抗癌指南 肺癌 胃癌 结直肠癌 食道癌 乳腺癌 肝癌 胰腺癌 卵巢癌 宫颈癌 肾癌 膀胱癌 脑瘤 肉瘤 前列腺癌 黑色素瘤 妇科肿瘤 头颈癌 儿童肿瘤 淋巴瘤

晚期转移性结直肠癌患者如何选择靶向治疗药物? 结直肠癌

结直肠癌晚期转移性结直肠癌患者如何选择靶向治疗药物?

结直肠癌是恶性肿瘤中较为常见的一种,主要是由于患者的饮食习惯不良和身体抵抗能力较差引起的,治疗起来相对困难,而对于晚期的患者来说,很多治疗方法都不能起到较为理想的效果,在这种情况下建议大家考虑进行靶向治疗,在服用靶向药物之后,会影响患者内部的肿瘤和细胞,从而抑制癌细胞生长,起到控制病情的作用。目前FDA已批准了几种适用于结直肠癌的靶向药,主要分为两类:一类

名医有约|北京大学肿瘤医院消化内科彭智主任:结直肠癌患者手术后营养不良怎么办,可以口服营养补充剂吗 结直肠癌

结直肠癌名医有约|北京大学肿瘤医院消化内科彭智主任:结直肠癌患者手术后营养不良怎么办,可以口服营养补充剂吗

名医有约|北京大学肿瘤医院消化内科彭智主任:结直肠癌患者手术后营养不良怎么办,可以口服营养补充剂吗《名医有约》每期一位名医,三分钟,让你掌握一个抗癌知识直面肿瘤,我们与您一起战胜癌症。肿瘤患者营养不良已经成为了一个很普遍的问题,严重影响着大家的生活质量及生存期,那么结直肠癌患者手术后营养不良怎么办?可以口服营养补充剂吗?四叶草营养之家特意邀请到北京大学肿瘤医

结直肠癌ctDNA筛查,五分钟了解结直肠癌ctDNA检测在临床中的应用 结直肠癌

结直肠癌结直肠癌ctDNA筛查,五分钟了解结直肠癌ctDNA检测在临床中的应用

结直肠癌ctDNA筛查,五分钟了解结直肠癌ctDNA检测在临床中的应用"结直肠癌特别适合采用液体活检,因为其循环肿瘤碎片(细胞、DNA和甲基化标志物等)脱落率很高。目前,ctDNA已成为结直肠癌患者个体化管理中一种很有前途的预后性和(可能)预测性生物标志物。"结直肠癌ctDNA检测在临床中的应用液体活检,对于临床来说,并不是一个新鲜的概念。近年来,关于ctD

术后 8 个月为结直肠肝转移术后复发高峰 结直肠癌

结直肠癌术后 8 个月为结直肠肝转移术后复发高峰

针对结直肠癌肝转移的患者,肝切除因可延长生存并有无进展生存的可能,而成为目前治疗的金标准。其手术的适应症随着技术的进步以及更加有效化疗的出现而逐渐扩大。然而,在肝切除术后 2 年内,仍有超过一半的患者出现复发。然而,如何定义早期复发目前仍未达成共识。随着肿瘤外科的发展,更多治疗措施,如术前的化疗等正逐渐改变结直肠肝转移的治疗策略。但是,早期复发的重要性及相

惊人报道|每天小剂量伟哥可能减少结直肠癌风险 结直肠癌

结直肠癌惊人报道|每天小剂量伟哥可能减少结直肠癌风险

科学家报道,每日一剂小剂量的伟哥可以显着降低动物模型中结直肠癌的风险,结直肠癌是导致癌症死亡的第三大原因。乔治亚癌症中心和生物化学与分子生物学系的癌症研究员Darren D. Browning博士说,伟哥可减少一半的息肉形成,息肉是一种异常的肠道内衬细胞团,且常常无症状,但是息肉有变成癌症的可能。伟哥可抑制结肠细胞中的天然存在的酶PDE5和其他可分解循环GM

晚期结直肠癌不能手术怎么办,首先考虑使用什么方案治疗 结直肠癌

结直肠癌晚期结直肠癌不能手术怎么办,首先考虑使用什么方案治疗

晚期结直肠癌不能手术怎么办,首先考虑使用什么方案治疗无法耐受或不适合接受手术治疗的晚期及转移性结直肠癌,初始治疗主要依赖以化疗为基础的综合治疗方案。结合患者的基因型以及免疫相关标志物水平(如MSI-H/dMMR等情况),还可以在化疗的基础上结合靶向治疗或免疫治疗药物。结直肠癌的药物治疗总结起来,结直肠癌常用药物包括三类:化疗药物:●氟尿嘧啶类:氟尿嘧啶、卡培

