有一个很好的靶向药物。近期,这一僵局终将被打破。 近日,FDA已安排肿瘤药物咨询委员会进行审查,将于2

免疫-PET有希望发现和治疗胰腺癌及其他实体瘤 胰腺癌

胰腺癌免疫-PET有希望发现和治疗胰腺癌及其他实体瘤

在2017年核医学和分子影像学协会(SNMMI)年会上,纪念斯隆凯特琳癌症中心的Christian Lohrmann等报告的研究显示,新的人源化单克隆抗体HuMab-5B1可靶向于CA 19-9,用作肿瘤显像剂有很高的可行性和安全性。CA 19-9在胰腺癌和许多其他恶性肿瘤,如小细胞肺癌、及消化道系统肿瘤中表达。(摘要号 385)这种新显像剂在胰腺肿瘤中高度

癌症患者如何获得PD-1、PD-L1免疫治疗? 胰腺癌

胰腺癌癌症患者如何获得PD-1、PD-L1免疫治疗?

美国咨询专家越来越多的提到PD-1/PD-L1全球肿瘤医生网作为国内最大的癌症咨询平台,平均每个月协助50位国内癌症患者接受美国专家咨询,为国内癌症患者提供病情分析和治疗方案,并协助部分患者出国接受治疗。进入2015年,来自美国MD安德森癌症中心、麻省总医院、丹娜法伯癌症中心的专家咨询报告,提到PD-1/PD-L1治疗的次数越来愈多。针对于二线、三线治疗失

2021年FDA已批准上市的胰腺癌靶向药物和胰腺癌免疫治疗药物汇总 胰腺癌

胰腺癌2021年FDA已批准上市的胰腺癌靶向药物和胰腺癌免疫治疗药物汇总

2021年FDA已批准上市的胰腺癌靶向药物和胰腺癌免疫治疗药物汇总胰腺癌被封为“癌王”的原因很简单,因为它是最致命的癌症之一。根据美国国家癌症院的最新数据统计,晚期胰腺癌的五年生存率仅为2.9%,是所有常见癌症中最低的。近年来,随着分子靶向免疫治疗的进展,胰腺癌的治疗也从疗效不佳的单纯化疗和放疗进阶到更精准更有效靶向免疫治疗,各种新药物、新疗法向“癌中之王”

Nature:突破屏障!新联合疗法为胰腺癌患者带来希望! 胰腺癌

胰腺癌Nature:突破屏障!新联合疗法为胰腺癌患者带来希望!

癌症之王”胰腺癌本身就令人不寒而栗,而90%胰腺导管癌中存在KRAS突变。所以,找到关闭KRAS信号通路的方法,也就找到了攻克胰腺癌的方法。但遗憾的是,多年来这个谜团一直困扰着研究人员。目前还没有直接针对KRAS突变的靶向药物。有些药物通过阻断与其相互作用的蛋白质间接靶向KRAS,但在临床研究显示对胰腺癌无效。近日,三项独立研究提出了一种间接阻止这种突变基

科学家揭晓治疗胰腺癌的走向 胰腺癌

胰腺癌科学家揭晓治疗胰腺癌的走向

目前已经确定胰腺癌细胞释放的特定分子信号。胰腺癌通常在疾病传播后才能检测到,化疗往往对减缓癌症的发展没有作用。即使进行治疗,大多数患者在被诊断出患有胰腺癌后仅能生存约六个月。 在胰腺癌中,纤维细胞丰富,占肿瘤质量的近90%。这种基质阻碍了抗癌药物进入目标。此外,基质细胞分泌有助于肿瘤生长的因子。冷泉港实验室(CSHL)David Tuveson教授实验室的研

