抗癌指南 肺癌 胃癌 结直肠癌 食道癌 乳腺癌 肝癌 胰腺癌 卵巢癌 宫颈癌 肾癌 膀胱癌 脑瘤 肉瘤 前列腺癌 黑色素瘤 妇科肿瘤 头颈癌 儿童肿瘤 淋巴瘤

晚期胃癌病灶全部清除,免疫治疗功不可没! 胃癌

胃癌晚期胃癌病灶全部清除,免疫治疗功不可没!

如果说99%的晚期胃癌都无法无进展生存,张女士相信自己就是那1%的幸运儿。被忽视的早期癌症信号从2009年开始,张女士就感到上腹部有隐隐疼痛,但和大多数人一样,张女士没有太注意,没去医院做任何检查和治疗。直到2016年,这种疼痛明显增强了,才去医院。检查结果出来,张女士才知道一切为时已晚,病理结果显示,中-低分化腺癌及印戒细胞癌,这是一种恶性程度极高的胃癌

胃癌细胞免疫治疗,"即用型"NK细胞疗法CYNK-101或许能为胃癌患者带来新的希望 胃癌

胃癌胃癌细胞免疫治疗,"即用型"NK细胞疗法CYNK-101或许能为胃癌患者带来新的希望

胃癌细胞免疫治疗,"即用型"NK细胞疗法CYNK-101或许能为胃癌患者带来新的希望胃癌是全球第五大常见癌症,也是中国最常见的癌症之一,全球将近一半的新发胃癌患者和死亡病例在中国,晚期患者的5年总生存率约为5-20%,患者的生存面临着严峻的考验。近年来靶向免疫治疗取得了重大突破,给晚期患者带了长生存希望。目前的临床研究已经证实,免疫疗法联合化疗能给晚期胃癌患

关注 | 胃癌症状难察觉,如何才能早预防? 胃癌

胃癌关注 | 胃癌症状难察觉,如何才能早预防?

几乎所有癌症的治疗关键,都在于三早:早发现、早诊断、早治疗。而大多数的胃癌最大风险在于——发病期并没有明显的症状和不适,给人们提前预防和正确诊治造成很大的难度。即使有症状,但由于并不特异,因此也容易被误判成其他疾病,出现以下症状的要注意了!消化道出血轻度出血常常表现为少量易被忽视的黑便,当出血严重时可表现为大量呕血和明显黑便。呕吐确诊的年轻胃癌病例中,呕吐的

【名医有约】北京大学肿瘤医院消化肿瘤内科主任张小田医生:胃癌靶向治疗最新进展,胃癌靶向治疗最新消息 胃癌

胃癌【名医有约】北京大学肿瘤医院消化肿瘤内科主任张小田医生:胃癌靶向治疗最新进展,胃癌靶向治疗最新消息

【名医有约】北京大学肿瘤医院消化肿瘤内科主任张小田医生:胃癌靶向治疗最新进展,胃癌靶向治疗最新消息《名医有约》每期一位名医,三分钟,让你掌握一个抗癌知识直面肿瘤,我们与您一起战胜癌症。胃癌是我国最常见的恶性肿瘤之一 ,在我国其发病率居各类肿瘤的首位 ,每年约有17万人死于胃癌 ,随着靶向治疗和免疫治疗的快速进展,尤其是靶向联合免疫治疗的发展,胃癌患者想要获得

日本治疗胃癌,日本胃癌手术治疗的优势有哪些 胃癌

胃癌日本治疗胃癌,日本胃癌手术治疗的优势有哪些

日本治疗胃癌,日本胃癌手术治疗的优势有哪些在日本,80%的胃癌都被"治愈"了由于地理位置,饮食习惯等因素相近,中国和日本一样,从过去到现在都一直是胃癌的高发国家。从胃癌发病率来说,远超欧美。但几十年里,中国的胃癌临床治愈率只艰难地从20%提升到30%,而日本的胃癌临床治愈率早在几年前的报道中就达到了平均80%!甩出其他国家几条街!那么日本的胃癌治愈率为什么那

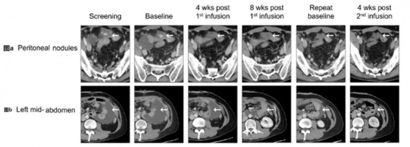
CT041治疗晚期胃癌:肿瘤病灶及腹水均改善 胃癌

胃癌CT041治疗晚期胃癌:肿瘤病灶及腹水均改善

CT041治疗晚期胃癌:肿瘤病灶及腹水均改善Claudin18.2(CLDN18.2)是一种高度选择性的细胞表面分子,属于泛肿瘤靶点,在多种上皮肿瘤(尤其是胃癌、胰腺癌)中均有表达,该靶点在正常胃组织中表达有限,但在原发性胃癌及其转移灶中表达显著增高。我国研究人员基于此,研发了首款靶向Claudin18.2的CAR-T细胞产品——CT041。据悉,CT041