结直肠癌治疗新进展,图卡替尼联合曲妥珠单抗治疗近40%的患者病灶显著缩小或消失 结直肠癌

结直肠癌结直肠癌治疗新进展,图卡替尼联合曲妥珠单抗治疗近40%的患者病灶显著缩小或消失

结直肠癌治疗新进展,图卡替尼联合曲妥珠单抗治疗近40%的患者病灶显著缩小或消失首款靶向HER2结直肠癌的双抑制组合疗法有望获批!这些幸运的患者终于迎来救命新疗法!进入分子靶向时代,越来越多的肠癌患者通过基因检测找到突变靶点获得了更好的治疗方案。除了大家熟知的EGFR、BRAF、KRAS等,HER2也是移性结直肠癌重要的治疗靶点,据统计,在3%~5%的晚期或转

晚期结直肠癌寡转移的治疗策略 结直肠癌

结直肠癌晚期结直肠癌寡转移的治疗策略

寡转移病灶概念于1995年由Hellman提出。他指出,该病灶是指肿瘤局限生长到全身转移之间存在的一些中间状态,寡转移具有器官特异性,但仍不具备全身转移的能力,处于肿瘤转移的较早阶段,转移的数目与部位是有限的。针对这些寡转移病灶可通过局部治疗达到疾病控制目的。Hellman认为,寡转移状态可能与肿瘤类型、“种子细胞”播散能力、阶段和转移靶器官的限制能力相关。

结直肠癌为什么要做基因检测,结直肠癌靶向药物和结直肠癌靶向治疗方案有哪些,结直肠癌基因检测价格、费用多少钱 结直肠癌

结直肠癌结直肠癌为什么要做基因检测,结直肠癌靶向药物和结直肠癌靶向治疗方案有哪些,结直肠癌基因检测价格、费用多少钱

结直肠癌为什么要做基因检测,结直肠癌靶向药物和结直肠癌靶向治疗方案有哪些,结直肠癌基因检测价格、费用多少钱17年前,晚期结直肠癌可用的药物数量非常有限,只有几种化疗药,几乎没有任何靶向药物。一旦确诊,存活期仅在半年至一年之间。但现在,癌症治疗进入精准治疗时代,越来越多的靶向和免疫药物上市。通过基因检测,了解结直肠癌的更多分子信息,比如,KRAS,NRAS和B

结直肠癌筛查有用吗,结直肠癌防癌筛查怎么做 结直肠癌

结直肠癌结直肠癌筛查有用吗,结直肠癌防癌筛查怎么做

结直肠癌筛查有用吗,结直肠癌防癌筛查怎么做本文重点目前,大肠癌筛查被推荐给所有风险正常的45岁及以上的成年人,但对于75岁以上的人进行筛查是否有益,目前还缺乏共识。该研究首次表明,在75岁以上的健康人群中,筛查可以显著降低结直肠癌的风险和与结直肠癌相关的死亡。结直肠癌筛查有用吗大肠癌是美国癌症相关死亡的第二大常见原因,筛查可以通过检测癌前病变(可以在筛查过程

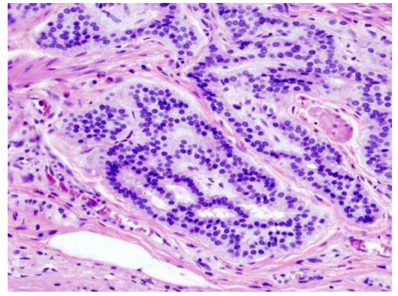
结直肠癌KRAS基因突变检测方法的应用和评价 结直肠癌

结直肠癌结直肠癌KRAS基因突变检测方法的应用和评价

癌症基因检测指导靶向治疗是癌症精准治疗的核心技术,每一个癌症患者都应该为自己进行癌症基因检测,寻找有效靶向药物和临床试验进行治疗。全球肿瘤医生网联合美国基因检测机构和国内顶端尖基因检测机构,为患者提供精准癌症基因检测和专家咨询服务,帮助患者制定最精准的治疗方案。了解基因检测请点击 MORE   作者:叶美华,何向蕾(浙江省人民医院病理科),来茂德(通信作者,

结直肠癌新药,结直肠癌靶向药物新药Sotorasib(AMG510)疾病控制率76.2% 结直肠癌

结直肠癌结直肠癌新药,结直肠癌靶向药物新药Sotorasib(AMG510)疾病控制率76.2%

结直肠癌新药,结直肠癌靶向药物新药Sotorasib(AMG510)疾病控制率76.2%随着医学水平的发展,分子靶向治疗逐渐在癌症的治疗当中占据了最为重要的地位。患者的基因突变型是靶向药物的靶标,也是决定患者治疗方案的重要因素。但目前,临床上对于各靶标的探索尚不全面,因此有些突变型患者的疗效较好、有些突变型的患者疗效不佳或尚且缺乏有效的治疗方案。在结直肠癌的

结直肠癌风险因素与遗传关系如此之大? 结直肠癌

结直肠癌结直肠癌风险因素与遗传关系如此之大?

