抗癌指南 肺癌 胃癌 结直肠癌 食道癌 乳腺癌 肝癌 胰腺癌 卵巢癌 宫颈癌 肾癌 膀胱癌 脑瘤 肉瘤 前列腺癌 黑色素瘤 妇科肿瘤 头颈癌 儿童肿瘤 淋巴瘤

中国神经外科十佳医院排名 肉瘤

肉瘤中国神经外科十佳医院排名

国内神经外科医院好的主要在上海、北京、南京,上海的万众算很不错的,不论是专家还是技术这些,都是排在前面的,很专业。 No.1 北京天坛医院 研究机构: 世界卫生组织神经科学协作中心、亚洲最大的神经外科医疗科研培训中心 擅长治疗: 颅内肿瘤的手术治疗、头颅外伤的抢救及治疗、脑血管病的治疗 病床数: 320张(神经外科) 专家: 王忠诚、戴建平、赵亚度、李德泽、

癌症治疗不规范猛于癌细胞,患者要善用会诊 肉瘤

肉瘤癌症治疗不规范猛于癌细胞,患者要善用会诊

癌症治疗不规范猛于癌细胞,患者要善用咨询服务 南方新闻网-南方周末 一位53岁癌症患者的病情难倒了不少医生。广东省人民医院为这位患者采取了“循证治疗”策略,即“每一种诊断措施、每一种治疗方法都有最好的证据支持” 。由于患者的病情比较复杂,这家医院在制定治疗方案时格外小心,采用了国际上的肺癌研究成果,其中包括国外去年才公布的临床试验数据。并不是每位患者都有机会

2014中国好医院排名 综合排名 肉瘤

肉瘤2014中国好医院排名 综合排名

患者如果想咨询全球肿瘤医生网的特约专家或医院,请登录全球肿瘤医生网或在线咨询。 由上海复旦大学医院管理研究所编制的《2014年度中国 医院综合排行榜》发布。主要对全国前12位综合医院进行了提名以及排名。 综合实力排名 1、北京协和医院 北京协和医院是一所位于北京市东城区,集医疗、科研、教学为一体的大型综合医院。它隶属于中国协和医科大学(2006年改为北京协

肉瘤分类、分型,肉瘤有多少种,肉瘤有几种类型 肉瘤

肉瘤肉瘤分类、分型,肉瘤有多少种,肉瘤有几种类型

肉瘤分类、分型,肉瘤有多少种,肉瘤有几种类型肉瘤主要分骨肉瘤和软组织肉瘤,根据所发生部位组织的类型又可进一步分为上百种不同的亚型。1、骨肉瘤,又叫成骨肉瘤,是一种儿童和青少年期最常见的骨癌,年发病率约为3/100万,男女发病率约为1.5∶1,大约80%~90%的骨肉瘤发生于骨骼,常见于四肢长管状骨干骺端,尤其是股骨远端、胫骨近端和肱骨近端。主要症状表现包括:

肉瘤化疗的治疗效果还能提升吗?来看看7倍完全缓解率的肉瘤临床试验招募吧 肉瘤

肉瘤肉瘤化疗的治疗效果还能提升吗?来看看7倍完全缓解率的肉瘤临床试验招募吧

肉瘤化疗的治疗效果还能提升吗?来看看7倍完全缓解率的肉瘤临床试验招募吧以多柔比星为代表的蒽环类药物,在肉瘤的资料中具有重要的意义,是一种普遍应用的化疗方案。但多柔比星的疗效仍然存在一些不足,其急性不良反应包括恶心、呕吐、心律不齐等,可引起嗜中性白血球缺乏症、完全脱发、肢端红肿症等。剂量累积至500~550 mg/m3时,引起充血性心力衰竭、扩张型心肌病甚至死

肉瘤治疗用拉罗替尼效果怎么样,新数据出炉 肉瘤

肉瘤肉瘤治疗用拉罗替尼效果怎么样,新数据出炉

肉瘤治疗用拉罗替尼效果怎么样,新数据出炉距离2018年11月“治愈系”抗癌药拉罗替尼上市已经快两年了,但是这款广谱抗癌药给医学界带来的震撼和热度丝毫未减。原文链接:刚刚!针对17种癌症有效的传奇抗癌药LOXO-101震撼上市!这7个问题一定要了解!拉罗替尼可以算作近两年肿瘤领域最大的变革之一,它让“广谱抗癌”梦想照进了现实。拉罗替尼的上市,拯救了成千上万不幸

