抗癌指南 肺癌 胃癌 结直肠癌 食道癌 乳腺癌 肝癌 胰腺癌 卵巢癌 宫颈癌 肾癌 膀胱癌 脑瘤 肉瘤 前列腺癌 黑色素瘤 妇科肿瘤 头颈癌 儿童肿瘤 淋巴瘤

鼻咽癌早期症状有哪些,鼻咽癌怎样治疗,鼻咽癌临床试验招募有哪些 头颈癌

头颈癌鼻咽癌早期症状有哪些,鼻咽癌怎样治疗,鼻咽癌临床试验招募有哪些

鼻咽癌早期症状有哪些,鼻咽癌怎样治疗,鼻咽癌临床试验招募有哪些说到鼻咽癌(Nasopharyngeal Carcinoma,NPC),大家应该都不陌生。众多明星曾罹患这种并不常见的癌症,比如世界羽坛名将李宗伟在2018年被确诊的就是鼻咽癌,经过治疗后,目前已恢复。那么鼻咽癌到底是什么呢?究竟能不能治好?全球80%的鼻咽癌在中国!四大风险因素一定要注意尽管全球

部分脑胶质瘤在研药物与国内临床试验项目 头颈癌

头颈癌部分脑胶质瘤在研药物与国内临床试验项目

脑胶质瘤发病机制肿瘤的发生被认为是由关键基因发生遗传改变或体突变而引起的,这些遗传改变或基因突变随着时间的累积会导致异常细胞群的出现,最终形成肿瘤。所有的星形细胞胶质瘤中,以GBM的基因突变为最多,且大多数患者同时有多个基因发生突变。GBM中最常见的基因突变包括: 杂合子缺失,染色体臂10q缺失是最常见的基因突变,约占60-90%; 位于17号染色体的抑癌

槟榔是如何致癌的,口腔癌的预防措施有哪些,口腔癌的早期症状和前兆有哪些,口腔癌如何治疗 头颈癌

头颈癌槟榔是如何致癌的,口腔癌的预防措施有哪些,口腔癌的早期症状和前兆有哪些,口腔癌如何治疗

槟榔是如何致癌的,口腔癌的预防措施有哪些,口腔癌的早期症状和前兆有哪些,口腔癌如何治疗近日,36岁歌手傅松因口腔癌去世的消息登上了热搜。据媒体报道,傅松患口腔癌的原因竟是因为长期咀嚼槟榔。傅松在生前曾发视频展示自己的伤口,口腔癌导致他的右半侧脸已经溃烂,令人惋惜。同时他也用自己的惨痛经历呼吁大家槟榔真的很可怕,一定要远离槟榔,珍惜生命。可怕的是,嚼槟榔几乎是

听神经瘤用质子刀做好吗,质子治疗听神经瘤病例参考 头颈癌

头颈癌听神经瘤用质子刀做好吗,质子治疗听神经瘤病例参考

听神经瘤用质子刀做好吗,质子治疗听神经瘤病例参考听神经瘤治疗听神经瘤的发病率为0.1/10万。听神经瘤生长较慢,大多仅生长在一侧,其主要症状是进行性听力下降,或伴有耳鸣和眩晕,并有6%的可能突然出现失聪。保持听力和不损害面神经是治疗听神经瘤的关键。目前,外科手术仍是首选的治疗方法。然而,许多患者不适合外科手术,或手术后肿瘤复发,放射外科便成为更好选择的治疗方

头颈部肿瘤放疗,质子治疗头颈癌效果好副作用小 头颈癌

头颈癌头颈部肿瘤放疗,质子治疗头颈癌效果好副作用小

头颈部肿瘤放疗,质子治疗头颈癌效果好副作用小通常人们会把肿瘤根据解剖部位的不同,分成很多类型,比如通常说的肺癌、肝癌等,不同部位的肿瘤又有多种病理亚型和分子亚型,因此可以说是相当复杂。然而,就有一类癌症的命名极为特别,我们将其统称为头颈部肿瘤。大家可能对这一癌种较为陌生,如果进行“拆分解析”,就会看到了一些熟悉的字眼——喉癌、甲状腺癌、口腔癌、鼻咽癌、副鼻窦

