抗癌指南 肺癌 胃癌 结直肠癌 食道癌 乳腺癌 肝癌 胰腺癌 卵巢癌 宫颈癌 肾癌 膀胱癌 脑瘤 肉瘤 前列腺癌 黑色素瘤 妇科肿瘤 头颈癌 儿童肿瘤 淋巴瘤

阿比特龙--晚期前列腺癌患者新希望 前列腺癌

前列腺癌阿比特龙--晚期前列腺癌患者新希望

2011年4月28日消息称,美国食品药品管理局(FDA)批准了抗癌新药——阿比特龙(醋酸阿比特龙)上市,用于与强的松联用治疗既往曾接受过含紫杉醇的化疗方案治疗且去势治疗无效的转移性前列腺癌患者。醋酸阿比特龙是一种口服的细胞色素氧化酶P450(CYP450)c17抑制剂,通过抑制雄激素合成中的关键酶—CYP450c17而降低雄激素水平,且对睾丸和身体其他部位的

局限性前列腺癌长期幸存者 是否后悔当初的治疗选择? 前列腺癌

前列腺癌局限性前列腺癌长期幸存者 是否后悔当初的治疗选择?

美国爱荷华大学Carver医学院Hoffman RM等报告,虽然关于局限性前列腺癌长期幸存者对当初治疗选择是否存在遗憾的报道相对较少,但如果能较好地告知治疗决策情况,尤其在选择保守治疗时告知详情,可能有助于减少长期幸存患者对治疗选择的遗憾。这个发现对那些打算接受主动监测的低风险人群而言是很及时的。(J Clin Oncol. 2017年5月11日在线版)在局

一种恶性前列腺癌急需新的治疗方法 前列腺癌

前列腺癌一种恶性前列腺癌急需新的治疗方法

一项针对202名前列腺癌的研究发现一种更具有致命性的前列腺癌亚型,癌症已经扩散并且对标准治疗耐药,大约占17%。这种前列腺癌亚型,称为治疗紧急小细胞神经内分泌前列腺癌(t-SCNC),可能在未来使用已经在临床试验中开发或测试的靶向药物进行常规和更成功的治疗。  该研究小组确定了在t-SCNC中发现的特定基因突变和基因表达模式,但不同于更常见的前列腺癌类型-

PD-L1单抗atezolizumab在膀胱癌的疗效突出 前列腺癌

前列腺癌PD-L1单抗atezolizumab在膀胱癌的疗效突出

来源:《肿瘤瞭望》编辑部确立新的免疫治疗药物用于膀胱癌的治疗正如比赛一样如火如荼地进行,这一创举就像四十年前发现卡介苗(BCG)可以治疗膀胱癌一样。其中一位竞争者是目前正在研究中的细胞程序性死亡(PD)抑制剂atezolizumab(Roche/Genentech公司),已在膀胱癌的Ⅱ期临床试验中初露曙光,目前正在接受Ⅲ期临床试验。atezolizumab

足球运动能保持前列腺癌患者骨骼健康 前列腺癌

前列腺癌足球运动能保持前列腺癌患者骨骼健康

用于治疗前列腺癌的雄激素剥夺疗法可导致肌肉和骨量的损失。最近一项对接受治疗的老年患者进行了在5年的研究,在美国踢足球或者英式足球,可保存腿股的骨密度(BMD)。身体成分、健康和身体功能没有关联。  该研究纳入了2012年和2013年参加FC前列腺随机对照试验的22名患者,其中一半参加了自组织的足球比赛。随访5年,右股骨颈骨密度在足球运动员中提高了2.8%,

血液检测可以指导前列腺癌患者采用何种治疗 前列腺癌

前列腺癌血液检测可以指导前列腺癌患者采用何种治疗

研究首次证明血液检测可以预测晚期前列腺癌患者如何对特定治疗产生反应的研究之一,从而改善生存。  该研究采用的是一种液体活检测试,检查来自晚期前列腺癌患者的血液样本中的循环肿瘤细胞(CTC),这些患者正在决定是否从激素靶向治疗转为化疗。CTC是癌细胞,它们离开肿瘤,进入血液并侵入身体的其他部位,导致癌症扩散。 该测试确定患者的CTC是否在细胞核中含有称为AR

细胞死亡会促进前列腺癌肿瘤生长 前列腺癌

前列腺癌细胞死亡会促进前列腺癌肿瘤生长

任何癌症治疗的目的都是杀死肿瘤细胞,然而,对于某些癌症却存在一个鲜为人知的悖论,那就是人体自然去除死亡细胞的过程实际上可以促进肿瘤的生长。 密歇根大学的一项新研究发现了转移性前列腺癌细胞的秘密,这一发现可以帮助研究人员开发阻止有害的肿瘤加速药物,同时允许身体清除死亡细胞。这去除细胞碎片的过程对于健康人和肿瘤患者维持功能和正常都是至关重要的。这些细胞被称为巨噬