NTRK抑制剂拉罗替尼(Larotrectinib、Vitrakvi)治疗婴儿纤维肉瘤14天肿瘤迅速缩小 肉瘤

肉瘤NTRK抑制剂拉罗替尼(Larotrectinib、Vitrakvi)治疗婴儿纤维肉瘤14天肿瘤迅速缩小

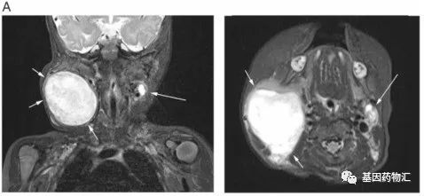
NTRK抑制剂拉罗替尼(Larotrectinib、Vitrakvi)治疗婴儿纤维肉瘤14天肿瘤迅速缩小5年前,看着包绕在女儿足底的带着密密麻麻血管网的大肿瘤,像是马上要将女儿吞噬一样。而如今,她的女孩已经6岁多了,重要的是,她已经没有肿瘤的迹象了。从刚出生的婴儿到全身转移的晚期患者,全球首款不限癌种靶向药拉罗替尼的问世,已经为世界各地癌症患者创造了奇迹。手

软组织肉瘤腹部隆突性皮肤纤维肉瘤新药Larotrectinib(拉罗替尼)让全身转移的患者肿瘤7天消退 肉瘤

肉瘤软组织肉瘤腹部隆突性皮肤纤维肉瘤新药Larotrectinib(拉罗替尼)让全身转移的患者肿瘤7天消退

软组织肉瘤腹部隆突性皮肤纤维肉瘤新药Larotrectinib(拉罗替尼)让全身转移的患者肿瘤7天消退软组织肉瘤是间充质来源的罕见恶性肿瘤,约占成人癌症的 1%,虽然和肺癌,乳腺癌相比并不常见,但是这是一种异质性极强的复杂肿瘤,目前已知的亚型超过了100种,每一种都具有不同的临床表现。不管是罹患哪一种,晚期患者临床上的治疗方案都非常有限。手术后八年全身转移复

速递|炎性肌纤维母细胞瘤新药,2022年7月15日FDA已经批准克唑替尼(Crizotinib、Xalkori)用于治疗ALK阳性不可切除的复发或难治性炎症性肌纤维母细胞瘤 肉瘤

肉瘤速递|炎性肌纤维母细胞瘤新药,2022年7月15日FDA已经批准克唑替尼(Crizotinib、Xalkori)用于治疗ALK阳性不可切除的复发或难治性炎症性肌纤维母细胞瘤

速递|炎性肌纤维母细胞瘤新药,2022年7月15日FDA已经批准克唑替尼(Crizotinib、Xalkori)用于治疗ALK阳性不可切除的复发或难治性炎症性肌纤维母细胞瘤2022年7月15日,FDA已经批准了克唑替尼(Crizotinib,Xalkori)的新适应症,用于治疗不可切除的复发或难治性炎症性肌纤维母细胞瘤ALK阳性患者,年龄限制为1岁以上的儿童

拉罗替尼治疗肉瘤效果怎么样,拉罗替尼治疗肉瘤成功案例分享 肉瘤

肉瘤拉罗替尼治疗肉瘤效果怎么样,拉罗替尼治疗肉瘤成功案例分享

拉罗替尼治疗肉瘤效果怎么样,拉罗替尼治疗肉瘤成功案例分享手术,放化疗是癌症治疗最重要的三种方式,而之后一旦出现进展,癌症患者常常陷入无药可用的绝境。近两年,肿瘤精准治疗领域的飞速发展正在不断制造长生存的奇迹,“革命性”抗癌药物拉罗替尼的上市每年可以帮助成千上万的人,它已经给世界各地的患者来了新的希望。IMAGE:BRIANA AYALA和她的肿瘤医生TED