罕见肿瘤-头颈癌药物研究进展 头颈癌

头颈癌罕见肿瘤-头颈癌药物研究进展

与其他恶性肿瘤如非小细胞肺癌(NSCLC)和乳腺癌相比,头颈部鳞状细胞癌(HNSCC)在美国相对罕见。全球每年约有50万个病例,绝大多数患者存在局部晚期疾病,其中大部分在多学科背景下采用手术,放疗和化疗相结合的多种方式进行治疗。人类乳头状瘤病毒(HPV)相关的头颈部癌症已经成为一个几乎独立的疾病群体,具有独特的肿瘤生物学、患者特征以及缺乏相关的常规危险因素

胃酸反流竟然与颈癌相关 头颈癌

头颈癌胃酸反流竟然与颈癌相关

人们都熟悉胃酸倒流的不舒服感觉。最近,美国的一项研究发现,胃食管反流疾病(GORD)可能会增加老年人的喉癌、扁桃体和部分鼻窦癌的风险。专家表示,这项研究并不能证明因果关系,但研究结果强调,如果胃酸倒流成为一个长期问题,那么一定要及早就医。胃酸倒流的主要症状是胃灼热,感觉就像胸腔中心在燃烧一样。你可能还会在嘴里尝到一种奇怪的酸味。这是因为在有GORD的人体内,

头颈鳞状细胞癌新药IAPs抑制剂(凋亡蛋白抑制剂)Debio 1143(Xevinapant)显著生存获益 头颈癌

头颈癌头颈鳞状细胞癌新药IAPs抑制剂(凋亡蛋白抑制剂)Debio 1143(Xevinapant)显著生存获益

头颈鳞状细胞癌新药IAPs抑制剂(凋亡蛋白抑制剂)Debio 1143(Xevinapant)显著生存获益曾获FDA的突破性疗法指定,用于治疗局部晚期头颈部鳞状细胞癌的创新药物Xevinapant(Debio 1143)于近期更新了Ⅱ期临床研究数据,其结果显示,Debio 1143治疗高危头颈鳞状细胞癌能将死亡风险降低一半,患者能够获得显著的生存收益。局部控

咽癌治疗无进展生存案例,确诊癌症后的633天,我从低谷中走出来,笑看人生 头颈癌

头颈癌咽癌治疗无进展生存案例,确诊癌症后的633天,我从低谷中走出来,笑看人生

咽癌治疗无进展生存案例,确诊癌症后的633天,我从低谷中走出来,笑看人生刚退休没几年的我平素热爱生活,喜欢溜溜鸟,喝喝茶,下下棋,原以为下半辈子能够这样无忧无虑地度过,却没想到会被癌症盯上!突然出现吞咽困难,一查竟是下咽癌明天和意外,你永远不知道哪个会先来。2年前,我在偶然之间感觉喉咙难受,总是莫名其妙地吞咽困难,因为有长达30年的吸烟史,喉咙不舒服是常有的

头颈癌新药,FDA授予头颈癌靶向新药Tipifarnib(Zarnestra)突破性疗法称号 头颈癌

头颈癌头颈癌新药,FDA授予头颈癌靶向新药Tipifarnib(Zarnestra)突破性疗法称号

头颈癌新药,FDA授予头颈癌靶向新药Tipifarnib(Zarnestra)突破性疗法称号2021年2月24日,FDA授予Tipifarnib(Zarnestra)突破性疗法称号,用于治疗铂类化疗后疾病复发或转移性头颈部鳞状细胞癌患者,患者应存在HRAS突变,且变异等位基因频率(VAF)为20%或以上。该称号的授予基于Ⅱ期的RUN-HN试验(KO-TIP-