高剂量放疗对前列腺癌患者不一定有好处 前列腺癌

前列腺癌高剂量放疗对前列腺癌患者不一定有好处

一项新的研究表明,与标准放射治疗相比,较高剂量的放疗不能改善许多前列腺癌患者的生存率。过去的研究表明,辐射剂量逐渐升高会使得癌症控制得到改善,如肿瘤生长减慢和前列腺特异性抗原(PSA)水平降低,这是癌症生长的一个指标。我们的目标是改善生存率,但尽管现代放疗有所进步,但我们并未看到这一点。但是我们确实看到复发率,肿瘤生长和转移性肿瘤的发生率显着降低,在接受较高

重离子治疗前列腺癌的临床数据 前列腺癌

前列腺癌重离子治疗前列腺癌的临床数据

1986年,美因食品药品管理局(FDA)批准将前列腺特异性抗原(PSA)作为监测前列腺癌患者的疾病状态的指标,并且在1994年将其作为前列腺癌一个检测指标。自此,前列腺癌检出率的升高使其在上个世纪的诊断和治疗得到了显著的进展,发表了包括调强放射治疗和离子放射治疗在内的各种治疗信息。最近几年,前列腺癌离子放疗得到丁史多关注,原因在于放疗毒副反应与光子调强相似

美国专家强调前列腺癌患者要注重健康饮食 前列腺癌

前列腺癌美国专家强调前列腺癌患者要注重健康饮食

美国医学博士Stephen J. Freedland表示,在多学科照护时代,鼓励癌症患者保证健康饮食方式很重要。对于患有前列腺癌的患者,饮食和锻炼很重要,因为均衡营养能为治疗做准备,也能防止如心脏病等疾病干扰治疗。具体做法小编整理如下:①要合理的搭配自己的饮食,膳食结构要合理有营养,确保补充身体所需的各种营养物质。要想完成这一点,病人必须要先确保摄入足够的能

前列腺癌放疗,前列腺癌放射治疗科普 前列腺癌

前列腺癌前列腺癌放疗,前列腺癌放射治疗科普

前列腺癌放疗,前列腺癌放射治疗科普前列腺癌是最常见的男性泌尿生殖系统恶性肿瘤之一,发达国家居男性恶性肿瘤发病率首位。2019年国家癌症中心发布的数据显示:前列腺癌发病率居男性恶性肿瘤的第6位,死亡率居第10位。01、前列腺癌可以放疗吗前列腺癌主要治疗方法为手术、放疗、内分泌治疗,因此前列腺癌可以放疗。局限性前列腺癌患者进行根治性手术和放疗可治愈;部分年纪较大

前列腺癌新药问世 平均疾病无进展时间达40多个月 前列腺癌

前列腺癌前列腺癌新药问世 平均疾病无进展时间达40多个月

apalutamide(Erleada)于2018年2月14日获FDA批准用于治疗早期前列腺癌,即非转移性去势抵抗性前列腺癌。另一种同类药物是enzalutamide(Xtandi),于2012年8月获批。Erleada 的III期临床试验在26个国332个地点进行,入组1,207名患者的前列腺特异性抗原快速上升,CT扫描显示没有发生其他部位转移,其中806

前列腺癌质子治疗在不同风险等级是如何降低副作用的 前列腺癌

前列腺癌前列腺癌质子治疗在不同风险等级是如何降低副作用的

前列腺癌质子治疗在不同风险等级是如何降低副作用的前列腺癌是男性生殖系常见的恶性肿瘤,它的发病率常有明显地理和种族差异,在欧美常见恶性肿瘤发病率居于第二位,而在美国它的发病率是居于第一位,死亡率居于第二位,仅次于肺癌。我国的前列腺癌发病率远远低于欧美的西方国家,但是近年来呈现增长的趋势。01、减少邻近组织放疗毒性,质子治疗成为优选方案外照射放疗是常见的用于局部

转移性前列腺癌又有新药了!大幅提升吸收效率 前列腺癌

前列腺癌转移性前列腺癌又有新药了!大幅提升吸收效率

美国FDA批准了创新药Yonsa的上市申请。Yonsa是一种醋酸阿比特龙(abiraterone acetate)的创新药物配方,它将和甲泼尼龙(methylprednisolone)一起使用,用于治疗转移性去势抵抗性前列腺癌(mCRPC)患者。前列腺癌是男性中最常见的癌症之一。通常前列腺癌生长缓慢,并且最初局限在前列腺中,但是某些类型的前列腺癌侵袭性很强,