对25类癌症有效的广谱抗癌药硫酸拉罗替尼胶囊(Larotrectinib)治疗罕见婴儿纤维肉瘤患者三天内肿瘤迅速消退 肉瘤

肉瘤对25类癌症有效的广谱抗癌药硫酸拉罗替尼胶囊(Larotrectinib)治疗罕见婴儿纤维肉瘤患者三天内肿瘤迅速消退

对25类癌症有效的广谱抗癌药硫酸拉罗替尼胶囊(Larotrectinib)治疗罕见婴儿纤维肉瘤患者三天内肿瘤迅速消退没人能看得出来,这个笑容灿烂,正背着书包迎接她崭新的幼儿园生活的可爱5岁小女孩,曾在刚出生的时候就命悬一线,右侧胳膊带着一个和她脑袋差不多大小的恶性肿瘤。如果是在十年前,成人都无法战胜的癌症,一个新生儿肯定会必死无疑。然而一款“革命性”的抗癌药

肉瘤治疗新进展,112天战胜致命肉瘤!化疗、靶向、放疗及癌症疫苗均有新进展,新药带来希望 肉瘤

肉瘤肉瘤治疗新进展,112天战胜致命肉瘤!化疗、靶向、放疗及癌症疫苗均有新进展,新药带来希望

肉瘤治疗新进展,112天战胜致命肉瘤!化疗、靶向、放疗及癌症疫苗均有新进展,新药带来希望肉瘤,是一种极具破坏性的恶性肿瘤。与肺癌、肝癌等发生于内脏器官的恶性肿瘤不同,肉瘤可能发生于身体的任何部位,只要存在脂肪、肌肉、血管、神经、骨骼和软骨以及深层皮肤,都可能出现肉瘤。肉瘤最主要的治疗手段包括手术、放疗以及化疗,靶向治疗在肉瘤治疗中的占比不算高。大约50%的肉

肉瘤靶向治疗,肉瘤靶向药物拉罗替尼挽救手术、放化疗、靶向无效陷入绝境的患者 肉瘤

肉瘤肉瘤靶向治疗,肉瘤靶向药物拉罗替尼挽救手术、放化疗、靶向无效陷入绝境的患者

肉瘤靶向治疗,肉瘤靶向药物拉罗替尼挽救手术、放化疗、靶向无效陷入绝境的患者软组织肉瘤是间充质来源的罕见恶性肿瘤,约占成人癌症的 1%,虽然和肺癌,乳腺癌相比并不常见,但是这是一种异质性极强的复杂肿瘤,目前已知的亚型超过了100种,每一种都具有不同的临床表现。不管是罹患哪一种,晚期患者临床上的治疗方案都非常有限。手术,放化疗,靶向治疗后陷入绝境70岁的M女士,

新型DC疫苗曙光初现,FDA授予Ilixadencel(伊利沙定)治疗肉瘤孤儿药指定 肉瘤

肉瘤新型DC疫苗曙光初现,FDA授予Ilixadencel(伊利沙定)治疗肉瘤孤儿药指定

新型DC疫苗曙光初现,FDA授予Ilixadencel(伊利沙定)治疗肉瘤孤儿药指定近期,关于癌症疫苗的突破接连不断,让人们看到了攻克人类头号公敌--癌症的新希望!相关阅读:《Nature》重磅!个性化癌症疫苗产生持久的抗肿瘤反应!平均生存期长达4年!重磅!针对全球最常见的癌症,FDA批准了一款新型疫苗进入人体试验!2021年1月26日,FDA授予一款新型的

肉瘤靶向药,肉瘤靶向药物Larotrectinib(拉罗替尼)让儿童肉瘤患者重回正常生活 肉瘤

肉瘤肉瘤靶向药,肉瘤靶向药物Larotrectinib(拉罗替尼)让儿童肉瘤患者重回正常生活

肉瘤靶向药,肉瘤靶向药物Larotrectinib(拉罗替尼)让儿童肉瘤患者重回正常生活抗癌英雄语录:“我想摆脱癌症。” --Lakelynn当你看到Lakelynn时,一定会被她的欢乐和笑容所感染。没有人能想到,这个6岁的,在学校活力四射,喜欢芭比和唱歌的漂亮女孩在三年前被医生诊断为“无法可治”的恶性癌症。如今,她已战胜癌症,重新回到正常的生活,在学校和操