疾病控制率高达84%!KRAS抑制剂Sotorasib宣战癌王-胰腺癌 胰腺癌

胰腺癌疾病控制率高达84%!KRAS抑制剂Sotorasib宣战癌王-胰腺癌

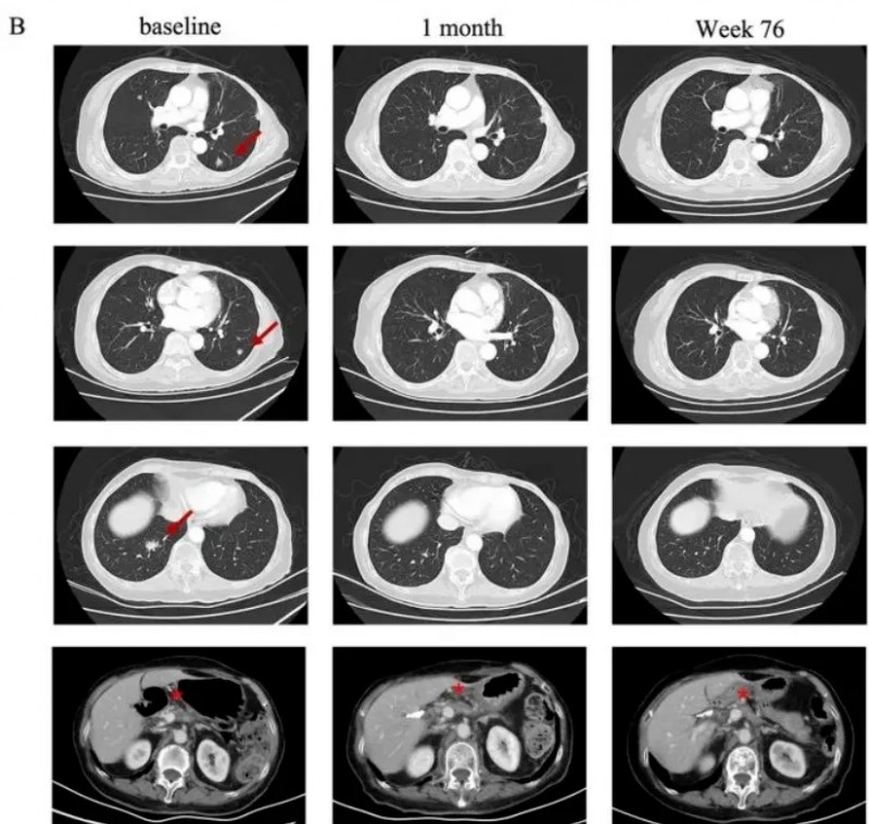
疾病控制率高达84%!KRAS抑制剂Sotorasib宣战癌王-胰腺癌据德克萨斯大学MD安德森癌症中心的研究人员称,在代号为CodeBreaK100的I/II期试验中,KRASG12C抑制剂sotorasib展现出了强大的抗癌活性,这项研究结果也发表在国际重磅期刊《新英格兰医学杂志》上。这项研究共招募了38名晚期转移性胰腺癌患者,并且是平均接受2种治疗方案失

细胞免疫疗法治疗胰腺癌效果好吗,来看看这三个成功案例 胰腺癌

胰腺癌细胞免疫疗法治疗胰腺癌效果好吗,来看看这三个成功案例

细胞免疫疗法治疗胰腺癌效果好吗,来看看这三个成功案例免疫细胞疗法"精准打击"胰腺癌CAR-T治疗转移性胰腺癌,达到完全缓解世界知名期刊《新英格兰医学杂志》,报道了1例75岁的转移性胰腺癌患者,经CT041细胞治疗后,靶病灶和转移灶明显缩小的案例。CT041是一种自体CAR-T细胞候选产品,先后获得美国FDA授予的再生医学先进疗法(RMAT)资格、我国NMPA

研究人员发现新的药物诱导胰腺癌细胞死亡 胰腺癌

胰腺癌研究人员发现新的药物诱导胰腺癌细胞死亡

全球肿瘤医生网2017年4月10日 - 胰腺癌是最常见(PDAC)最致命的癌症。不幸的是迄今为止没有多少有效的治疗方法。美国安德森癌症中心和天津医科大学总医院在中国进行的一项研究,试图找出可能成为新一代分子疗法,他们的发现结果发表在该杂志4月号封面文章。 以前的研究显示微小RNA(MIR506)在许多人类癌症中抑制肿瘤生长和,增强的化学疗法的有效性。研究人员

研究证实:肠道菌群真的可以影响癌症的免疫治疗效果!癌症患者如何获得对自身有益的菌群? 胰腺癌

胰腺癌研究证实:肠道菌群真的可以影响癌症的免疫治疗效果!癌症患者如何获得对自身有益的菌群?

我们人体除了有细胞组成之外,还有很多的共生细菌。比如在我们的肠道、口腔等有很多的细菌,很多细菌与人体是互惠的关系。这些细菌的种类和数量是非常庞大的,关于这些菌群的遗传信息也被称之为“人的第二基因组。”如果您认为这些细菌只是帮助人消化食物那就错了,它们所起到的作用非常复杂,如肠道的细菌可以经胰腺导管进入胰腺,胰腺癌的胰腺细菌数量是正常人的1000倍,这些细菌让

皮疹竟可用于指导胰腺癌患者的精准治疗 胰腺癌

胰腺癌皮疹竟可用于指导胰腺癌患者的精准治疗

对于晚期胰腺癌(APC)患者,吉西他滨加厄洛替尼的生存获益平均较低。治疗后不久出现的皮疹似乎影响疗效,可能会影响辅助临床的决策,但研究结果不一致。本研究进行了系统评价和荟萃分析。方法是从PubMed,Embase,Cochrane三个中国数据库的中心对照试验以及重要会议的摘要搜索到符合条件的研究。主要结果是总生存(OS),次要结果是无进展生存期(PFS)和客

胰腺癌预防复发,多种新型疗法合力预防胰腺癌复发 胰腺癌

胰腺癌胰腺癌预防复发,多种新型疗法合力预防胰腺癌复发

胰腺癌预防复发,多种新型疗法合力预防胰腺癌复发近年来,帕瓦罗蒂、沈殿霞、乔布斯等重量级名人相继因为胰腺癌去世,不得不引起大众的广泛关注。就连小编也曾遇到过朋友询问亲属患有胰头癌后,到底有没有新治疗药物或技术能够提高生存期。那么今天小编就来介绍下这个被称为“万癌之王”的胰腺癌到底有多凶险,以及应该采取何种方式来预防胰腺癌的复发,最大限度地延长患者的生存期。5年