美国前列腺癌大型研究:黑人发病因素 前列腺癌

前列腺癌美国前列腺癌大型研究:黑人发病因素

美国黑人男性的侵袭性前列腺癌发病率高于其他男性。现在,正在进行一项2650万美元的研究,为了找出其原因。美国国立卫生研究院和前列腺癌基金会已启动该研究,以调查这种差异背后的社会、环境和遗传因素。  Jonathan Simons博士在一篇文章中说:世界上没有任何一个群体受到前列腺癌的攻击比非洲人后裔更严重,迄今为止,人们对这些差异的生物学原因或环境因素的全

CTC检测比PSA更好预测前列腺癌总生存期 前列腺癌

前列腺癌CTC检测比PSA更好预测前列腺癌总生存期

对5项临床试验结果的分析显示,在转移性阉割抵抗性前列腺癌(mCRPC)患者中,循环肿瘤细胞(CTC)转换和CTC值≥1(基线CTC0)比前列腺特异抗原(PSA)能更好预测总生存期(OS)。 研究者在5项前瞻性随机III期试验中检查了8个终点:COU-AA-301,AFFIRM,ELM-PC-5,ELM-PC-4和COMET-1,包括6801名患者。 在13

局限性前列腺癌选择手术还是放疗? 前列腺癌

前列腺癌局限性前列腺癌选择手术还是放疗?

研究结果,基于近距离放射疗法和根治性前列腺切除术对高风险,局限性前列腺癌患者产生了类似的生存结果。研究人员在调整了前列腺癌预后因素、其他医疗条件和社会经济因素的不平衡后,发现单独根治性前列腺切除术(RP)与外部束放射疗法(EBRT)加近距离放射疗法伴或不伴雄激素剥夺疗法(ADT)治疗效果并无差异。这项研究共评估了2004年至2013年在国家癌症数据库中收集的

前列腺癌根治切除术后淋巴结阳性患者 不同术后治疗策略的生存结果分析研究 前列腺癌

前列腺癌前列腺癌根治切除术后淋巴结阳性患者 不同术后治疗策略的生存结果分析研究

美国纪念斯隆凯特琳癌症中心Touijer等报告,对于前列腺癌根治性切除术后淋巴结转移患者,雄激素剥夺治疗(ADT)联合外照射放疗(EBRT)相比于观察或单纯辅助ADT可改善患者生存期,且高危患者生存获益更显著。(Eur Urol. 2017年10月14日在线版)目前,前列腺癌根治性切除术后淋巴结阳性患者的 治疗策略仍悬而未决。为了明确根治性切除术后淋巴结阳性

【招募患者】JNJ-56021927联合ADT与单独ADT治疗前列腺癌患者的III期、随机、安慰剂对照、双盲临床试验 前列腺癌

前列腺癌【招募患者】JNJ-56021927联合ADT与单独ADT治疗前列腺癌患者的III期、随机、安慰剂对照、双盲临床试验

1.      试验药物简介JNJ-38877605是一种ATP竞争性的c-Met抑制剂。本试验适应症是低瘤负荷转移性激素敏感性前列腺癌。 2.      试验目的主要目的为确定ADT联合JNJ-56021927能否更有效地改善低瘤负荷mHSPC受试者的影像学无进展生存期(rPFS)或总生存期(OS)。次要目的是评估ADT联合JNJ-56021927的临床

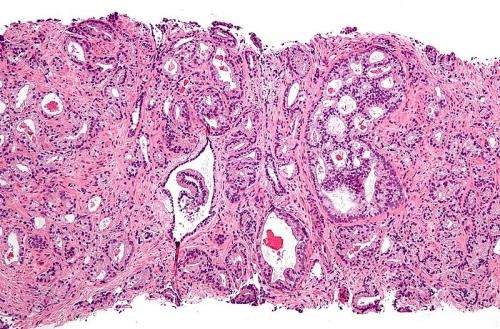
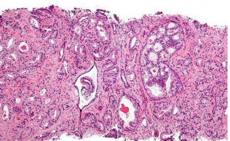
前列腺癌 线粒体基因组的重要性值得重视 前列腺癌

前列腺癌前列腺癌 线粒体基因组的重要性值得重视

一项分析前列腺癌患者线粒体基因组的研究显示,线粒体DNA的突变与细胞核DNA突变密切相关。此外,线粒体突变与生化复发之间也存在对应关系。(Nat Rev Urol. 2017年10月17日在线版;Nat Commun. 2017; 8: 656.)研究者指出,对于局限性和转移性前列腺癌的关注,很多都集中在患者的核基因组,而对线粒体基因的突变研究略显不足。该研