骨与软组织肉瘤专家会诊,中美专家联合会诊为肉瘤患者制定新的治疗方案 肉瘤

肉瘤骨与软组织肉瘤专家会诊,中美专家联合会诊为肉瘤患者制定新的治疗方案

骨与软组织肉瘤专家会诊,中美专家联合会诊为肉瘤患者制定新的治疗方案在所有的实体肿瘤中,骨与软组织肉瘤是相对罕见和特殊的一类恶性肿瘤,发病率仅占实体瘤1%,但病理类型非常复杂,因此确诊和治疗都十分棘手。20岁,确诊为晚期骨肉瘤。。。2018年,M女士出现左侧膝盖的疼痛,贴膏药缓解后就没太在意。但是在一次运动中,M女士左股骨出现了剧烈疼痛,无法受力,到医院详细检

儿童软组织肉瘤靶向药拉罗替尼为患者延长了生命、提高了生活质量 肉瘤

肉瘤儿童软组织肉瘤靶向药拉罗替尼为患者延长了生命、提高了生活质量

儿童软组织肉瘤靶向药拉罗替尼为患者延长了生命、提高了生活质量据统相关计,90%以上的婴儿纤维肉瘤中都存在NTRK融合基因,但是,一旦检测结果为阳性,使用这款靶向药治疗,就有希望达到“治愈”的效果!那这到底是一款什么样的靶向药呢?让我们通过一个真实的病例来揭晓答案。拉罗替尼疗效显著,组织肉瘤患儿"愈"望2014年秋天,Nichol Miller被诊断出腿部患有

速递|软组织肉瘤免疫治疗新药APX005M(Sotigalimab)获美国FDA授予孤儿药称号 肉瘤

肉瘤速递|软组织肉瘤免疫治疗新药APX005M(Sotigalimab)获美国FDA授予孤儿药称号

速递|软组织肉瘤免疫治疗新药APX005M(Sotigalimab)获美国FDA授予孤儿药称号APX005M获FDA授予软组织肉瘤孤儿药称号2021年8月6日,Apexigen公司公布,FDA已经授予其研发的Sotigalimab(APX005M)孤儿药资格,作为软组织肉瘤患者的一种潜在的治疗选择。Sotigalimab是一款新型人源化抗CD40单克隆抗体,

肉瘤基因突变靶点、肉瘤靶向药物和肉瘤靶向治疗方案有哪些,肉瘤基因检测价格、费用、多少钱 肉瘤

肉瘤肉瘤基因突变靶点、肉瘤靶向药物和肉瘤靶向治疗方案有哪些,肉瘤基因检测价格、费用、多少钱

肉瘤基因突变靶点、肉瘤靶向药物和肉瘤靶向治疗方案有哪些,肉瘤基因检测价格、费用、多少钱肉瘤是一种难以诊断和治疗的疾病,部分原因是肉瘤仅占每年诊断出的所有新癌症的1%。使其成为罕见的癌症。过去几年肉瘤治疗方面虽然取得了很大进展,但生存率仍然不够乐观,平均而言,总生存期约为12至18个月。近年来,研究人员开始区分肉瘤的分子分型进行治疗,使用基因测序和新一代测序分

肉瘤治疗方案,肉瘤化疗方案,肉瘤专家评估联合化疗方案 肉瘤

肉瘤肉瘤治疗方案,肉瘤化疗方案,肉瘤专家评估联合化疗方案

肉瘤治疗方案,肉瘤化疗方案,肉瘤专家评估联合化疗方案新的化疗联合治疗对软组织肉瘤患者表现出优越的安全性和疗效,但某些亚型对该疗法的反应并不好,因此迫切需要进一步研究优化方案并探索新的治疗方法。Sarah Cannon研究所药物开发副主任Shiraj Sen博士和罗格斯癌症研究所的医学肿瘤学家Roman Groisberg博士重点介绍了联合化疗方案的研究。手术