胃癌的术后饮食,胃癌患者术后食谱,胃癌术后患者的饮食食谱大全 胃癌

胃癌胃癌的术后饮食,胃癌患者术后食谱,胃癌术后患者的饮食食谱大全

胃癌的术后饮食,胃癌患者术后食谱,胃癌术后患者的饮食食谱大全术后怎么吃才能让患者更适应,更快恢复健康,这是每位胃癌术后患者和家属最想知道的事。胃癌术后患者的胃像小婴儿一样脆弱,需要慢慢过渡。饮食过渡应遵循由稀到稠、由少到多、由软到硬、由一种到多种,少量多次的原则。患者每次不能吃太多,建议在正常的三餐中间各加一次餐,以支撑全身的营养需求。下面是患者术后恢复饮食

胃癌NK细胞免疫疗法,NK细胞治疗,NK细胞疗法,NK细胞免疫治疗,NK免疫细胞疗法或将改善患者预后 胃癌

胃癌胃癌NK细胞免疫疗法,NK细胞治疗,NK细胞疗法,NK细胞免疫治疗,NK免疫细胞疗法或将改善患者预后

胃癌NK细胞免疫疗法,NK细胞治疗,NK细胞疗法,NK细胞免疫治疗,NK免疫细胞疗法或将改善患者预后胃癌是全球第5高发的恶性肿瘤,死亡率高居第3位,在中国尤其普遍。根据流行病学调查,2017年,全球范围内有超过122万人新患胃癌,接近86.5万人死于胃癌。在这一年内,所有患者因罹患胃癌所带来的伤残与痛苦而折损的寿命(失能调整生命年,DALY)加起来有1910

2021年获批的胃癌免疫治疗药物有哪些,更多的胃癌免疫治疗药物临床试验招募正在进行中 胃癌

胃癌2021年获批的胃癌免疫治疗药物有哪些,更多的胃癌免疫治疗药物临床试验招募正在进行中

2021年获批的胃癌免疫治疗药物有哪些,更多的胃癌免疫治疗药物临床试验招募正在进行中胃癌是全球第五大最常见的癌症诊断,也是第三大最致命的疾病。在全球范围内,每年有近 100 万新确诊病例和 780,000 人死亡。到 2021 年,估计仅在美国就有 26,000 人被诊断出患有胃癌,此外还有大约 11,000 人死亡,数据令人唏嘘。胃癌的5年生存率不同分期胃

6款国产靶向Claudin18.2(CLDN18.2)靶点的药物获批临床引发热潮,更多的Claudin18.2临床试验招募正在进行中 胃癌

胃癌6款国产靶向Claudin18.2(CLDN18.2)靶点的药物获批临床引发热潮,更多的Claudin18.2临床试验招募正在进行中

6款国产靶向Claudin18.2(CLDN18.2)靶点的药物获批临床引发热潮,更多的Claudin18.2临床试验招募正在进行中流行病学数据揭示"中国式"胃癌,现状不容乐观根据2020最新全球癌症数据显示,中国年癌症新发病例已达457万,其中胃癌新发病例约为48万(占10.5%),位列前三,全球占比43.9%。2020年中国癌症新发病例数前十的癌症类型2

胃癌靶向治疗药物和胃癌免疫治疗(PD-1)药物有哪些 胃癌

胃癌胃癌靶向治疗药物和胃癌免疫治疗(PD-1)药物有哪些

胃癌靶向治疗药物和胃癌免疫治疗(PD-1)药物有哪些虽说手术是唯一根治胃癌的手段,但不符合手术条件的晚期胃癌患者也能通过其他方式控制肿瘤的进展,达到长期带瘤生存。新疗法打开患者生存密码,在肿瘤治疗领域大放异彩......胃癌靶向治疗药物靶向治疗顾名思义,瞄准病变部位,精准式的攻击肿瘤细胞,故又名”生物导弹“。靶向治疗根据把靶向部位的不同分为肿瘤细胞靶向治疗和

胃癌免疫治疗,胃癌PD-1治疗,胃癌免疫疗法,胃癌免疫治疗药物有哪些 胃癌

胃癌胃癌免疫治疗,胃癌PD-1治疗,胃癌免疫疗法,胃癌免疫治疗药物有哪些

胃癌免疫治疗,胃癌PD-1治疗,胃癌免疫疗法,胃癌免疫治疗药物有哪些7、PD-1抑制剂能根治胃癌吗首先,必须澄清的一点是,PD-1抑制剂治疗也是不能替代传统手术和化疗的。基本上,临床上目前唯一认可的能够根治癌症的方法只有手术,而早期胃癌是有望通过手术进行根治的癌肿之一。如果没有转移和浸润,只要进行标准的根治手术,切除2/3的胃,并对病灶附近的淋巴结进行清扫,