为什么头颈部肿瘤放疗更适合做质子治疗 头颈癌

头颈癌为什么头颈部肿瘤放疗更适合做质子治疗

为什么头颈部肿瘤放疗更适合做质子治疗头颈癌是人类最常见的癌症类型之一,全球每年约64.5万新发生的头颈部癌病例。位居恶性肿瘤发病的第六位。头颈肿瘤分为三大类:颈部肿瘤(甲状腺肿瘤等);耳鼻喉科肿瘤(喉癌、鼻咽癌、副鼻窦癌等);口腔颌面部肿瘤(舌癌、牙龈癌、颊癌等)。由于头颈部肿瘤的位置很特殊,周围重要的器官和组织很多,比如眼睛,视神经,听神经,大脑,唾液腺等

鼻咽癌放疗注意事项有哪些,鼻咽癌放疗的副作用有哪些,鼻咽癌放疗副作用怎么缓解、怎么治疗 头颈癌

头颈癌鼻咽癌放疗注意事项有哪些,鼻咽癌放疗的副作用有哪些,鼻咽癌放疗副作用怎么缓解、怎么治疗

鼻咽癌放疗注意事项有哪些,鼻咽癌放疗的副作用有哪些,鼻咽癌放疗副作用怎么缓解、怎么治疗在医学新技术高速发展的今天,在根治性的放射治疗后,鼻咽癌患者可以获得较高的治愈率,鼻咽癌放疗治疗的综合治愈率(5年生存率)能达到75%-85%。所以放疗后患者的急慢性反应关乎患者能否顺利完成治疗和治愈后的生活质量,正确处理尤为重要。鼻咽癌放疗注意事项放疗期间注意事项1.照射

北京右安门医院放疗科贾海威主任:头颈部肿瘤放疗患者是否都需要做 头颈癌

头颈癌北京右安门医院放疗科贾海威主任:头颈部肿瘤放疗患者是否都需要做

北京右安门医院放疗科贾海威主任:头颈部肿瘤放疗患者是否都需要做导读:数据显示,近年来,头颈部肿瘤的发病率有所增加,50岁以上的男性患者多于女性,每年新发人群60万左右。由于头颈部位的肿瘤对切除范围有很大限制,很多时候手术会受到影响。而放射治疗这一有效手段,却又常常被忽略和误解。今天,我们邀请北京丰台右安门医院肿瘤诊疗中心放疗科主任贾海威为我们一一解答。头颈部

眼底部黑色素瘤放疗,眼底部黑色素瘤质子放疗,眼底部黑色素瘤质子治疗,眼底部黑色素瘤质子疗法 头颈癌

头颈癌眼底部黑色素瘤放疗,眼底部黑色素瘤质子放疗,眼底部黑色素瘤质子治疗,眼底部黑色素瘤质子疗法

眼底部黑色素瘤放疗,眼底部黑色素瘤质子放疗,眼底部黑色素瘤质子治疗,眼底部黑色素瘤质子疗法眼底部黑色素瘤质子治疗案例警务人员加思·科恩(Garth Corner)穿过肯特市的街道,空中飘着蒙蒙细雨,广播的声音从他身后不远的地方传过来。在结束一通调度员例行通话时,科恩意识到,自己左眼的视线比平时模糊了一些。也许是时候戴副眼镜了。他这样想。科恩的视力下降得很慢,

头颈部肿瘤有哪些,头颈部肿瘤放射治疗选择质子治疗副作用小 头颈癌

头颈癌头颈部肿瘤有哪些,头颈部肿瘤放射治疗选择质子治疗副作用小

头颈部肿瘤有哪些,头颈部肿瘤放射治疗选择质子治疗副作用小通常人们会把肿瘤根据解剖部位的不同,分成很多类型,比如通常说的肺癌、肝癌等,不同部位的肿瘤又有多种病理亚型和分子亚型,因此可以说是相当复杂。然而,就有一类癌症的命名极为特别,我们将其统称为头颈部肿瘤。大家可能对这一癌种较为陌生,如果进行“拆分解析”,就会看到了一些熟悉的字眼——喉癌、甲状腺癌、口腔癌、鼻