受结直肠癌影响的一级亲属患发展成肠癌的风险升高。基因组中具有大量遗传风险标记的人风险也很高。这两个因素通常交替使用,而不是组合,以预测风险。来自德国海德堡癌症研究中心(DKFZ)的科学家们现在已经表明,结合家族史和遗传标记分析可以更准确地确定一个人的结直肠癌风险。 为了确定是否需要进行结肠癌筛查,医生经常会向患者询问亲属患癌情况。一级亲属中的结肠直肠癌被认为

三步搞定结肠直肠癌 结直肠癌

结直肠癌三步搞定结肠直肠癌

左:肿瘤生长呈现在每只小鼠的肿瘤体积随时间变化(绿色:无治疗;蓝色:仅177Lu-DOTA-Bn only治疗;红色:DOTA-PRIT治疗)。右上角:抗GPA33 DOTA-PRIT三步法的示意图。右下角:在第1周期注射24小时后从小鼠身上获得的代表性SPECT / CT图像。(S Cheal et al., Memorial Sloan Ketteri

[抗癌突破]--惊人报道|每天小剂量伟哥可能减少结直肠癌风险! 结直肠癌

结直肠癌[抗癌突破]--惊人报道|每天小剂量伟哥可能减少结直肠癌风险!

1、惊人报道|每天小剂量伟哥可能减少结直肠癌风险! 科学家报道,每日一剂小剂量的伟哥可以显着降低动物模型中结直肠癌的风险,结直肠癌是导致癌症死亡的第三大原因。 乔治亚癌症中心和生物化学与分子生物学系的癌症研究员Darren D. Browning博士说,伟哥可减少一半的息肉形成,息肉是一种异常的肠道内衬细胞团,且常常无症状,但是息肉有变成癌症的可能。 伟哥可

结直肠癌新药新疗法无需化疗就能100%缓解 结直肠癌

结直肠癌结直肠癌新药新疗法无需化疗就能100%缓解

结直肠癌新药新疗法无需化疗就能100%缓解相信所有的癌症患者都希望确诊后不需要化疗和手术就能清除病灶,这一希望终于照进了现实!近年来,结直肠癌已成为暨肺癌后另一大常见的癌症。根据美国国家癌症研究所的最新数据显示,到2030年,在20岁-34岁的成年人中,结肠癌和直肠癌的发病率将分别上升90%和124%!我们身边患肠癌的人越来越多。为了提高结直肠癌的临床治愈率

靶向药盘点(一)|结直肠癌患者有哪些药物可以选择? 结直肠癌

结直肠癌靶向药盘点(一)|结直肠癌患者有哪些药物可以选择?

结直肠癌是常见的恶性肿瘤之一,全球范围内结直肠癌的发病率在恶性肿瘤中处于第三位。2018年国家癌症中心发布的癌症统计数据显示,在我国,结直肠癌发病率在男性、女性中的排名分别为第4位、第3位,其中我国东部地区结直肠癌发病率、死亡率最高,中部地区的发病率、死亡率较低。结直肠癌已真正成为严重影响我国人民生命健康的致命癌症之一!   近一半患者首诊即为晚期或由于手

2020年结直肠癌靶向药物,结直肠癌靶向治疗四大靶点、五款新药 结直肠癌

结直肠癌2020年结直肠癌靶向药物,结直肠癌靶向治疗四大靶点、五款新药

2020年结直肠癌靶向药物,结直肠癌靶向治疗四大靶点、五款新药结直肠癌是一类临床上非常常见的消化系统肿瘤。根据最新公开的中国中晚期结直肠癌患者诊疗现状调查结果,83%的患者确诊时已经发展至中晚期,44%的患者发生了肝、肺等部位的转移,因此药物治疗方案、全身治疗方案在结直肠癌的治疗中占据着非常重要的地位。结直肠癌的获批靶向药物较多,但多集中于HER1(EGFR

2024年6月21日FDA加速批准了KRAS G12C突变靶向药阿达格拉西布(Adagrasib、Krazati、MRTX-849)用于局部晚期或转移性结直肠癌 结直肠癌

结直肠癌2024年6月21日FDA加速批准了KRAS G12C突变靶向药阿达格拉西布(Adagrasib、Krazati、MRTX-849)用于局部晚期或转移性结直肠癌

2024年6月21日FDA加速批准了KRAS G12C突变靶向药阿达格拉西布(Adagrasib、Krazati、MRTX-849)用于局部晚期或转移性结直肠癌2024年6月21日,美国食品药品监督管理局(FDA)加速批准阿达格拉西布联合西妥昔单抗用于治疗既往接受过氟嘧啶、奥沙利铂和伊立替康化疗失败的、KRAS G12C突变的局部晚期或转移性结直肠癌(CRC

结肠癌的早期症状,直肠癌的早期症状,结直肠癌的早期症状及表现 结直肠癌

结直肠癌结肠癌的早期症状,直肠癌的早期症状,结直肠癌的早期症状及表现

结肠癌的早期症状,直肠癌的早期症状,结直肠癌的早期症状及表现大概在5-6年前,我们开始看到一些年轻的结直肠癌患者,包括一些只有20或30多岁的人,这在以前从未见过!为什么结直肠癌盯上了越来越多的年轻人?这些症状和生活习惯你有吗?90%的人会忽略的早期结直肠癌症状很多人都知道结肠癌的早期预警信号包括痉挛性疼痛,疲劳和排便习惯改变,但却很少有人重视。1、小刘,排