美国专家告诉您胃癌肝转移怎么办? 胃癌

胃癌美国专家告诉您胃癌肝转移怎么办?

ntent " id="js_content" style="margin: 0px; padding: 0px; overflow: hidden; color: rgb(51, 51, 51); font-size: 17px; word-wrap: break-word; text-align: justify; position: relative

CT、MRI在胃癌诊断中有什么价值?确诊胃癌的金标准到底是什么? 胃癌

胃癌CT、MRI在胃癌诊断中有什么价值?确诊胃癌的金标准到底是什么?

胃癌是50岁以上人群中最常见的癌症,2018年9月12日,美国癌症学会主办的CA期刊发布了的全球癌症发病率及死亡率的统计,胃癌的死亡率排名位列第三。胃癌的病因尚不明确,但研究人员将这种疾病与各种风险因素联系起来,其中包括幽门螺杆菌感染,高烟草消费,家族史,饮食中含盐过多或遗传易感性等。 胃癌越早诊断,预期寿命就越长。事实上,胃癌如果在早期检测到,则有50%到

胃癌新药,7大胃癌基因突变靶点,多款新胃癌靶向药物,全面逆转胃癌生存期 胃癌

胃癌胃癌新药,7大胃癌基因突变靶点,多款新胃癌靶向药物,全面逆转胃癌生存期

胃癌新药,7大胃癌基因突变靶点,多款新胃癌靶向药物,全面逆转胃癌生存期胃癌,是一种尤其高发于包括我国在内的各发展中国家的消化道肿瘤。早期的胃癌没有特征性症状表现,而进展期、晚期的胃癌患者,又苦恼于胃癌靶点及靶向药物较少,治疗困难。但这并不意味着胃癌患者就不能从靶向治疗中获益。曲妥珠单抗在HER2阳性胃癌的治疗中有重要的意义,抗血管生成抑制剂的问世为许多无法接

2020年胃癌药物,胃癌化疗药物,胃癌靶向药物,胃癌免疫治疗(PD-1/PD-L1)药物 胃癌

胃癌2020年胃癌药物,胃癌化疗药物,胃癌靶向药物,胃癌免疫治疗(PD-1/PD-L1)药物

2020年胃癌药物,胃癌化疗药物,胃癌靶向药物,胃癌免疫治疗(PD-1/PD-L1)药物我国是胃癌高发国家,据全国肿瘤登记中心数据估计,位居同期恶性肿瘤发病第2位。胃癌整体预后较差,5年生存率仅10%~30%,晚期胃癌患者5年生存率低于10%,晚期胃癌一线治疗的研究结果显示,总生存期(OS)在不断延长,但中位生存期仍在12个月左右。晚期胃癌传统的治疗方法有手

一项评价靶向 Claudin18.2 的 CAR-T 细胞制剂 LCAR-C18S 治疗晚期胃癌安全性,耐受性 和有效性的开放性 I 期临床研究招募 胃癌

胃癌一项评价靶向 Claudin18.2 的 CAR-T 细胞制剂 LCAR-C18S 治疗晚期胃癌安全性,耐受性 和有效性的开放性 I 期临床研究招募

“一项评价靶向 Claudin18.2 的 CAR-T 细胞制剂 LCAR-C18S 治疗晚期胃癌安全性,耐受性和有效性的开放性 I 期临床研究”正在上海市东方医院肿瘤科开展,主要研究者为李进主任,该研究已获得伦理委员会的批准。现正在招募受试者。研究中心名称:上海市东方医院研究科室:肿瘤科研究目的:LCAR-C18S 细胞制剂在 Claudin18.2 阳

靶向药很少的胃癌就不能实现精准治疗了吗? 胃癌

胃癌靶向药很少的胃癌就不能实现精准治疗了吗?

2017年2月,国家癌症中心发布了中国癌症数据,汇总了全国347家癌症登记点的数据,这次的统计数据不看不知道,一看真的是一身冷汗。全国每天约1万人确诊癌症;每分钟7人确诊为癌症;到85岁,一个人患癌风险36%;肺癌为发病率、死亡率双率第一。 胃癌发病率高但治疗进展缓慢说到这,小编不得不提到消化道癌症是我国居民发病和死亡的主要负担,特别是胃癌。根据2017初国