鼻咽癌免疫治疗一线疗效无进展生存期延长超过一年 头颈癌

头颈癌鼻咽癌免疫治疗一线疗效无进展生存期延长超过一年

鼻咽癌免疫治疗一线疗效无进展生存期延长超过一年鼻咽癌(Nasopharyngeal Carcinoma,NPC)是我国南方地区的常见恶性肿瘤类型,广东省的发病率约为30/10万。据统计,鼻咽癌的整体5年生存率约为60%,但原位复发率达到10%~20%,复发患者5年生存率仅10%~20%。对于鼻咽癌,目前临床上最主要的治疗方案为放疗。早期患者单纯接受放射治疗,

速递|鼻咽癌免疫疗法,首款国产鼻咽癌PD1特瑞普利单抗作为鼻咽癌免疫治疗药物获批上市 头颈癌

头颈癌速递|鼻咽癌免疫疗法,首款国产鼻咽癌PD1特瑞普利单抗作为鼻咽癌免疫治疗药物获批上市

速递|鼻咽癌免疫疗法,首款国产鼻咽癌PD1特瑞普利单抗作为鼻咽癌免疫治疗药物获批上市进入2021牛年果然是开年大吉!国内外的抗癌新进展喜讯连连,昨天刚刚报道了FDA送来的开年大礼:KRAS首款靶向药即将上市的重磅喜讯,今天就收到了全球首款鼻咽癌免疫疗法,我国自主研发的PD-1特瑞普利单抗注射液获批上市的好消息,相信今年一定是病友们扭转乾坤,获得长生存希望的一

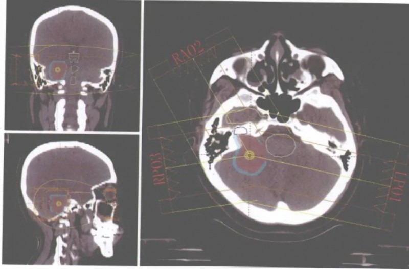
质子重离子治疗听神经瘤,听神经瘤用质子刀做好吗,来看看这个案例 头颈癌

头颈癌质子重离子治疗听神经瘤,听神经瘤用质子刀做好吗,来看看这个案例

质子重离子治疗听神经瘤,听神经瘤用质子刀做好吗,来看看这个案例退休在家的张叔在2009年出现右耳耳鸣伴听力下降,逐渐加重至右耳完全失聪。2011年7月行颅脑MR检查,发现右侧CPA区软组织信号影,轴位最大面积约2.2*1.4cm,考虑右侧听神经瘤。2012年4月颅脑MR示病灶增大到2.5*1.5cm,脑干受压。因为病灶未明显影响到生活质量,略有些固执的张叔不

对抗复发性头颈癌有新招 头颈癌

头颈癌对抗复发性头颈癌有新招

即使有手术、放疗、化疗和/或基因靶向治疗(如西妥昔单抗)这么多种治疗方法,局部晚期头颈部癌的五年生存率也只有46%。通常,起初治疗效果良好,但癌症的发展会导致耐药。 科罗拉多大学癌症中心研究员发现,一对与早期脑发育相关的基因,但在健康成人组织中沉默在肿瘤样本出现导致耐药,基因是EphB4,伴随基因是ephrin-B2。这两种基因在病人治疗失败后都会上升,所

电子烟与普通烟草都与口腔癌有关 头颈癌

头颈癌电子烟与普通烟草都与口腔癌有关

在国际牙科研究协会(IADR)第96届大会上,美国加利福尼亚大学旧金山分校Benjamin Chaffee发表了一篇关于烟草中尼古丁和致癌物的报道。  烟草使用仍然是口腔癌的主要原因,但随着非卷烟烟草产品的使用量增加和多种产品类型的双重使用,使得烟草种植业一直在发展。研究报道了单独或组合使用不同类型烟草产品已知致癌物暴露的评估。 数据来自烟草和健康人口评估